结肠黑变病
Melanosis Coli
概述:
灰褐色或黑褐色色素异常沉着,可发生于任何器官,色素常不一样,且黑色的色素并不意味着该色素为黑色素(仅呈黑色而已)。
发病部位: 整个大肠可受累,从盲肠至肛门;回肠末端或小肠及区域淋巴结亦可受累。
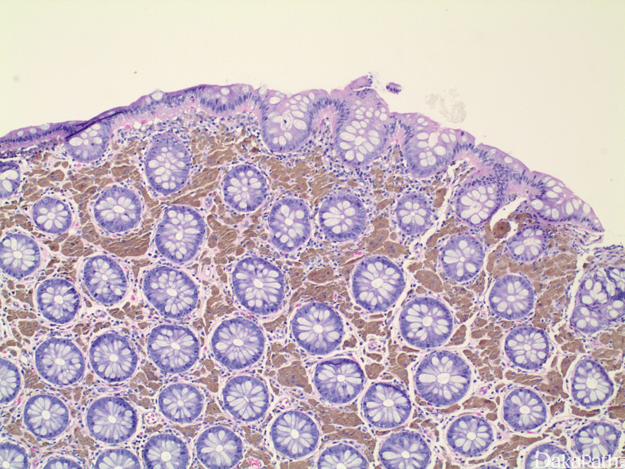
诊断要点:
多数为老年患者,临床一般无特异性症状。常见于便秘患者用药后。
大体上可见针尖样无色改变,可能为淋巴滤泡,临床称其为“满天星”;色素强度各异,表现乌黑至浅棕色。
组织上固有层内单个或簇状含有色素的巨噬细胞,深棕色至黑色颗粒球状色素,PAS(有或无淀粉酶)、AFB、Luxol fast blue、aniline blue sulfate、Schmorl、oil red O、苏丹黑、刚果红及 Fontana-Masson 均阳性,而普鲁士蓝阴性。
固有层含有少量浆细胞及或肥大细胞,黏膜及黏膜下层可水肿,结肠上皮基本正常。少数结肠周围淋巴结可见色素。

鉴别诊断:
棕色肠道综合征 :肠平滑肌棕色色素沉着,由于脂肪及维生素 E 吸收不良导致,常可见乳糜泻及囊性纤维化。患者常见腹泻及腹痛,全肠道均可受累(食管至肛门),平滑肌细胞可见脂褐素,黏膜未见明显异常。
吞噬含铁血黄素巨噬细胞 :红细胞内吞导致的残余小体,浅棕色、细颗粒状,铁染阳性。
内窥镜刺青(墨) :色素为黑色而不是棕色。
黑色素 :电镜可见有条纹的棒状结构或盘样丝状物。
回肠黑变病 :腺癌切除标本偶被发现,回肠黏膜点状及融合性色素,不会延伸至回盲瓣之外,含色素的巨噬细胞位于萎缩性 Peyer 集合淋巴结附近,类似于肺泡巨噬细胞,吸入及(或)摄取外源性尘颗粒。
十二指肠假黑变病 :胃肠出血及消化性溃疡偶被发现,十二指肠可见黑褐色色素(含铁及硫),普鲁士蓝染色阳性。
食管黑变病(黑色食管) :罕见,位于食管黏膜的黑色色素,上皮基底层黑色素细胞增多。
含铁血黄素沉积症 :铁过量性失调导致铁沉积,表现在胃壁细胞、十二指肠 Brunner 腺、胃肠道上皮细胞。深棕色至黑色细颗粒,铁染色阳性。
钡肉芽肿 :黏膜损伤钡剂渗入肠壁,固有层组织细胞形成肉芽肿,灰色细颗粒,PAS 阴性。