睾丸表皮样囊肿
Testicular Epidermoid Cyst
概述:
完全由表皮样成分组成的睾丸畸胎瘤,属青春期前型睾丸畸胎瘤的一种。
发病部位: 睾丸
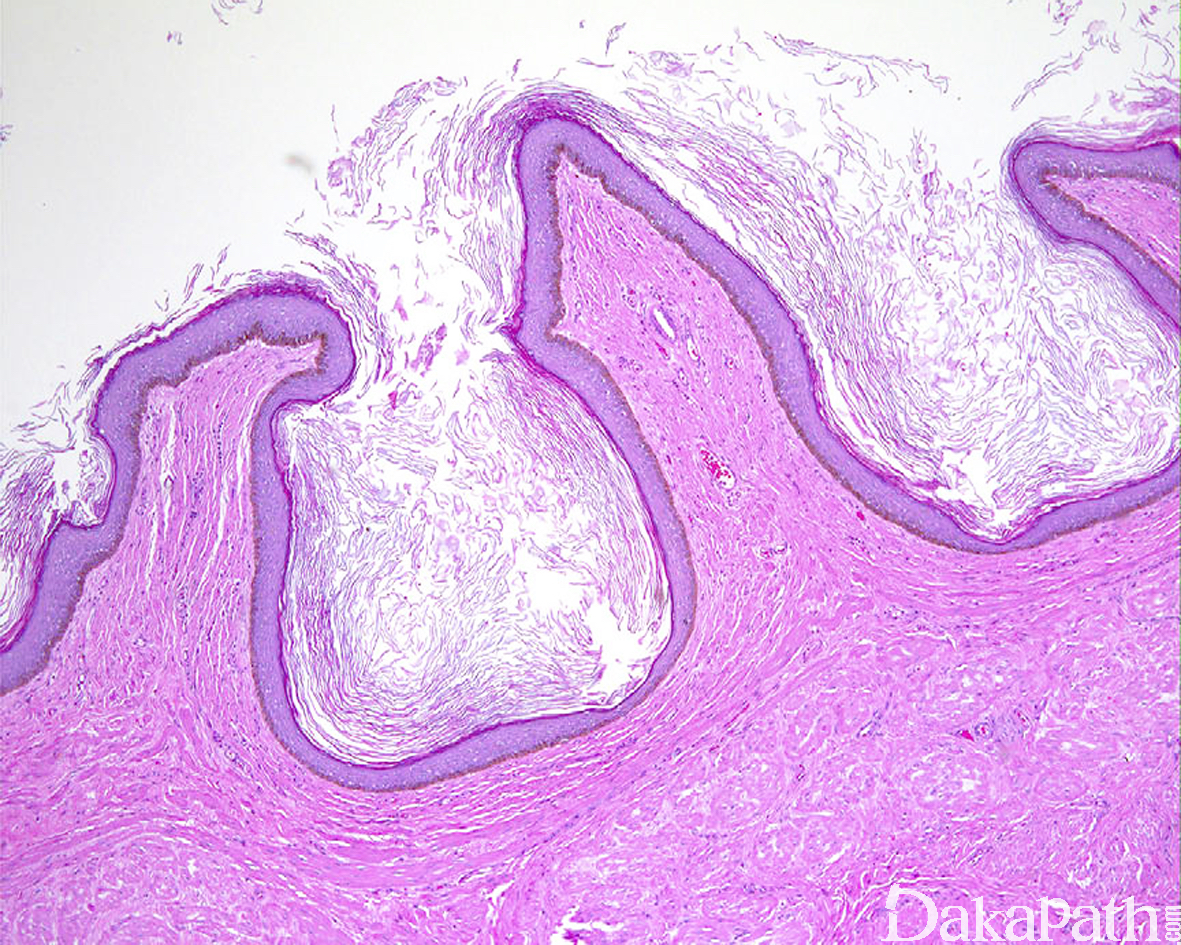
诊断要点:
单一囊性肿物,内充满角化物;
镜下囊壁被覆成熟鳞状上皮,无皮肤附属器结构;
周围睾丸组织除可能受挤压外,无其它病理改变包括原位生殖细胞肿瘤、曲细精管萎缩、瘢痕、曲细精管内微结石、坏死、生精异常及退行性改变等。

鉴别诊断:
青春期后型睾丸畸胎瘤:以实性成分为主,鳞状上皮无明显的角化,常含有其他不成熟的成分或生殖细胞肿瘤成分,周围生精小管显示原位生殖细胞肿瘤、生精小管萎缩、瘢痕、曲细精管内微结石、坏死、生精异常及退行性改变等。
预后:
良性
治疗:
病灶切除
病例报道:
Effect of benigntesticularmass on fertility: anepidermoid cystcase
参考文献:
Younger C, Ulbright TM, Zhang S, et al. Molecular evidence supporting the neoplastic nature of some epidermoid cyst of the testis. Arch Pathol Lab Med. 2003;127:858–860.