腺泡状软组织肉瘤
Alveolar Soft Part Sarcoma,ASPS
发病部位: 四肢和躯干、头颈部,女性生殖道、乳腺、肺、胃、纵隔、腹膜后和骨
诊断要点:
好发于青少年,肿瘤多位于四肢和躯干深部肌肉组织以及头颈部(舌,眼眶等部位),常表现为缓慢性生长的无痛性肿块;
大体检查肿块通常界限较清楚,直径 2-14cm 不等,呈圆形、椭圆形或结节状,少数有包膜,质实而软,体积较大者可伴有出血、坏死或囊性变;
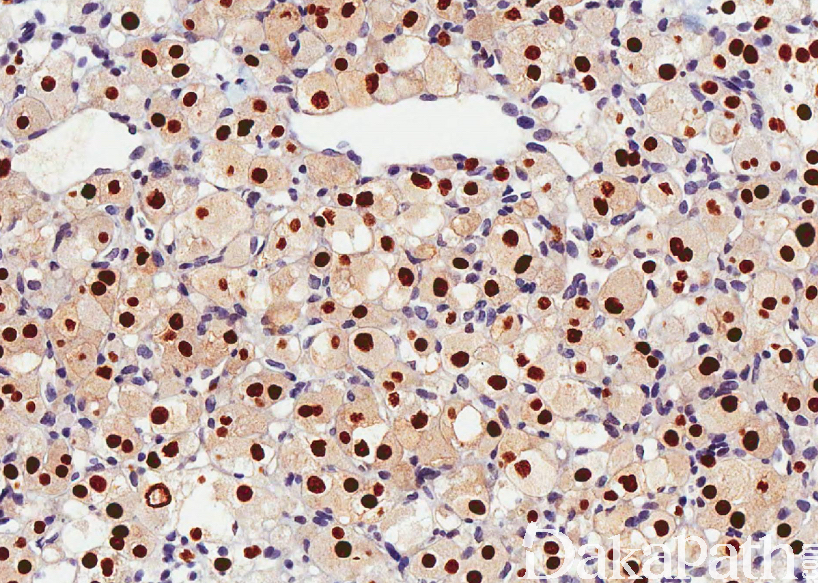
低倍镜下见肿瘤细胞呈“器官样"或“腺泡状”排列,腺泡之间为裂隙状或血窦样毛细血管网;
瘤细胞体积较大,圆形或多边形,边界清楚,胞质丰富,含嗜伊红色颗粒;核大,染色质细致或呈空泡状.可见明显的核仁,核分裂像较少;
大多数病例胞质内可见 PAS 阳性的针状或棒状结晶物,耐淀粉酶消化;
部分病例瘤细胞胞质透亮或空泡状,易被误诊为转移性肾透明细胞癌;
肿瘤的周边常可见扩张的静脉,常见瘤栓;
个别病例瘤细胞有明显的异型性,并可见活跃的核分裂像;
婴幼儿和儿童病例,瘤细胞多呈小的多边形常呈实性的片状排列,腺泡状结构较少。

免疫组织化学染色:
TFE3 弥漫强阳性(核表达),部分病例还可表达 desmin、MSA 和 MyoD1(胞质染色),不表达 myogenin、AE1/AE3. EMA、CgA、SYN 和 NF,HMB45,MELAN-A,S100 等。
瘤细胞胞浆内可见 PAS 阳性且耐淀粉酶消化的棒状结晶,电子显微镜下表现为高尔基区附近的棒状致密电子结晶沉积,无横纹和骨骼肌分化证据,
分子标记:
TFE3 基因重排/易位
鉴别诊断:
腺泡状横纹肌肉瘤 :desmin、MSA、mvogenin 和 MvoD1 常阳性.TFE3 阴性。
转移性肾细胞癌:PAX8, CK 阳性;
PEComa: HMB45,MELAN-A 阳性,部分可 TFE3 阳性。
预后:
中度恶性,尽管生长较缓慢,但常见远处转移,有时转移可出现在原发肿瘤数十年后,转移最常见部位为肺。
治疗:
完整切除并广泛的分期探查
病例报道:
Indian J Pathol Microbiol. 2011 Jul-Sep;54(3):581-3. doi: 10.4103/0377-4929.85099. Alveolar soft-part sarcoma of tongue.
Anbarasi K1, Sathasivasubramanian S, Kuruvilla S; Susruthan.
参考文献:
Casanova M, Ferrari A, Bisogno G, Cecchetto G, Basso E, De Bernardi B, Indolfi P, Fossati Bellani F, Carli M: Alveolar soft part sarcoma in children and adolescents: A report from the Soft-Tissue Sarcoma Italian Cooperative Group. Ann Oncol. 2000, 11 (11): 1445-1449. Portera CA, Ho V, Patel SR, Hunt KK, Feig BW, Respondek PM, Yasko AW, Benjamin RS, Pollock RE, Pisters PW: Alveolar soft part sarcoma: clinical course and patterns of metastasis in 70 patients treated at a single institution. Cancer. 2001, 91 (3): 585-591. Folpe AL, Deyrup AT: Alveolar soft-part sarcoma: a review and update. J Clin Pathol. 2006, 59 (11): 1127-1132. Ladanyi M, Lui MY, Antonescu CR, Krause-Boehm A, Meindl A, Argani P, Healey JH, Ueda T, Yoshikawa H, Meloni-Ehrig A, Sorensen PH, Mertens F, Mandahl N, van den Berghe H, Sciot R, Cin PD, Bridge J: The der(17)t(X;17)(p11;q25) of human alveolar soft part sarcoma fuses the TFE3 transcription factor gene to ASPL, a novel gene at 17q25. Oncogene. 2001, 20 (1): 48-57.