非典型纤维黄色瘤
Atypical Fibroxanthoma,AFX
同义词(或曾用名): 浅表性恶性纤维组织细胞瘤
概述:
是一种好发于老年人头颈部皮肤的低度恶性间叶性肿瘤。
发病部位: 老年人头颈部等太阳易照射部位,青年人可发生的四体和躯干。
诊断要点:
多发于老年人头颈部等太阳易照射部位,少数可发生于青年四肢和躯干;
肿瘤位于真皮内,常突出皮肤,可伴有溃疡;肿瘤侵犯真皮以下深部软组织要考虑未分化多型性肉瘤;
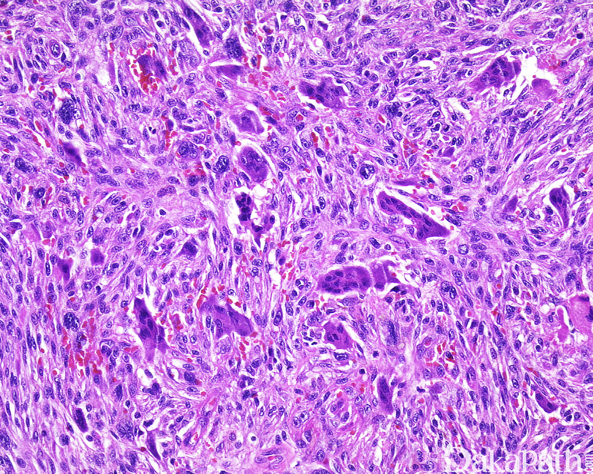
镜下肿瘤无包膜,通常边界清楚,梭形细胞多杂乱排列,有时可呈束状排列;
散在明显异型及多形性细胞,畸形细胞以及单核或多核瘤巨细胞,胞浆嗜酸、淡染、透明、颗粒均可见;
核分裂像易见,可见病理性核分裂像;
部分病例可完全由条束状排列的梭形细胞组成,瘤细胞并无明显的多形性,也可以上皮样细胞为主;
少数病例可含有色素,也称色素性非典型性纤维黄色瘤(pigmented AFX);
可伴软骨和/或骨样分化,分别称为软骨样或骨样亚型;
有些病例可含有破骨样多核巨细胞,也有病例可见胞质透亮或颗粒样瘤细胞;
多少不等的炎细胞浸润背景,可伴明显的胶原化或硬化。

免疫组织化学染色:
vimentin 和 LN-2(CD74)阳性, CD10. SMA、CD68 和 CD99 部分阳性,CD34. S-100. h-caldesmon 一般阴性。
分子标记:
TERT 启动子突变,NOTCH1/2 和 FAT1 突变
鉴别诊断:
梭形细胞 /肉瘤样鳞状细胞癌:表皮起源,伴显著多形性,免疫标记 CK5/6, 34βE12, p63, p40 阳性,pancytokeratin, AE1/AE3, EMA, CAM5.2 可阴性或阳性。
多形性、梭形细胞及促纤维结缔反应黑色素瘤 :大部分病例可见交界成分或原位黑色素瘤,S100 及 SOX10 Melan-A, HMB-45, tyrosinase 及 MITF 常阳性;梭形细胞及促纤维结缔反应黑色素瘤仅出现 S100 及 SOX10 阳性。
多形性皮肤肉瘤 :形态学与非典型显微黄色瘤无明显差异,但位置较深,累及皮下深部、筋膜及肌组织,常大于 2cm,边界不清,显著多形性,核分裂多见,可伴脉管浸润和/或凝固性坏死。非典型纤维黄色瘤与多形性皮肤肉瘤可能是同一种肿瘤的不同组织学表现谱。
平滑肌肉瘤 :不典型梭形细胞增殖性肿瘤,胞核细长,两端圆钝或雪茄样,核周可见空泡,免疫标记 MSA, SMA, desmin 均阳性。需要注意的是部分 AFX 中可见 SMA 局灶或弱胞质或包膜阳性,可能提示肌纤维母细胞分化。
血管肉瘤的血管腔不规则互相吻合沟通,CD31 及 CD34 阳性。
恶性神经鞘膜瘤 常常部位较深,SOX10. S100 阳性。
纤维肉瘤 通常在位于真皮或皮下浅层的隆突性皮肤纤维肉瘤(DFSP)基础上发生,显著纤维肉瘤鱼骨样区域及 DFSP 席纹状区域,DFSP 常常 CD34 阳性,而在纤维肉瘤 CD34 阴性。
预后:
按照严格标准诊断的非典型纤维黄色瘤通常预后好
治疗:
肿瘤完整切除
病例报道:
Chappell AG, Chase EP, Chang B, et al. Atypical fibroxanthoma in a 13-year-old Guatemalan girl with xeroderma pigmentosum. Pediatr Dermatol 2016;33:228–9. 参考文献:
Luzar B, Calonje E. Morphological and immunohistochemical characteristics of atypical fibroxanthoma with a special emphasis on potential diagnostic pitfalls: a review. J Cutan Pathol 2010;37:301–9. de Feraudy S, Mar N, McCalmont TH. Evaluation of CD10 and procollagen 1 expression in atypical fibroxanthoma
and dermatofibroma. Am J Surg Pathol 2008;32:1111–22. Griewank KG, Schilling B, Murali R, Bielefeld N, Schwamborn M, Sucker A, et al. TERT promoter mutations are frequent in atypical fibroxanthomas and pleomorphic dermal sarcomas. Mod Pathol. 2014;27(4):502–8. Mod Pathol. 2018 Mar;31(3):418-428. doi: 10.1038/modpathol.2017.146. Epub 2017 Nov 3. Atypical fibroxanthoma and pleomorphic dermal sarcoma harbor frequent NOTCH1/2 and FAT1mutations and similar DNA copy number alteration profiles.
Griewank KG1,2, Wiesner T3, Murali R4, Pischler C5, Müller H6, Koelsche C7, Moller I1, Franklin C1, Cosgarea I1, Sucker A1, Schadendorf D1, Schaller J8, Horn S1, Brenn T9, Mentzel T6.