睾丸绒毛膜癌
Testicular Choriocarcinoma
概述:
显示滋养层细胞分化(包括细胞滋养层细胞,中间型滋养层细胞和合体滋养层细胞分化)的恶性生殖细胞肿瘤
发病部位: 睾丸
诊断要点:
占混合性生殖细胞肿瘤的 6.4-17.8%;纯型的仅占 0.3%;首发常见表现为远处转移引起的相应症状,血清 HCG 升高,常> 50000IU/L。好发于 20-40 岁,多数病例大体表现为出血结节,伴灶状实性灰色-棕色区域;
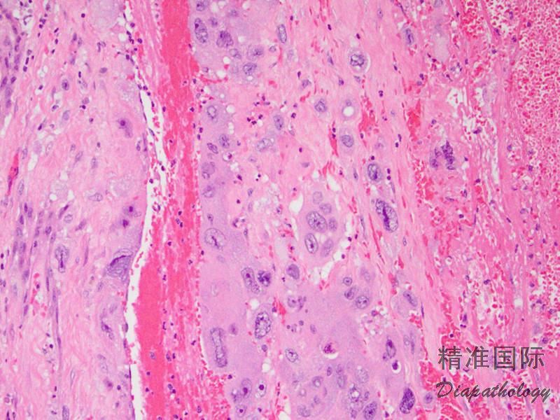
组织学具有明显的双向分化,主要由单核的滋养层细胞(细胞滋养层细胞和中间型滋养层细胞)和多核的合体滋养层细胞构成,几乎所有病例均具出血背景;
典型组织学特征是数层单核滋养层细胞外包绕多核的合体滋养层细胞形成的丛状或指状突起,似缺乏纤维血管间质的早期绒毛结构;
单核滋养细胞包括小-中等大小的细胞滋养层细胞和少数较大的中间滋养层细胞。细胞滋养层细胞界限清楚,胞质透亮或弱嗜酸性,核轻度不规则,具 1 个或多个突出的核仁,核分裂活跃;合体滋养层细胞较大,常见胞浆内空泡(空泡内可见红细胞),多核,核深染或固缩,胞质深嗜酸性,典型的有数个大而不规则、深染、界不清的核;合体滋养层细胞呈肥胖的,薄的或者伸展的、微囊状的,包绕单核滋养层细胞;
单相型病例合体滋养层细胞不明显,主要由细胞滋养层细胞和中间型滋养层细胞片状增生组成;
中央坏死、出血及血管浸润常见;
可见 Leydig(间质细胞)增生。

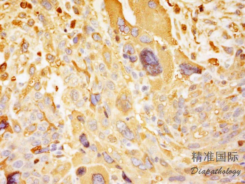
免疫组织化学染色:
合体滋养层细胞表达 hCG、hPL、Glypican3. inhibin 和 EMA,中间型滋养层细胞弱表达 hPL,细胞滋养层细胞表达 SALL4. GDF3. P63. GATA3。
分子标记:
i12p
鉴别诊断:
1,精原细胞瘤伴合体滋养层细胞:精原细胞瘤无绒毛膜癌可见的出血性背景和坏死,合体滋养层细胞在精原细胞瘤中通常为随意分布,无典型的绒毛膜癌中可见的围绕单核滋养层细胞生长。绒毛膜癌的单核滋养层细胞较精原细胞瘤瘤细胞更大,细胞大小差异和核多形性更明显。精原细胞瘤免疫组化染色表达 OCT4,而单核滋养层细胞表达 GATA3 等可资鉴别。
2,实体性卵黄囊瘤:免疫组化染色表达 AFP 和 Glypican3,仅偶尔表达 P63,合体滋养层细胞可表达 Glypican-3 而单核滋养层细胞不表达
3,胚胎性癌伴合体滋养层细胞:胚胎性癌瘤细胞异型性更明显,除了实性结构之外常见腺样和乳头状生长,免疫组化染色表达 OCT4 和 CD30 可资鉴别。
预后:
是最侵袭性的 GCT,常见早期的血源性播散;高分期和出血相关的并发症。hCG > 50000IU/L 提示治疗反应不佳;3 年总体存活率仅 21%。
治疗:
睾丸切除,术后化疗
病例报道:
Testicularseminomatous mixed germ cell tumor withchoriocarcinomaand teratoma with secondary somatic malignancy: acasereport.
参考文献:
1,Isabel, Alvarado-Cabrero,Narciso, Hernández-Toriz,Gladell P, Paner.Clinicopathologic analysis of choriocarcinoma as a pure or predominant component of germ cell tumor of the testis.[J].The American journal of surgical pathology,2014,38(1):111-8. 2,Banet N , Gown AM , Shih IeM , Kay Li Q , Roden RB , Nucci MR , Cheng L , Przybycin CG , Nasseri-Nik N , Wu LS , Netto GJ ,Ronnett BM , Vang R . GATA-3 expression in trophoblastic tissues: an immunohistochemical study of 445 cases, including diagnostic utility. Am J Surg Pathol 2015 Jan;39 (1): 101-8.
← 睾丸囊性滋养细胞肿瘤 睾丸成人型粒层细胞瘤 →