甲状腺滤泡型乳头状癌
Thyroid Papillary Carcinoma,Follicular Variant
发病部位: 甲状腺
诊断要点:
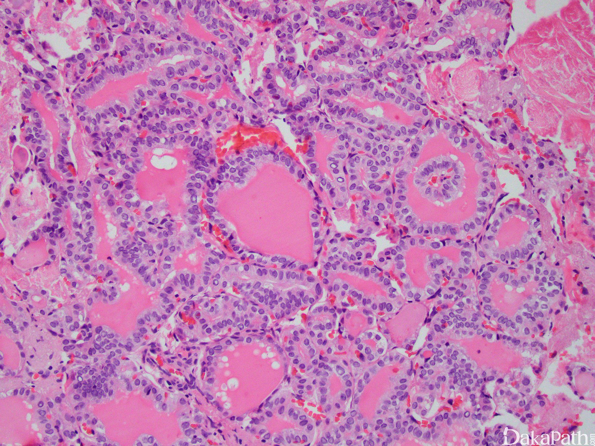
约 1/3 病例有包膜;
由小至中等大小、不规则形滤泡构成,滤泡中可见多少不定的胶质,呈强嗜酸性,扇面状;
形成滤泡的大多数上皮细胞含有大而透亮的核,并含核沟和核内假包涵体;
少数病例滤泡内可见到多核巨细胞;
偶见间质硬化和砂砾体;
有时在滤泡性结节中见到少数典型乳头状癌细胞,其临床意义尚不清楚,有学者建议诊断为“高分化肿瘤具有恶性倾向”,但这个名词术语的使用还没有普遍地被接受;
有包膜的滤泡性甲状腺癌有提议诊断为具有乳头样核特征的非浸润性甲状腺肿瘤。

免疫组织化学染色:
CK-19 强阳性,甲状腺转化因子-1(TTF-1)、galectin-3 和 HBME-1 常阳性,突触素(Syn)和铬粒素(Cg)阴性。
病例报道: