结肠子宫内膜异位
Endometriosis of Colon
概述:
子宫内膜异位:子宫内膜腺体及间质出现在子宫外,诊断需要出现下列 3 个其中的 2 个:腺体、间质或出血。输卵管内膜异位:子宫外出现纤毛输卵管型上皮,无任何子宫内膜间质成分。
诊断要点:
无症状的女性发病率 2-22%,伴有痛经的女性发病率 40-60%,伴盆腔子宫内膜异位的肠管的发生率约 15-37%。多数位于育龄期妇女,发病高 峰约 40 岁左右。临床可见腹痛、血便、肠梗阻、肠穿孔及深部包块(偶被发现)。
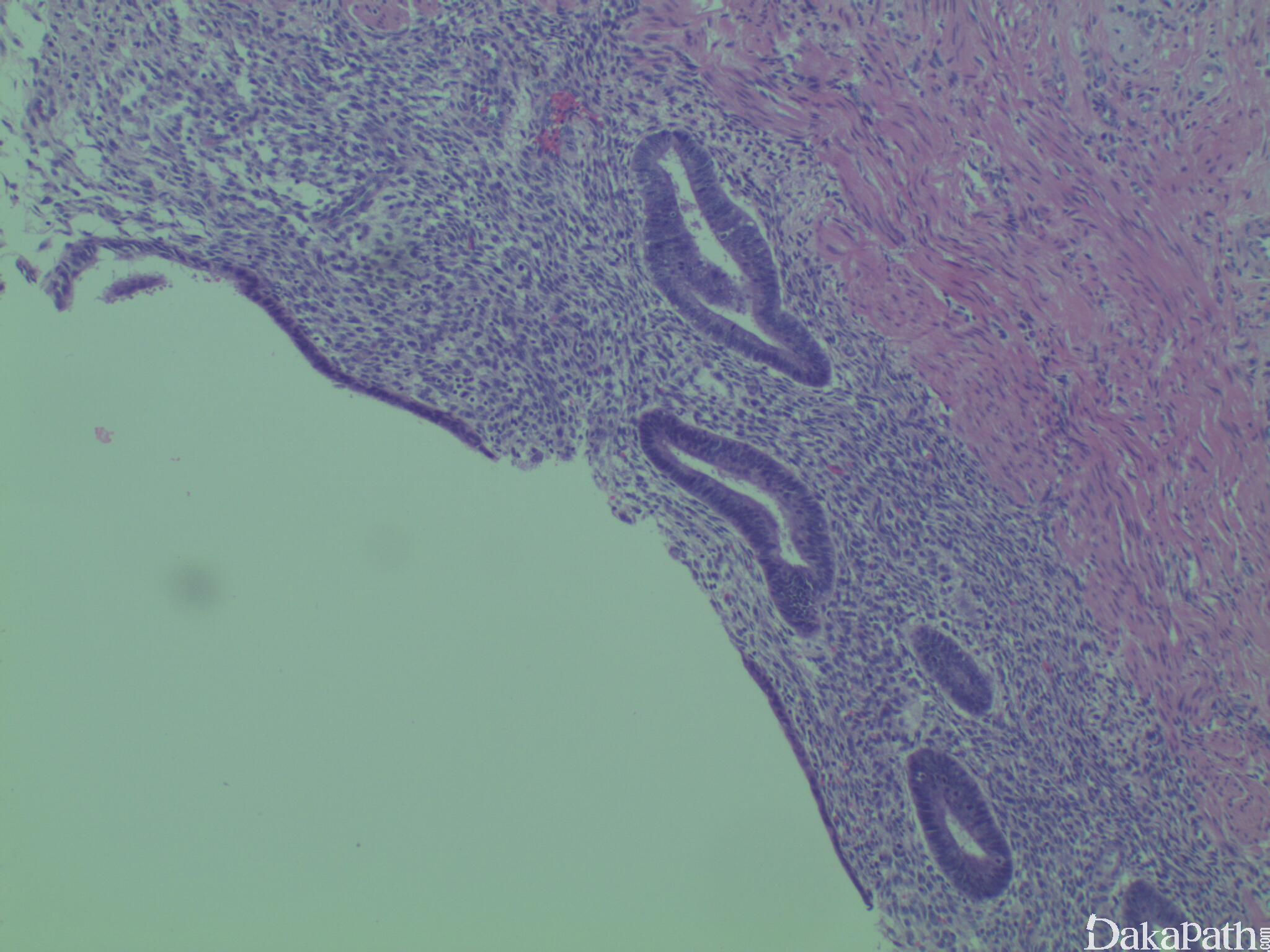
大体上呈息肉样病变,腔狭窄,黏膜下肿块伴黏膜面溃疡形成。亦常出现出血及血栓形成,可见囊性改变,浆膜常黏连。
组织学可见界限清楚的子宫内膜腺体及多少不等的子宫内膜间质,腺体衬覆假复层柱状上皮,间质位于腺体周围由致密小的梭形细胞组成,温和间质细胞胞浆稀少,可显示出血、吞噬含铁血黄素的巨噬细胞或假黄色瘤样改变,孕期女性可见蜕膜样变
被覆黏膜的反复性炎症及溃疡可导致慢性结肠炎的特点,隐窝结构扭曲。由于固有层纤维肌增生,可见腺体下陷样改变。黏膜下或浆膜下静脉或淋巴管内可见子宫内膜异位。可见显著同心性平滑肌增生及肥大,继发性的神经肥大及固有肌层的纤维化,浆膜炎及浆膜黏连。

免疫组织化学染色:
CD10 间质细胞阳性,ER 腺体及间质均可阳性。
鉴别诊断:
腺瘤**:累及黏膜表面可似结肠腺瘤,纤毛上皮的出现支持子宫内膜异位,细胞丰富的子宫内膜间质伴出血或含铁血黄素支持内膜异位,ER 染色有助于鉴别。
浸润性腺癌 :子宫内膜异位的腺体及间质成分界限尙清,而浸润性腺癌中可见腺上皮不规则浸润性生长伴周围促纤维间质反应。子宫内膜异位的间质富于细胞且 CD10 及 ER 阳性。来自子宫内膜异位的子宫内膜腺癌也应与结肠浸润性腺癌鉴别,ER 在子宫内膜样腺癌呈阳性,而结肠癌阴性;子宫内膜癌的 CK7 阳性及 CK20 阴性。PTEN 的表达缺失支持子宫内膜样腺癌。
腺肉瘤 :肠常见的息肉样子宫内膜异位可似腺肉瘤,子宫内膜异位的间质细胞无不典型性,腺肉瘤显示间质细胞以叶状肿瘤样的方式乳头状突向腔面。间质细胞出现不典型性及核分裂支持腺肉瘤。
← 肠气囊肿症 肠出血性大肠杆菌感染 →