乳头状肾细胞癌
Papillary Renal Cell Carcinoma,PRCC
概述:
一种具有纤维血管轴心的乳头状或小管乳头状结构的肾实质恶性肿瘤。
发病部位: 肾脏
诊断要点:
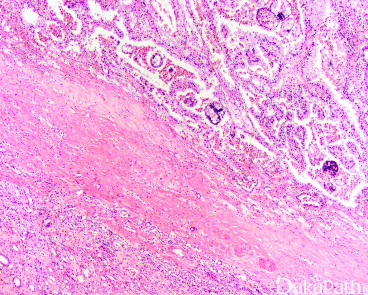
发病年龄广,儿童到老人均可发病,占所有肾细胞癌的比例约 15%,是仅次于透明细胞肾细胞癌第二常见的肾细胞癌亚型;肿瘤位于肾脏皮质,边界清楚,可有假包膜,可多灶,常伴出血、坏死、瘢痕及囊性变;瘤体直径平均 6.7cm;
镜下可见由具纤细的纤维血管轴心的乳头状结构及管状结构构成,纤维血管轴心可有泡沫状巨噬细胞、胆固醇结晶和砂粒体,偶尔纤维血管轴心因水肿或玻璃样变纤维组织而增宽;
部分可见肾小球样结构、微结节类似于顿挫的乳头状结构,部分病例以管状结构为主,或乳头拥挤似实性结构;
其他类型的肾细胞癌如 MiT 家族易位肾细胞癌、遗传性平滑肌瘤病肾细胞癌综合征相关性肾细胞癌、集合管癌、黏液性管状和梭形细胞癌等亦可显示局部的乳头状结构,但存在其他组织学特征以及不同的免疫表型和分子遗传学特点(见鉴别诊断);
常见出血和坏死,巨噬细胞内、间质和肿瘤细胞浆内可有含铁血黄素;
乳头状肾细胞癌有两种类型,部分病例可兼具两种形态特征:
1 型:乳头表面被覆小的立方状细胞,胞浆稀少嗜碱性,部分可表现为透明胞浆,单层排列,该型者多灶性病变常见;
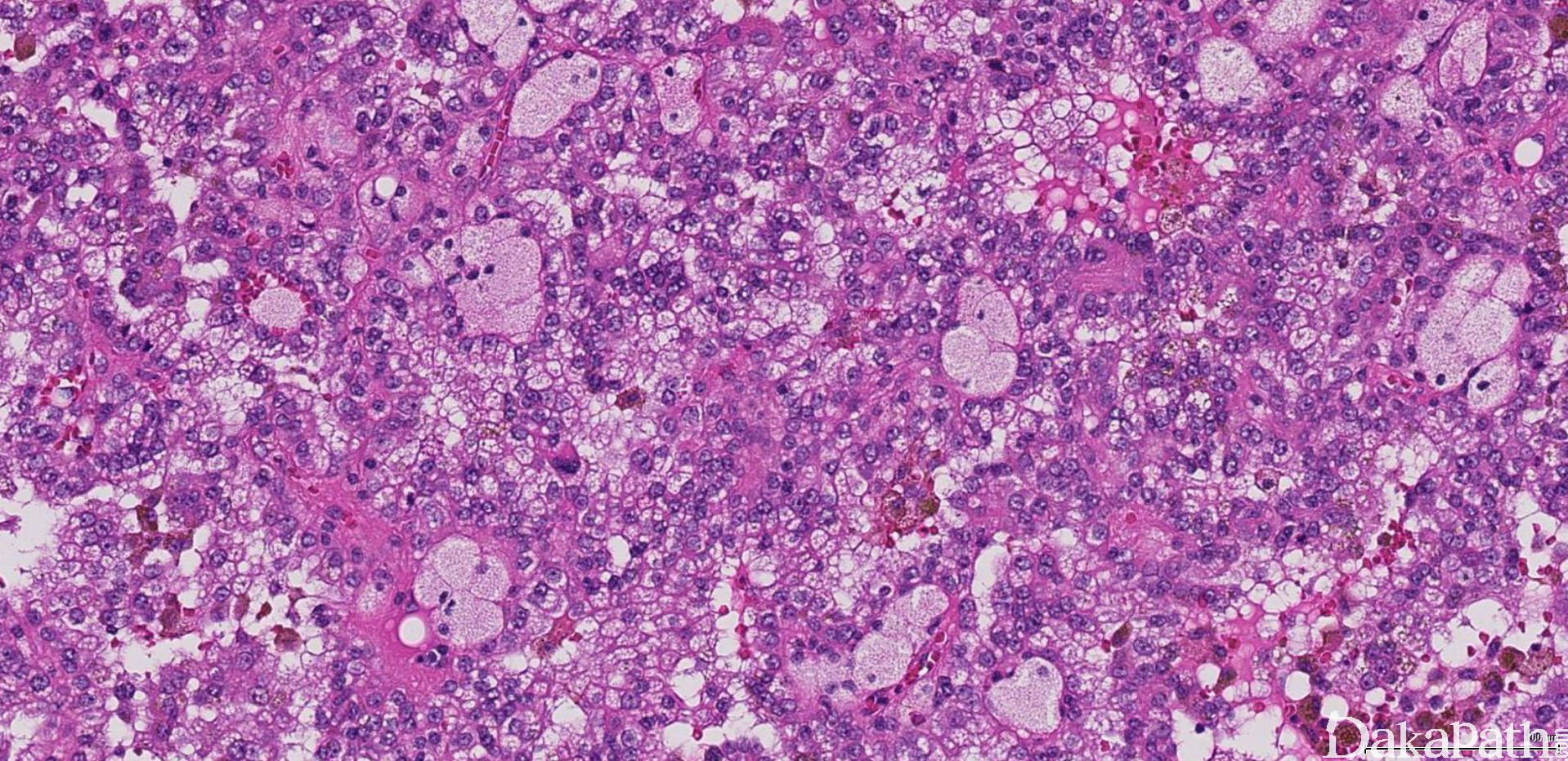
2 型:被覆瘤细胞呈假复层排列,胞浆丰富嗜酸性,核级别高可见明显的核仁;部分肿瘤具有丰富的分布均匀的细颗粒状嗜酸性胞浆,核低级别,呈单层线性朝向乳头表面或管状结构的腔面分布,呈嗜酸细胞瘤样,又称为嗜酸细胞性乳头状癌;局部可见明显的淋巴样间质浸润,组织学类似于 Warthin 瘤,又称为 Warthin 瘤样乳头状肾细胞癌;
部分 I 型乳头状肾细胞癌可伴有低级别的实性梭形细胞灶,类似于肉瘤样转化,但缺乏细胞的异型性和核分裂象以及坏死等特征。

免疫组织化学染色:
乳头状肾细胞癌 AE1/AE3 、CAM5.2. EMA、AMACR、RCC、CK7 常阳性,vimentin、S100 部分阳性,CD57. WT1. TFE3. TFEB、Cathepsin-K、CAIX、CD57. WT1 阴性。
分子标记:
7 号和 17 号染色体三体性,在男性存在 Y 染色体丢失,无染色体 3p 丢失
鉴别诊断:
MiTF 易位相关性肾细胞癌:主要是 TFE3 易位相关性肾细胞癌,患者年龄较轻,乳头被覆通常由胞浆丰富的嗜酸性瘤细胞和透明细胞混合而成,常见砂粒体钙化但罕见乳头轴心的泡沫样细胞聚集,免疫组化染色特征性的弥漫核表达 TFE3,表达 Cathepsin-k,遗传学上存在 TFE3 基因重排;
