脂肪纤维瘤病样神经肿瘤
Lipofibromatosis-like neural tumor, LPF-NT
概述:
是一种中间型的软组织肿瘤,组织学类似于脂肪纤维瘤病,但显示一定程度的细胞非典型性,表达 CD34 和 S100 蛋白,遗传学上存在 NTRK1 基因重排。
发病部位: 肢体和肢端以及头颈部
诊断要点:
好发于儿童和年轻成人,发病年龄 4-38 岁(中位年龄 13.5 岁),好发于肢体和肢端以及头颈部;
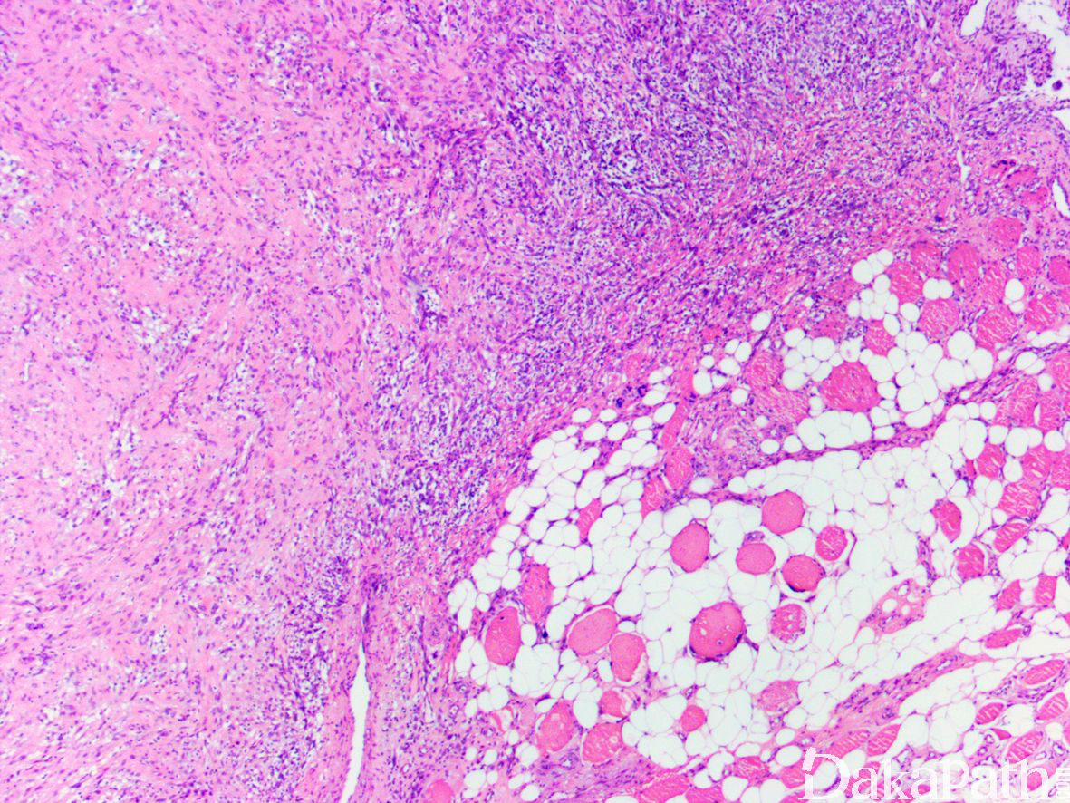
肿瘤位于皮下,直径 1.3-5.4cm;
镜下肿瘤界限不清,梭形瘤细胞较密集,呈平行的束状和片状排列,肿瘤一致性的显示向周围脂肪组织和骨骼肌组织内不同程度的浸润性生长,组织学构型类似于脂肪纤维瘤病;
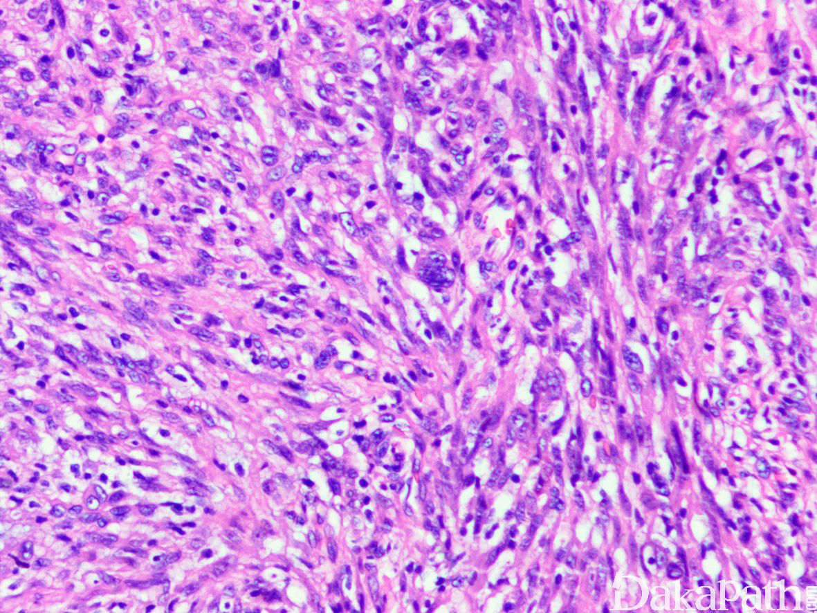
瘤细胞胞浆嗜酸性,胞膜界限不清,核呈纺锤状,可见轻度的核非典型性和核浓染,核仁不明显,散在可在多形性肿瘤细胞;
尽管瘤细胞密度较高并可见多形性,但核分裂少见,通常< 2 个/10 高倍镜视野,偶尔可达 8 个/10HPF,未见肿瘤性坏死。

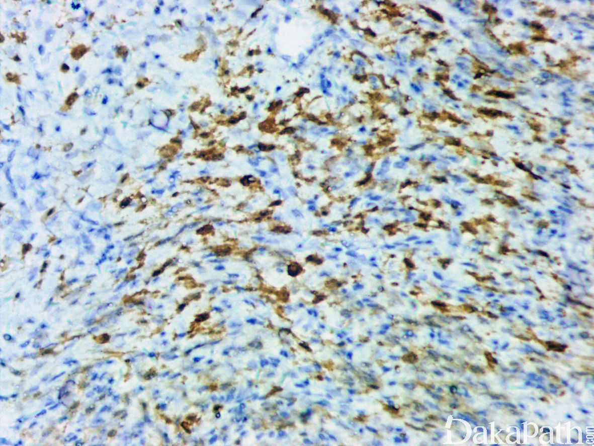
免疫组织化学染色:
多灶性的强表达 S100 蛋白和 CD34,NTRK1 基因重排的病例弥漫表达 NTRK1 蛋白;少数肿瘤可局灶表达 SMA,一般不表达 desmin, EMA, GFAP、SOX10,HMB45,STAT6 等,H3K27me3 表达无丢失。
分子标记:
70%左右存在 NTRK1 基因重排,可通过 FISH 进行检测;无 NTRK1 重排的肿瘤可显示 ALK 和 ROS1 基因重排
鉴别诊断:
脂肪纤维瘤病:主要发生于婴幼儿的手和足,梭形瘤细胞形态温和,无多形性,梭形细胞和脂肪组织的交界面可见假脂肪母细胞,梭形细胞免疫组化染色表达 CD34 和 SMA,不表达 S100 蛋白,无 NTRK1 基因重排;
婴儿纤维性错构瘤:可见原始的梭形或卵圆形以及星状细胞组成的不成熟间叶性结节,免疫组化染色梭形细胞不表达 S100 蛋白;
钙化性腱膜纤维瘤:可见软骨样组织伴钙化,常见破骨样巨细胞;
隆凸性皮肤纤维肉瘤:梭形细胞不表达 S100 蛋白,遗传学上存在特征性的 COL1A1-PDGFB 基因融合;
低级别恶性外周神经鞘膜瘤(MPNST):半数与神经纤维瘤病相关,免疫组化染色表达 SOX10 蛋白,显示特征性 H3K27me3 表达缺失;
肌纤维瘤/肌周细胞瘤:部位更表浅,瘤细胞围绕血管生长或呈血管外皮瘤样结构,免疫组化染色表达 SMA,不表达 S100 蛋白。
预后:
切除不尽可复发,约 42%的病例可见局部复发,未见转移。
治疗:
完整切除保证阴性切缘。
参考文献:
Agaram N P , Zhang L , Sung Y S , et al. Recurrent NTRK1 Gene Fusions Define a Novel Subset of Locally Aggressive Lipofibromatosis-like Neural Tumors[J]. Am J Surg Pathol, 2016, 40(10):1407-1416. Lipofibromatosis-like** neural tumour : a clinicopathological study of ten additional cases of an emerging novel entity.
Lao IW, Sun M, Zhao M, Yu L, Wang J.
Pathology. 2018 Aug;50(5):519-523. doi: 10.1016/j.pathol.2018.03.007. Epub 2018 Jun 27. PMID: 29958731