淋巴细胞性结肠炎
Lymphocytic Colitis(LC)
概述:
微小结肠炎(MC)包括淋巴细胞性结肠炎(LC)及胶原性结肠炎(CC),具有相似的临床表现(腹泻),内镜正常,可能属于同一疾病的不同阶段。LC 的特点是上皮内淋巴细胞增多(IELs)。
发病部位: 右半结肠及横结肠常受累。
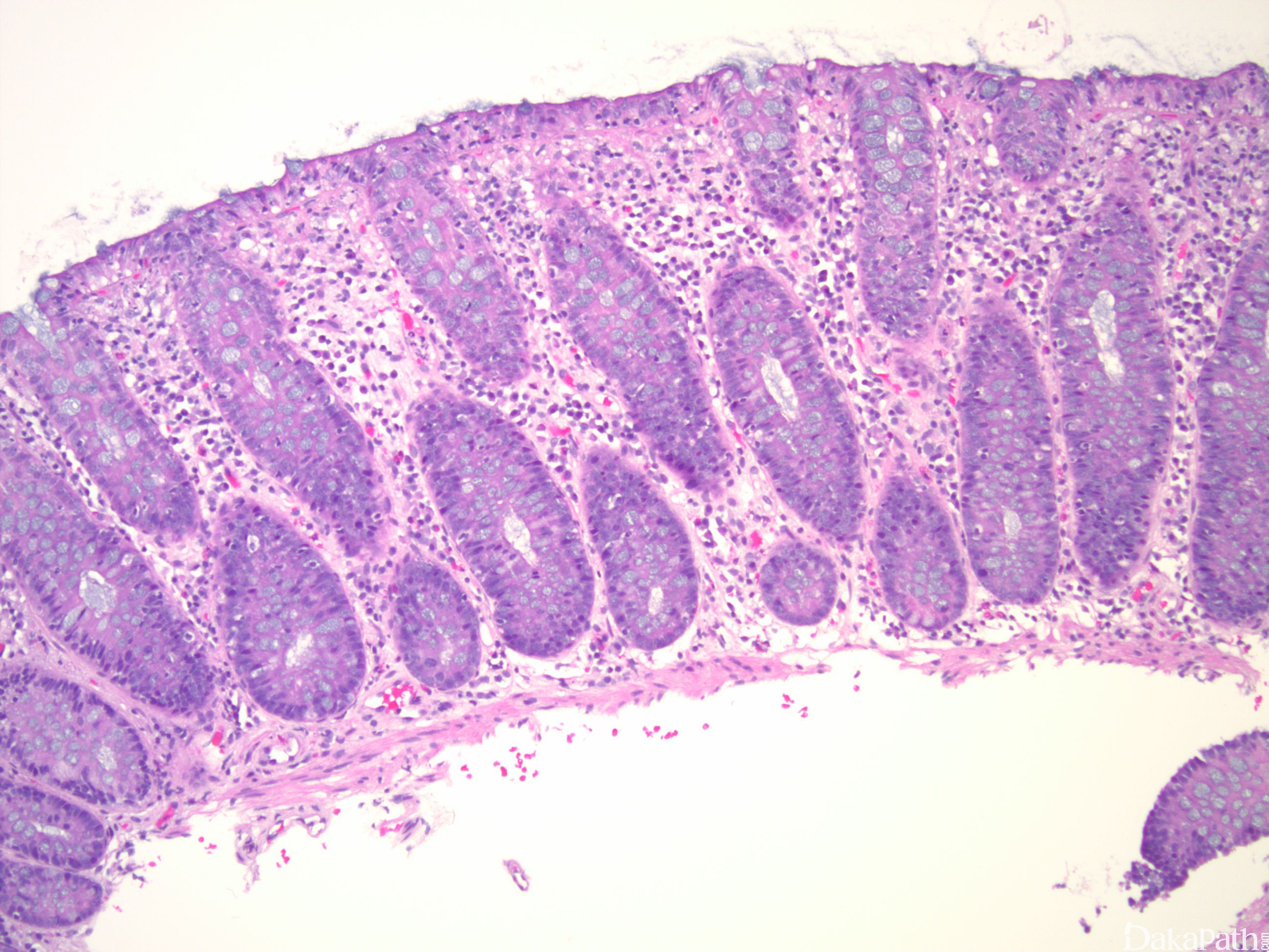
诊断要点:
发病率 4.85/ 100,000/年,发病年龄高峰 50-70 岁,男女发病之比约 1:2。临床表现慢性反复水样非血性腹泻,少数可见腹痛、体重减轻、恶心、呕吐、里急后重及腹胀。
大体上正常或接近正常。
组织上上皮内淋巴细胞增多(≥20 IELs/100 表面上皮细胞),正常情况下< 5-10 IELs/100 表面上皮细胞,淋巴滤泡附近的上皮避免评估,显著隐窝 IELs 亦是 LC 的特点。上皮下胶原带无增多(上皮下胶原增多是 CC 的特点)。表面上皮受损、扁平或退行性变,黏液耗竭、胞浆空泡状及胞核固缩。
固有层可见慢性或混合性炎症,大量浆细胞及少量肥大细胞,淋巴细胞减少,常可见增多的嗜酸性粒细胞,炎症的程度与腹泻的严重性相关。上皮内或固有层内少量中性粒细胞,隐窝大小及形态正常,少数隐窝分支状。局灶可见 IBD 样改变,潘氏细胞化生,隐窝炎及隐窝脓肿,隐窝变形。
部分病例可见胃的淋巴细胞性胃炎,十二指肠的乳糜泻及小肠的 IELs 增多。
不典型淋巴细胞性结肠炎:少细胞型:IELs 及固有层炎症轻度增多。隐窝型:仅限于隐窝上皮的 IELs 增多。巨细胞型:极其罕见,具有相似的临床表现及预后。

鉴别诊断:
胶原性结肠炎 :表面及隐窝 IELs 偏少,上皮下厚的不规则胶原带。
炎症性肠病 :患者较年轻,血性腹泻,内镜可见溃疡,隐窝炎、隐窝变形或脓肿,淋巴浆细胞增多,炎症性肠病与淋巴细胞性结肠炎可同时存在。
急性感染性结肠炎 :固有层、隐窝弥漫显著的中性粒细胞浸润,急性水样腹泻发病大于 4 周,上皮内淋巴细胞少见,无隐窝变形或表面受损。
自身免疫性小肠结肠炎 :多数为儿科患者,蛋白流失性腹泻,隐窝上皮内淋巴细胞增多(非表面上皮),潘氏细胞或杯状细胞缺失。
肠病相关 T 细胞淋巴瘤 :多数位于小肠,单克隆非典型增生性 T 细胞。
← 嗜酸性_过敏性结肠炎 局灶活动性结肠炎 →