骨肉瘤
Osteosarcoma (OSA)
概述:
伴肿瘤性骨形成的高级别恶性肿瘤
发病部位: 多数发生在长管状骨,发病频率由高到低依次为股骨远端、胫骨近端、肱骨近端;对于年长患者,常发生在骨盆及中轴骨骼;不足 10%发生在下颌骨及颅面骨。
诊断要点:
最常见的原发性恶性骨肿瘤,发病高峰为 10-20 岁,第二发病高峰 50 岁以上。临床表现逐渐增大的痛性肿块。
X 线显示浸润性及破坏性生长,位于长骨干骺端,界限欠清及缺乏硬化性边缘,侵犯皮质的混合溶骨性及成骨性病变及形成较大软组织肿块。皮质及被顶起的骨膜之间可见反应性编织骨形成,呈现洋葱皮样或辐射状,可见 Codman 三角。不足 10%的病变位于骨干。仅限于骺端的肿瘤罕见。
大体上常位于干骺端,但可累及骨任何部位,呈黄褐色至灰白色,有沙粒感。含有大量矿化时呈灰白色及质硬,非矿化软骨成分时呈灰色及发亮,富含黏液时可呈黏液感。可见出血及囊性变。肿瘤常破坏被覆的皮质及骨膜周围被偏心性或圆周状软组织成分取代。病变可累及关节腔。开放的生长板可起到有效的隔离。
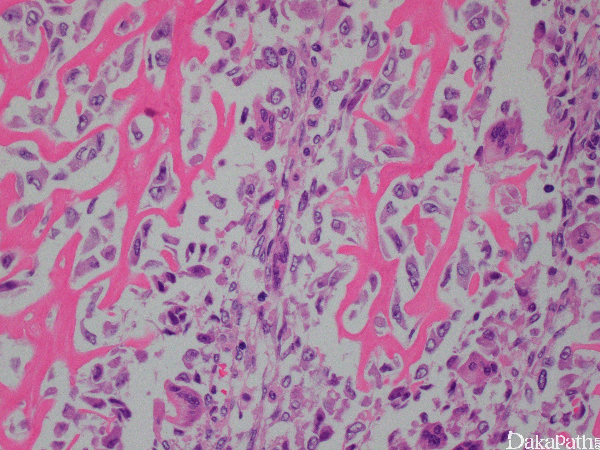
组织上高级别肉瘤可见上皮样、浆细胞样、纺锤形、卵圆形及小圆形细胞、透明细胞、单核或多核巨细胞或梭形细胞,肿瘤可直接产生骨基质,位于中心或偏心性深染的胞核,核仁显著,核分裂活跃伴不典型核分裂,不定量的嗜酸性胞浆。
肿瘤细胞与肿瘤性骨表面密切相关,被基质包绕后的肿瘤细胞不典型性减轻,体积变小,大量钙化时肿瘤细胞缺乏不典型性,该过程称为“正常化”。
肿瘤性骨多少不等,呈编织状结构,可见原始、杂乱小梁呈粗糙蕾丝样或片状融合的小梁。肿瘤性层状骨非常罕见。骨呈嗜酸性或嗜碱性及杂乱沉积的黏合线(类似 paget 样外观)。
若出现肿瘤性软骨,常为透明软骨,但亦可以黏液为主(尤其发生在颌骨)。恶性软骨细胞显示严重的细胞不典型性。
纤维母细胞灶表现为恶性梭形细胞鱼骨样或席纹状排列。
免疫组织化学染色可表现角蛋白及 EMA 阳性,软骨区域 S100 阳性,CD99 常阳性。

鉴别诊断:
纤维肉瘤 (恶性纤维组织细胞瘤):缺乏与肿瘤细胞直接邻近的骨形成。
骨折骨痂 :骨边缘可见骨母细胞,骨折部位显示纤维软骨,无不典型核分裂像,影像学常有助于鉴别。
骨母细胞瘤 :支持骨肉瘤的诊断包括宿主骨小梁浸润、肿瘤大于 5 cm、不典型核分裂、大量蕾丝样肿瘤性骨形成。骨母细胞瘤常衬覆相互连接的肿瘤骨小梁
软骨肉瘤 :软骨母细胞性骨肉瘤及部分颌骨骨肉瘤可缺乏骨。广泛取材可见局灶骨。伴显著不典型的软骨肿瘤高度疑为骨肉瘤。IDH1 或 IDH2 基因突变支持软骨肉瘤的诊断。
去分化软骨肉瘤 :可见低级别软骨及高级别肉瘤(去分化成分),去分化成分为骨肉瘤比较罕见。
骨化性肌炎 :可见明确带状分布,大体上及影像上周边矿化及中心缺乏,病变中央显示肉芽组织/结节性筋膜炎样,同时周边显示衬覆骨母细胞的编织骨,最外层可见成熟的层状骨。
巨细胞瘤 :病变周边常见反应性编织骨,巨细胞瘤中骨衬覆骨母细胞及无不典型肿瘤细胞。
转移性癌 :转移性乳腺及前列腺癌可引起成骨性反应,免疫组化有助于鉴别。
尤文肉瘤 :约 95%以上病例显示 EWSR1 基因重排。
奇异形骨旁骨软骨瘤样增生 :常手足短管状骨的表面,可见带状结构,表面的细胞性软骨帽及下方的编织骨。
动脉瘤样骨囊肿 :类似毛细血管扩张型骨肉瘤,囊壁细胞无严重不典型性。