FH 缺陷型肾细胞癌(FH-RCC)和遗传性平滑肌瘤病和肾细胞癌综合征相关性肾细胞癌(HLCRCC-RCC):两者均与 FH 基因突变有关,前者为体细胞突变,后者为胚系突变,常伴随皮肤或子宫的多发性平滑肌瘤病,乳头结构被覆高级别嗜酸性瘤细胞类似于 2 型乳头状肾细胞癌,但瘤细胞具有特征性的嗜酸性包涵体样核仁和核仁周空晕,除了乳头状结构之外常见其他侵袭性的结构特征如肉瘤样结构、管囊状结构以及筛状结构等,免疫组化染色显示 FH 表达缺失,过表达 2SC;
管囊状肾细胞癌:可伴有少量的乳头状结构,但以扩张的小管和微囊结构为主,被覆高核级别的立方状或鞋钉样嗜酸性瘤细胞,免疫组化染色常表达 34be12,较少表达 CK7;
集合管癌:肿瘤的中心位于集合管,边界不清,呈弥漫的浸润性生长和促结缔组织增生的间质反应,无乳头状癌常见的包膜,乳头通常被覆鞋钉样瘤细胞;
透明细胞乳头状肾细胞癌:以透明细胞为主,可见特征性的类似于分泌性子宫内膜腺体的一致性核下空泡状结构,免疫组化染色杯口状表达 CAIX,不表达 AMACR;
透明细胞肾细胞癌伴有乳头状结构:乳头结构较局灶,背景为典型的透明细胞肾细胞癌结构,免疫组化染色弥漫膜表达 CAIX;较少表达 CK7
黏液小管状和梭形细胞肾细胞癌:可与 1 型乳头状肾细胞癌伴有低级别梭形细胞灶混淆,但黏液小管和梭形细胞肾细胞癌可见间质不同程度的黏液变性,免疫组化染色两者存在明显的重叠,黏液小管和梭形细胞癌无 7 和 17 号染色体三体性和 Y 染色体丢失;
后肾腺瘤:无纤维性包膜,以致密的小管状结构为主,瘤细胞胞浆较 1 型乳头状肾细胞癌稀少,核更深蓝,无间质泡沫细胞聚集,免疫组化染色表达 Cadherin-17 和 CD57 和 WT1,遗传学上存在 BRAFV600E 突变;
上皮为主型肾母细胞瘤:可以实体性 1 型乳头状肾细胞癌混淆,瘤细胞更幼稚,呈柱状垂直于乳头生长,核分裂象较多,罕见间质泡沫细胞聚集,至少局灶可见不成熟的胚芽结构,免疫组化染色弥漫表达 WT1;
嗜酸细胞腺瘤:可与嗜酸细胞乳头状肾细胞癌混淆,嗜酸细胞腺瘤无真性的乳头状结构形成,免疫组化染色不或仅局灶表达 CK7,膜表达 CD117;
治疗:
手术切除
病例报道:
Metachronous bladder metastases of a type 2papillary renal cell carcinoma: acasereport and review of the literature.
参考文献:
Moch H, Humphery PA, Ulbright TM, Reuter V, eds. WHO Classification of the Tumours of the Urinary System and Male
Genital Organs (Chapter 1). Geneva, Switzerland: WHO Press, World Health Organization; 2016:23–25. Amin MB, Corless CL, Renshaw AA, et al. Papillary (chromophil) renal cell carcinoma: histomorphologic characteristics
and evaluation of conventional pathologic prognostic parameters in 62 cases. Am J Surg Pathol. 1997;21:621–635. Delahunt B, Eble JN. Papillary renal cell carcinoma: a clinicopathologic and immunohistochemical study of 105 tumors. Mod Pathol. 1997;10:537–544. Argani P, Netto GJ, Parwani AV. Papillary renal cell carcinoma with low-grade spindle cell foci: a mimic of mucinous tubular and spindle cell carcinoma. Am J Surg Pathol. 2008;32:1353–1359. Ren Q, Wang L, Al-Ahmadie HA, et al. Distinct genomic copy number alterations distinguish mucinous tubular and spindle cell carcinoma of the kidney from papillary renal cell carcinoma with overlapping histologic features. Am J Surg Pathol. 2018; 42:767-777. Mantoan Padilha M, Billis A, Allende D, et al. Metanephric adenoma and solid variant of papillary renal cell carcinoma: common and distinctive features. Histopathology. 2013;62:941–953. Skenderi F, Ulamec M, Vanecek T, et al. Warthin-like papillary renal cell carcinoma: morphologic, immunohistochemical and molecular genetic analysis of 11 cases. Ann Diagn Pathol. 2017;27:48–56. Ohe C, