纤维结构不良
Fibrous dysplasia (FD)
概述:
常见的良性纤维骨性肿瘤,可呈孤立性或多中心性。
发病部位: 发生在单一骨或多个骨,长骨中肿瘤位于骨干骺端。孤立性肿瘤常发生在肋骨,其次是股骨、颌骨、颅骨及肱骨。多骨型肿瘤发生在股骨,其次是颅骨、胫骨、肱骨、肋骨、腓骨、尺骨、桡骨、下颌骨及脊椎。
诊断要点:
起病于儿童阶段,多数病例在青年发病,发病率尚不明确,单骨型 FD 是多骨型 FD 的 8-10 倍. FD 的恶性变罕见,主要集中在多骨型疾病或 McCune-Albright 综合征。
X 线显示髄内细长病变,常累及干骺端,骺端受累不常见,边缘界限清楚,边缘可呈硬化及环样表现,环与周围骨组织分界清晰。肿瘤常导致膨胀性骨重塑。
大体上肿瘤位于髄腔内,可引起骨的膨大;非对称性分布可导致隆起性病变。界限清楚,被宿主骨或反应性骨包绕,易与邻近皮质或松质骨分离,无软组织侵犯。实性或局灶囊性,灰白色,沙粒感,质韧或皮革样。皮质被侵蚀及变薄。少数病例可见灰色或珍珠白色软骨结节。肿瘤大小不一,可累及骨的整个长度,最大径< 1 cm 至> 10 cm。
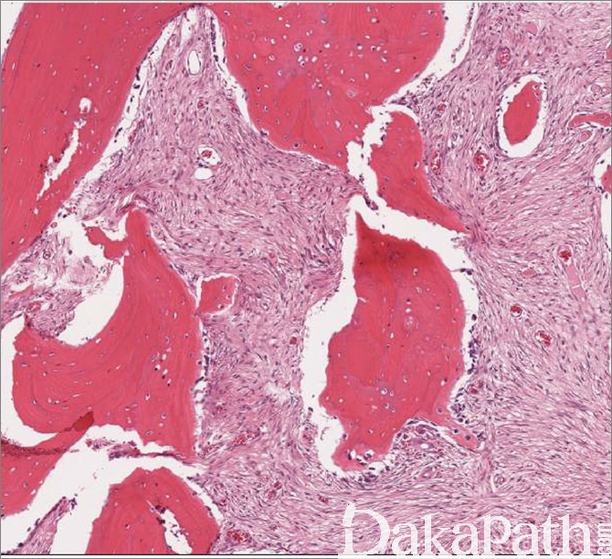
镜下由纤维样组织及骨小梁组成,纤维样组织中密度中等的梭形细胞呈席纹状排列,梭形细胞较温和,核呈锥形及不易辨认的嗜酸性胞浆,核分裂活性较低。
间质可呈水肿样及纤维黏液样改变,可见大量毛细血管。
编织骨小梁排列紊乱,不规则、曲线状排列,少数可见黏合线。编织骨之间无连续性,好像直接来自纤维组织,周围无明显的骨母细胞围绕,可出现大量的破骨细胞,胶原纤维可直接从纤维间质延伸至编织骨。
部分病例可见透明软骨岛,软骨周围围以骨
部分肿瘤,尤其是颅面骨,可见大量的骨形成,部分肿瘤显示囊性改变,类似动脉瘤样骨囊肿。
层状骨结构少见。
泡沫状组织细胞的聚集类似黄色瘤或纤维黄色瘤。
约 20%病例可见富于细胞的透明软骨结节,该病变被认为是纤维软骨结构不良,软骨可呈杂乱生长板样软骨。颅面骨病变可出现类似牙骨质的基质(在四肢病变中少见)。

免疫组织化学染色:
无诊断特异性标记,梭形细胞表达 vimentin 及不表达 keratin、EMA、MDM2 或 CDK4
鉴别诊断:
高分化骨肉瘤 :影像学显示破坏性边缘,缺乏硬化性边缘,组织上浸润性方式包绕先前层状骨小梁,比 FD 更富于细胞,显示更高程度的细胞异型性,偶见核分裂,细胞显示束状而非席纹状排列,核型分析显示染色体 12q13-15 的巨环形及标记染色体,免疫标记肿瘤细胞表达 MDM2 及 CDK4。
韧带样纤维瘤**:无骨成分,梭形细胞呈宽的、交叉束状排列。
骨纤维结构不良 :位于胫骨前皮质,其次位于腓骨。肿瘤的中心不位于髄腔,骨边缘可见丰富的骨母细胞,多数梭形细胞表达 EMA 及角蛋白。
骨折骨痂 :骨沉积具有一定方向性,骨小梁常平行于另一个,边缘可见活跃骨母细胞。
Paget 病 :与 FD 具有相似的解剖分布,主要见于老年人,可见层状骨的镶嵌模式,相应骨组织具有大量的黏合线,活动性改变可见大量破骨细胞及显著的成骨细胞。
非骨化性纤维瘤 :位于干骺端,偏心性及射线透过性,丰富梭形细胞席纹状排列伴散在多核巨细胞,缺乏肿瘤性骨。