CIC 重排的肉瘤
CIC-rearranged sarcoma
概述:
一种高度侵袭性的小圆细胞肉瘤,组织学上类似于尤文肉瘤,遗传学上显示特征性的 CIC 基因(19q13)重排,大多数为 CIC-DUX4 基因融合。
发病部位: 大多数位于肢体或躯干的深部软组织内(躯干>下肢>上肢>头颈部>后腹膜),少数可见于内脏器官(胃肠道和肾脏、前列腺等),极罕见于骨内。
诊断要点:
发病年龄 6-81 岁(平均约 32 岁),84%以上发病> 18 岁,无性别好发倾向;
直径 0.7-32cm, 60%以上直径超过 5cm;
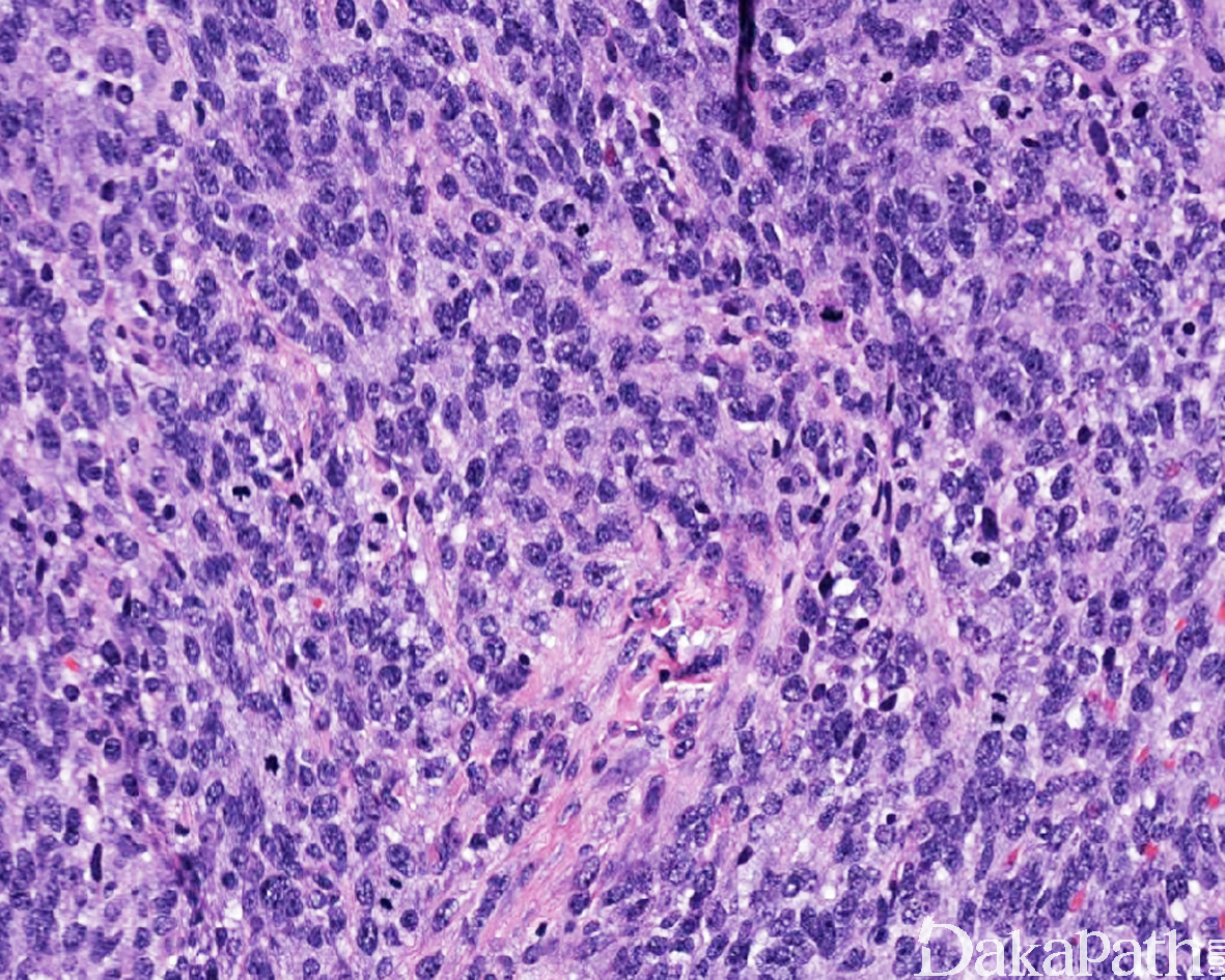
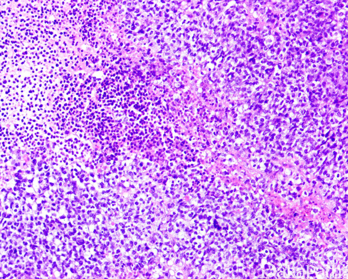
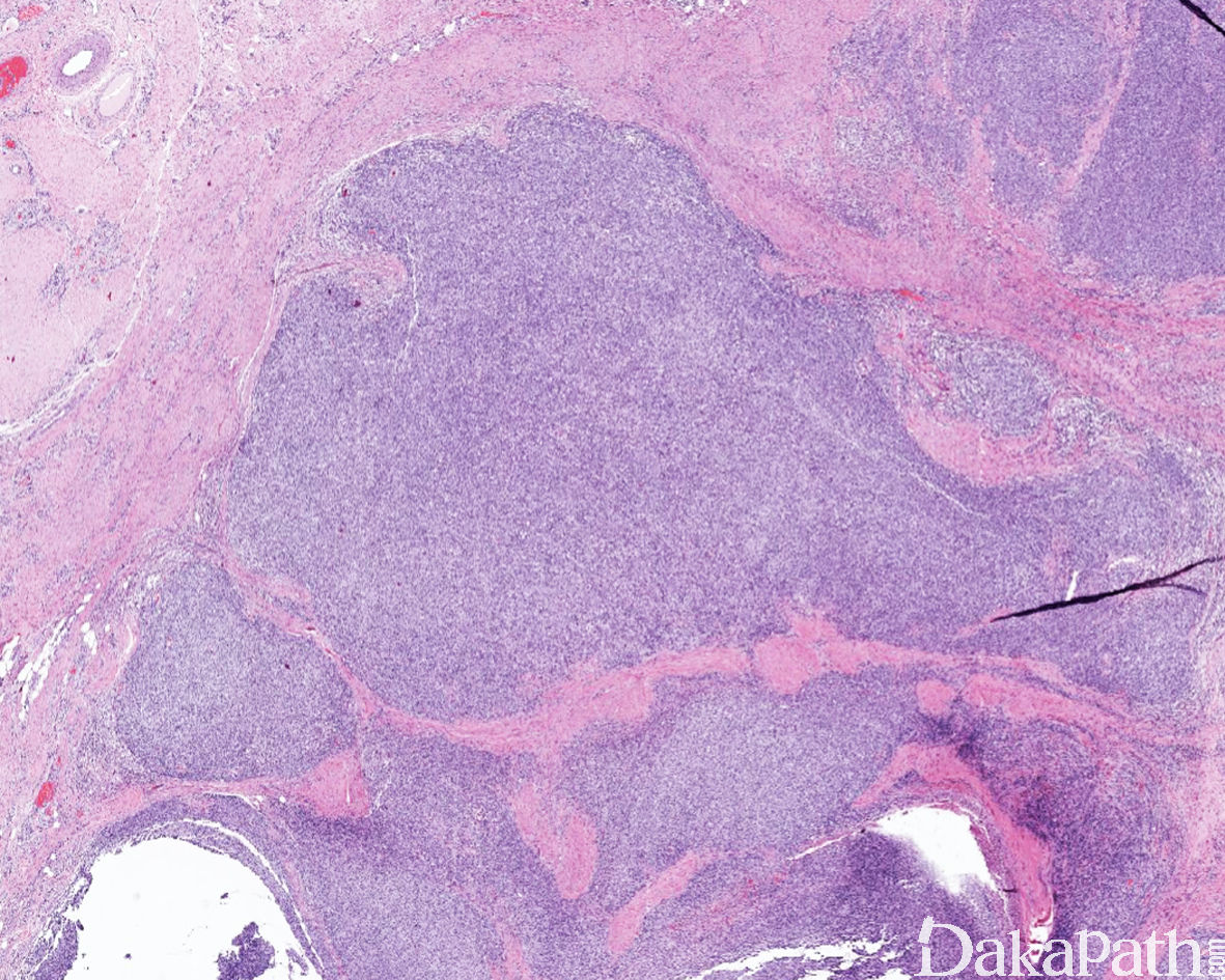
低倍镜下显示实性成片的小到中等大的圆细胞增生,约 1/3 可见胶原纤维分隔的结节状或模糊结节状生长;少见的结构特征包括交错束状或网状排列
约 1/3 可见不同程度的黏液性间质改变;
瘤细胞圆形或卵圆形为主,约 10%可见混合的梭形细胞,偶尔可以梭形细胞为主;约 23%可见混有浆样细胞或 Rhabdoid(横纹肌样)细胞,偶尔可以后者为主;约 20%可见三种形态细胞的混合(圆形/卵圆形,梭形,浆样/横纹肌样细胞);
瘤细胞胞浆稀少至中等量,淡嗜酸性或透明,浆样/横纹肌样细胞具有相对丰富的胞浆;
核染色质形态变化不等,半数以上染色质空泡状,30%可见颗粒状纤细的染色质,约 20%可见深染的染色质;约 1/3 可见多灶性明显的核仁;
