睾丸小管内精原细胞瘤
Testicular Intratubular Seminoma
概述:
以小管内生长的特殊类型精原细胞瘤
发病部位: 睾丸
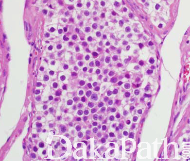
诊断要点:
见于 30%精原细胞瘤和 15%非精原细胞瘤性生殖细胞肿瘤的邻近生精小管内;
生精小管完全由肿瘤细胞填充,细胞形态同精原细胞瘤,胞浆淡染或透明,PAS 染色阳性,胞膜卷曲,核形不规则,染色质细颗粒状,具 1 个或多个大核仁;
生精小管内包括支持细胞在内的正常结构消失;
生精小管内可见淋巴细胞浸润,淋巴细胞也可围绕曲细精管浸润;
5,小管内的精原细胞瘤可能是介于原位生殖细胞肿瘤和浸润性生殖细胞肿瘤之间的一种中间状态,也可能是浸润性生殖细胞肿瘤在继发性的在生精小管内回缩性生长。

免疫组织化学染色:
同浸润性精原细胞瘤
分子标记:
同浸润性精原细胞瘤
鉴别诊断:
原位生殖细胞肿瘤:肿瘤细胞位于生精小管的微环境内,在支持细胞和基底膜之间线状排列,不充满整个生精小管。
小管内非精原细胞性生殖细胞肿瘤:主要是小管内胚胎性癌,少数是小管内卵黄囊瘤和畸胎瘤,免疫表型对应相应的浸润性肿瘤,可与小管内精原细胞瘤区别。
预后:
取决于伴随的浸润性精原细胞瘤的分期
治疗:
睾丸切除,辅助放疗或化疗
病例报道:
[Diagnosis and treatment of bilateraltesticularintratubular seminoma: acasereport and review of literature].
参考文献:
Adv Anat Pathol. 2015 May;22(3):202-12. doi: 10.1097/PAP.0000000000000066. Intratubular germ cell neoplasia of the testis: a brief review.
← 睾丸青春期后型卵黄囊瘤 睾丸表皮样囊肿 →