甲状腺非浸润性具乳头状癌核特征的滤泡肿瘤
Thyroid Noninvasive Fpllicular Tumour With Nuclear Features Like Pappilary Carcinoma
同义词(或曾用名): 包裹性滤泡性甲状腺乳头状癌
概述:
具有完整包膜或界限清楚的滤泡性肿瘤,其细胞核具有乳头状癌的特征,有学者认为是乳头状癌的一个亚型,预后很好,5 年生存率 100%。
发病部位: 甲状腺
诊断要点:
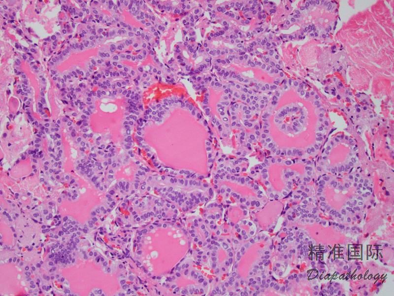
具完整的纤维性包膜或无包膜但界限清楚;
滤泡长而不规则,可以是微滤泡、正常滤泡或大滤泡;
无或很少乳头结构(乳头成分<1%);
可伴有实性、梁状、岛状生长方式,但一般不超过 30%;
细胞核和甲状腺乳头状癌核特征相似,核增大,重叠,卵圆形或短梭形,典型的核为清澈的或毛玻璃样,核形不规则,常 见核沟和核内假包涵体;
结节内常明显纤维化,无砂砾体;
无包膜侵犯,无淋巴管及血管侵犯,无肿瘤性坏死;
胶质深嗜伊红色伴周边吸收空泡;
部分病例滤泡腔内可见多核巨细胞。
注意:该肿瘤的诊断需要将肿瘤包膜或肿瘤与周围交接组织及肿瘤组织全部取材。无包膜浸润或浸润性边缘,无淋巴管及血管侵犯,且乳头成分小于 1%时方可诊断。

免疫组织化学染色:
CK-19 强阳性,甲状腺球蛋白(Tg)和甲状腺转化因子-1(TTF-1)阳性,galectin-3 和 HBME-1 常阳性,突触素(Syn)和铬粒素(CgA)阴性。
鉴别诊断:
甲状腺乳头状癌 :除了核特征外,有乳头状和/或滤泡结构,常界限不清或包膜侵犯,可有淋巴管、血管侵犯。而 NIFTP 没有包膜侵犯,没有淋巴管、血管的浸润,所有的 NIFTP 如果有乳头状结构存在的话,不应该超过 1%。
参考文献: