睾丸精原细胞瘤伴合体滋养层细胞
Testicular Seminoma With Syncytiotrophoblastic Cells
发病部位: 睾丸
诊断要点:
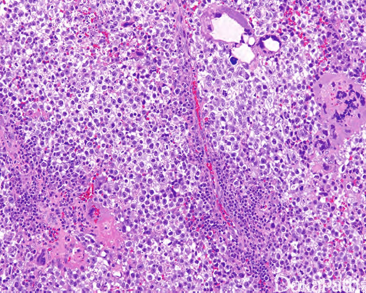
1.10-20%的精原细胞瘤可见多少不等的合体滋养层细胞,可广泛散在分布,也可显著聚集分布;血清 HCG 通常< 500u/L
典型的合体滋养层细胞通常具多个核,胞质丰富,致密嗜酸性合体状,可见胞质内空泡或陷窝;当多个合体滋养层细胞簇状聚集时,常伴有血湖形成;有时合体滋养层细胞仅有 1-2 个浓染的核在 HE 切片下不易认识,但其与经典的合体滋养层细胞的胞浆相似,可通过 HCG 的免疫组化染色识别;
无细胞滋养层细胞。

免疫组织化学染色:
合体滋养层细胞 hCG 阳性。
鉴别诊断:
精原细胞瘤伴肉芽肿反应:肉芽肿反应中的巨细胞为多核组织细胞,免疫组化染色表达 CD68;
混合性生殖细胞肿瘤伴有绒毛膜癌:绒毛膜癌成分除了合体滋养层细胞细胞之外,尚可见细胞滋养层细胞,免疫组化染色表达 hPL 和 GATA3 可资鉴别。
预后:
较无合体滋养层细胞的精原细胞瘤更具有侵袭性
治疗:
睾丸切除伴术后辅助治疗
病例报道:
Germinoma of the pineal body w ith syncytiotrophoblastic giant cells .
Drut R, Jones MC.
Pediatr Pathol **. 1984;2(1):65-70. **
PMID:6542213
参考文献:
Ulbright TM.
Mod Pathol. 2005 Feb;18 Suppl 2:S61-79. Review.
Seminoma with syncytiotrophoblastic giant cells. A special form of seminoma.
Hedinger C, von Hochstetter AR, Egloff B.
Virchows Arch A Pathol Anat Histol. 1979 Jul 27;383(1):59-67. Br J Cancer. 1985 Apr;51(4):473-8. The biological and clinical significance of HCG-containing cells in seminoma.
Butcher DN, Gregory WM, Gunter PA, Masters JR, Parkinson MC.