睾丸精母细胞性肿瘤
Testicular Spermatocytic Tumour
同义词(或曾用名): 精母细胞性精原细胞瘤、精母细胞瘤、II 型生殖细胞肿瘤
概述:
起源于青春期后生殖细胞、与原位生殖细胞肿瘤无关的的生殖细胞肿瘤,细胞类似于生精细胞,最常见的是精原细胞及早期精母细胞。
发病部位: 睾丸
诊断要点:
占睾丸生殖细胞肿瘤 1%,年龄分布广泛(30 岁~ 81 岁),平均约 52 岁,多表现为无痛性睾丸肿块,与隐睾无关;
大体检查,肿瘤大小 1.4-15cm,平均 5.7cm,分叶状或多结节状,切面灰白、可有黏液及水肿,罕见坏死;
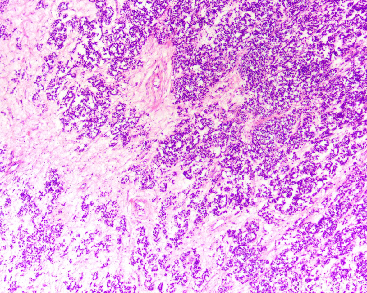
肿瘤细胞弥漫或多结节状增生,可穿插明显的无细胞水肿区,有时结界内的圆形实体细胞巢中央水肿液聚集,形成假滤泡样结构,部分肿瘤细胞可呈现粗梁状和 巢状结构伴有周围细胞的栅栏状排列,类似于类癌;
结节周围可见纤维素样蛋白物质围绕;
标志性形态学特征是肿瘤细胞的多态性,常出现 3 种细胞(比例多少不等):
1)小细胞:细胞核形态一致,圆形,深染,胞质少,类似于淋巴细胞大小;
2)中等大细胞:核小,圆形,染色质细颗粒状或细丝状,可见小核,大小不一,胞浆嗜酸性或双色性,部分病例胞质淡染;
3)巨细胞:体积大,具一个或多个细胞核,可见巨核细胞以及绳索样染色质结构;
胞膜通常不清楚,核分裂像及非典型核分裂像通常较多,可见大量凋亡细胞;
间质稀少,罕见类似于精原细胞瘤的纤细的纤维性分隔;
偶见淋巴细胞浸润,通常位于结节周围;罕见肉芽肿反应;
少数病例缺少细胞多态性,以中等大细胞为主,但细胞核仁突出而较大,有者称之为间变性精母细胞性肿瘤;
在肿瘤的周围常见围绕生精小管呈梁、索状排列以及小管内生长,但无原位生殖细胞肿瘤;
罕见血管浸润和坏死;
非肿瘤性睾丸实质可见萎缩性改变。

免疫组织化学染色:
OCT3/4. PLAP、GPC3. AFP、β-hCG、CD30. AP2γ 等胚胎性生殖细胞肿瘤标记阴,MAGEA4. KIT(CD117)、SAGE1\DART1. SALL4 等精原细胞标记可阳性。Inhibin-a 和 Calretinin 等性索标志物阴性。
分子标记:
无 i12p 改变,常见 9 号染色体获得
鉴别诊断:
精原细胞瘤 :精母细胞性肿瘤与隐睾无关,无原位生殖细胞肿瘤、不与其他生殖细胞肿瘤混合、经典的 3 相细胞群构成、间质常水肿、无淋巴细胞浸润及 OCT3/4 阴性,MAGEA4 阳性等区别于精原细胞瘤。
胚胎性癌:核重叠、核染色质边集、乳头状和管状生长、免疫组化染色表达 CK 和 CD30. OCT4;
大细胞淋巴瘤:表达 T 或 B 细胞相关的标志物。
治疗:
睾丸切除
病例报道:
Reaction to Koppad SN et al. Bilateralspermatocyticseminoma: an update on "synchronous" and "sequential" presentation of this rare variant oftesticulartumour.
参考文献:
Hu R , Ulbright T M , Young R H . Spermatocytic Seminoma: A Report of 85 Cases Emphasizing Its Morphologic Spectrum Including Some Aspects Not Widely Known[J]. The American Journal of Surgical Pathology, 2019, 43.
← 睾丸透明细胞腺癌 睾丸原位生殖细胞肿瘤 →