睾丸胚胎性癌
Testicular Embryonal Carcinoma
同义词(或曾用名): 未分化恶性畸胎瘤
概述:
由类似于胚胎性干细胞的瘤细胞组成的恶性生殖细胞肿瘤,细胞卵圆至柱状,胞质透亮至颗粒状嗜双色性,核具显著多形性,排列方式多样。
发病部位: 睾丸
诊断要点:
是精原细胞瘤之后第二常见的成人生殖细胞肿瘤(GCT)。睾丸 GCT 中纯的胚胎性癌仅占 2.3-16%,大多数为混合性 GCT 的组成成分。最早发生在青春期,峰值年龄为 30 岁左右;最常见症状为无痛性睾丸肿胀;
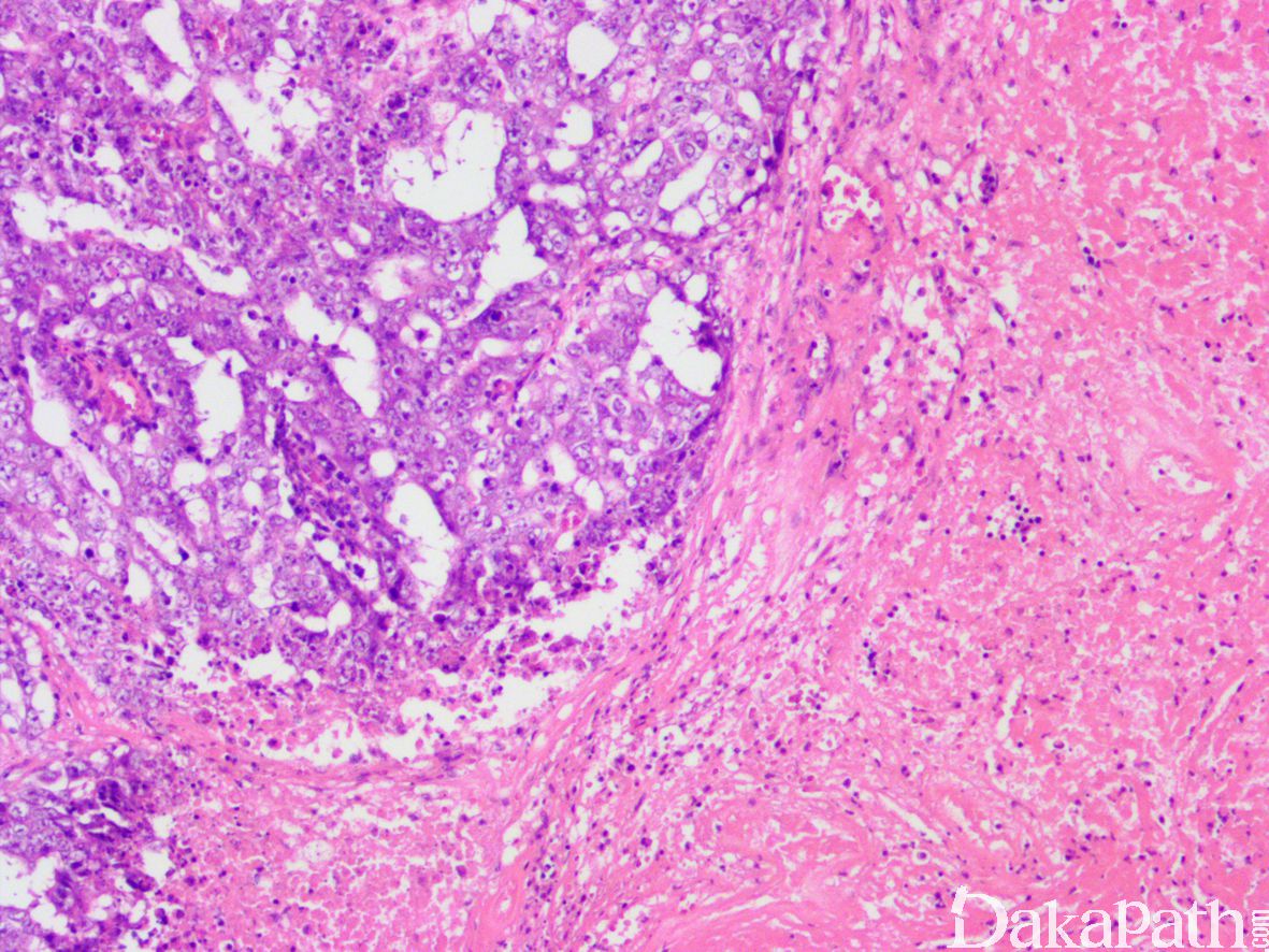
大体检查:睾丸轻至中度增大,外观变形,常累及附睾和精索;肿瘤界限不清,切面膨出,质软,颗粒状,灰白、灰粉或灰褐色,常伴有局灶出血、坏死及囊性变;
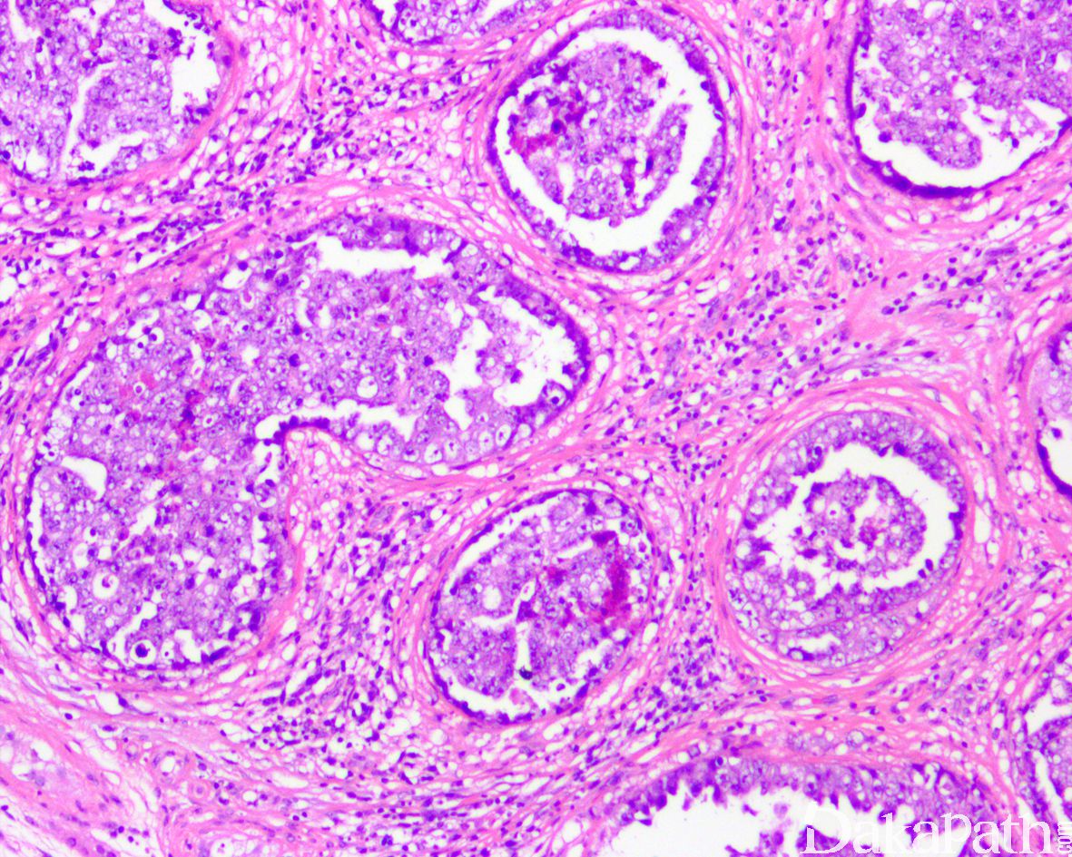
组织结构多样,常见形态学有实性、腺样和乳头结构,少见组织结构包括巢状、微乳头、网状/腺样、假乳头、筛状、胚囊样(含嗜酸性液体的囊腔,围绕致密的肿瘤细胞层),常见 2 种或多种形态混合存在;
实性结构常伴融合性坏死,有时广泛坏死形成假乳头状结构(血管周围无坏死);瘤细胞巢周围可见斑片状细胞退变、变长、深染、粉尘状似修边或镶边现象(Applique pattern)
腺体结构通常圆形或长形,多数被覆多形性立方细胞,20%病例被覆柱状细胞,可见核下胞浆空泡,似子宫内膜腺体;
