甲状腺滤泡性癌嗜酸细胞亚型

Thyroid Follicular Carcinoma,Oncocytic Variant

同义词(或曾用名): 甲状腺滤泡性癌、滤泡性腺癌、嗜酸细胞癌、Hurthle 细胞癌

概述:

是滤泡细胞源性恶性肿瘤,全部或大部分(75%)由嗜酸细胞构成。

发病部位: 甲状腺

诊断要点:

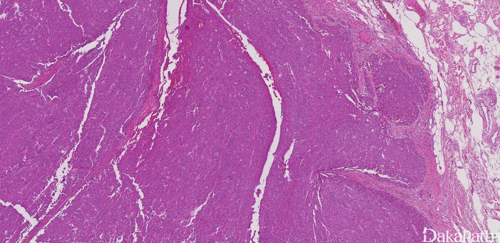
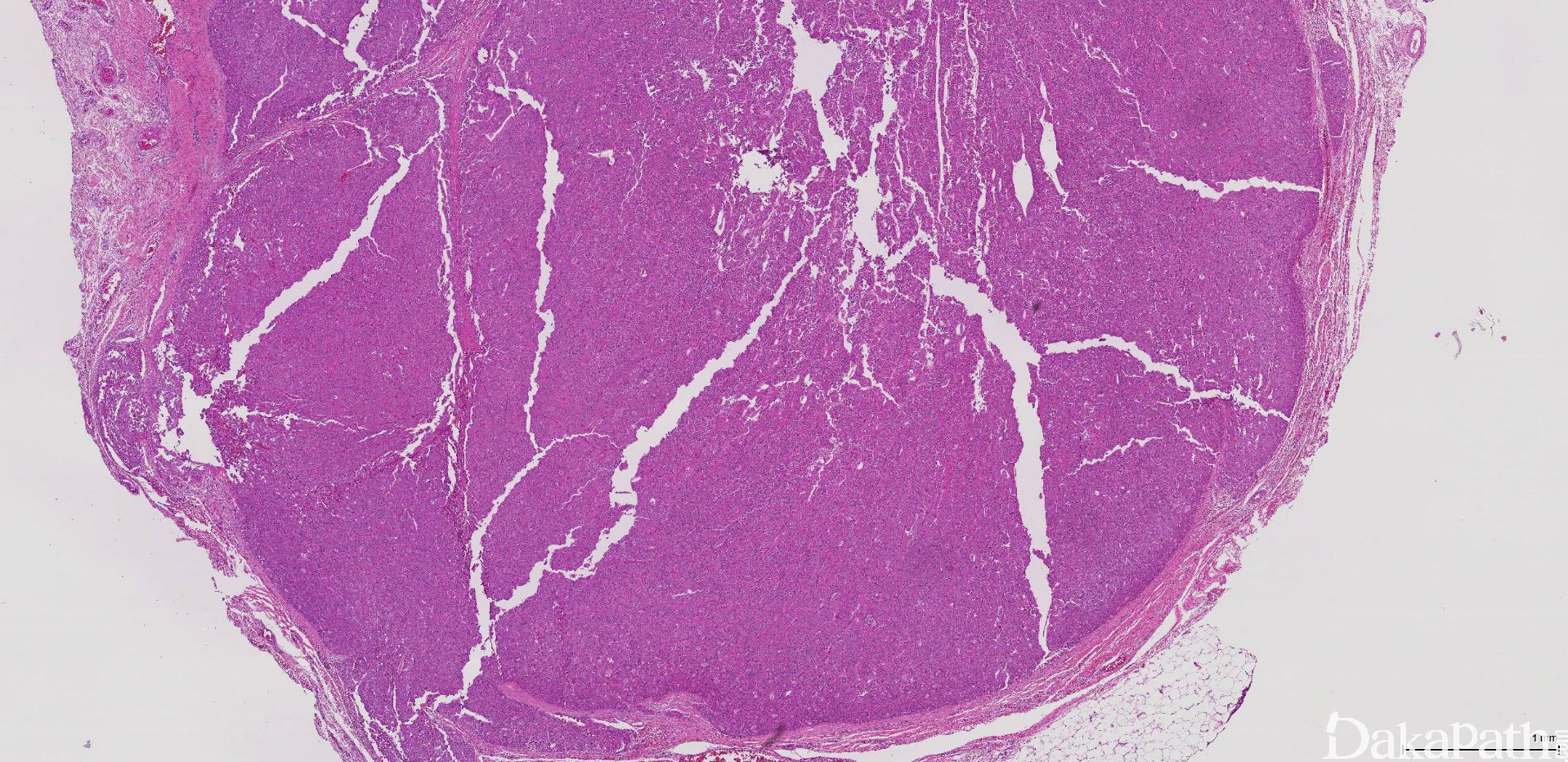
  1. 有不同的形态特征,从分化很好的滤泡结构到实性和/或梁状结构;

  2. 肿瘤细胞胞浆深嗜酸性颗粒状,细胞核浓染和多形,一般有显著的嗜酸性核仁;

  3. 胶质倾向于嗜碱,常伴同心圆钙化,很似砂砾体;

  4. 一些肿瘤可有显著的透明细胞变;

  5. 包膜和/血管侵犯是诊断的依据:

  6. 包膜侵犯要求穿透纤维性包膜,包膜内细胞巢或索不作为包膜侵犯的依据;

  7. 血管侵犯指包膜内或包膜外的血管侵犯;肿瘤细胞必须在血管腔内,且必须最少局部与血管壁相连,同时表面有内皮细胞覆盖或纤维素析出(或血栓形成)

  8. 根据包膜侵犯的程度,滤泡性癌分为两个亚型:微小浸润和广泛浸润,但目前没有统一的诊断标准,有学者建议肉眼不能识别的包膜浸润为微小浸润,肉眼能识别的浸润为广泛浸润。

免疫组织化学染色:

Tg 和 TTF-1 阳性, CK7 通常阳性,CK20 阴性。

鉴别诊断:

  1. 酸细胞性 髓样癌 :通常呈巢状或岛状排列的组织像,癌细胞呈多角形,核与内分泌核相似(圆形至椭圆形伴胡椒粉样染色质)。髓样癌 CgA、CT 和癌胚抗原 CEA 阳性,Tg 阴性等可与嗜酸细胞性滤泡癌鉴别。

  2. 甲状旁腺嗜酸细胞肿瘤 :与甲状旁腺肿瘤相反,嗜酸细胞性滤泡癌是 Tg、TTF-1 阳性,而甲状旁腺肿瘤呈甲状旁腺激素和 CgA 阳性,嗜酸细胞性滤泡癌则为阴性。

病例报道:

Changing the Cancer Diagnosis: TheCaseofFollicularVariantof PapillaryThyroidCancer-Primum Non Nocere and NIFTP.