核大小相对一致,轻度多形性,少数可见散在的中等程度的多形性核;
核分裂象活跃,平均 32 个核分裂象/10HPF;
绝大多数肿瘤可见多灶性的地图性坏死。

免疫组织化学染色:
大多数表达 CD99,多数为局灶或多灶阳性,少数为弥漫阳性;90%弥漫表达 WT1,胞浆表达 N 端 WT1 抗体,核表达 C 端 WT1 抗体,多数为弥漫,少数为局灶或多灶表达;伴有 CIC-DUX4 重排者弥漫表达 DUX4;70%表达 Calretinin,30%局灶表达 MUC4,另外常表达 ERG、FLI-1 以及 D2-40 等。少数可局灶表达 AE1/3。不表达 S100 蛋白、desmin 和 NKX2.2。
分子标记:
约 60%为 CIC-DUX4 基因重排,少数为 CIC-FOXO4 和 CIC-NUTM1 基因重排,其它为未知伴侣基因
鉴别诊断:
尤文肉瘤:弥漫膜表达 CD99, EWSR1 重排;
滑膜肉瘤:多灶性表达上皮性标志物,遗传学上表现为 SS18 基因重排;
骨外黏液样软骨肉瘤:遗传学上为 NR4A3 基因重排;
软组织肌上皮癌:表达上皮和肌上皮标志物,约 50%可见 EWSR1 基因重排;
恶性外周神经鞘膜瘤:局灶表达 S100 蛋白和 SOX10 等,特征性的显示 H3K27me3 表达缺失:
上皮样肉瘤:表达上皮标志物和 CD34,INI-1 表达缺失。
预后:
高度侵袭性,约 16%在诊断时即表现为远处器官或淋巴结转移,肺是最常见的远处转移部位。总体转移率约 50%,约 40%最终死于肿瘤。CIC 重排的肉瘤总体生存率较尤文肉瘤差,2 年和 5 年总体生存率分别约 53%和 43%。
治疗:
手术切除+术后辅助放化疗
病例报道:
Solomon DA, Brohl AS, Khan J, et al. Clinicopathologic features of a second patient with Ewing-like sarcoma harboring CIC-FOXO4 gene fusion. Am J Surg Pathol. 2014;38:1724–1725. 参考文献:
Smith SC, Buehler D, Choi E-YK, et al. CIC-DUX sarcomas demonstrate frequent MYC amplification and ETS-family transcription factor expression. Mod Pathol. 2015;28:58–76. Antonescu CR, Owosho AA, Zhang L, et al. Sarcomas with CIC-rearrangements are a distinct pathologic entity with aggressive outcome: a clinicopathologic and molecular study of 115 cases. Am J Surg Pathol. 2017;41:941–949. Yoshida A, Goto K, Kodaira M, et al. CIC-rearranged sarcomas. Am J Surg Pathol. 2016;40:313–323.