乳头状结构表现为细胞围绕纤维血管轴心放射状排列,横断面似内胚窦结构;
另外还有两种形态:多胚瘤样和弥漫性胚瘤结构,这两种结构提示胚胎性癌和卵黄囊瘤密切混合;
肿瘤细胞胞浆深嗜双色性,胞膜不清,核大,拥挤、重叠,核多形、泡状,具单一或多个大核仁,核分裂像和凋亡小体多见;
实性区域也可见胞浆透亮、核膜清楚的肿瘤细胞,似精原细胞瘤细胞,但较精原细胞瘤具明显的细胞多形性;
其它形态包括鞋钉样细胞突出于囊腔,微囊或巨囊状,清楚的胞浆内空泡、偶尔可见合体滋养细胞散在或小灶聚集;
常见淋巴细胞浸润,但很少见肉芽肿反应;
肿瘤细胞巢间可见非肿瘤性间质及肿瘤性不成熟畸胎瘤样间质。

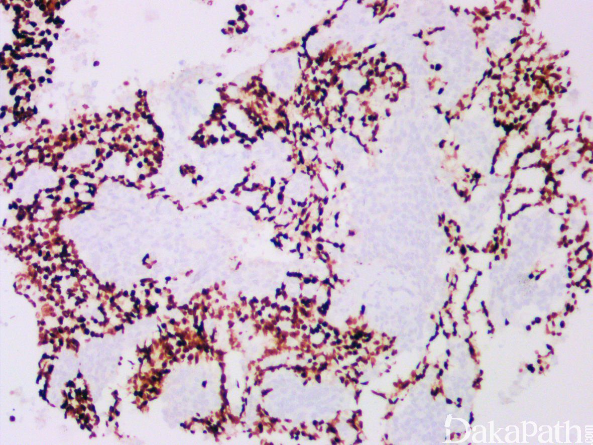
免疫组织化学染色:
CD30. OCT3/4. SOX2 对诊断最有价值,但化疗后转移病灶 CD30 常丢失,SALL4. AE1/AE3 通常阳性;SOX17. glypican 3. c-kit、EMA、CEA、podoplanin、vimentin 阴性,50%病例 P53 强阳性。
分子标记:
i12p
鉴别诊断:
精原细胞瘤 :罕见缺乏腺样、管状、乳头状结构,瘤细胞界限相对清楚,无核重叠现象,核多形性小,核仁通常多个分布于核膜周围,PLAP、CD117 阳性,CK 和 CD30 一般阴性。
卵黄囊瘤 :形态更加多样;常见玻璃样小体和细胞外基底膜样物;缺乏纤维间质及淋巴细胞浸润。SALL4 和 Glypican-3 阳性,OCT4 和 CD30 阴性。
绒毛膜癌 :显著的出血背景,中间型滋养层细胞 GATA3 阳性,合体滋养层细胞 β-hCG 阳性。
预后:
预后取决于肿瘤的分期以及胚胎性癌所占的比例;纯的胚胎性癌较混合性 GCT 侵袭性强,常见淋巴管浸润以及后腹膜和纵膈等淋巴结转移
治疗:
睾丸切除,后腹膜淋巴结切除,术后辅助化疗
病例报道:
[Non-palpable testicular embryonal carcinoma diagnosed by ultrasound: a case report](http://jjco.oxfordjournals.org/content/39/2/124. long)
参考文献:
Chia-Sui, Kao,Thomas M, Ulbright,Robert H, Young,Muhammad T, Idrees.Testicular embryonal carcinoma: a morphologic study of 180 cases highlighting unusual and unemphasized aspects.[J].The American journal of surgical pathology,2014,38(5):689-97.
← 睾丸原位生殖细胞肿瘤 睾丸青春期前型畸胎瘤 →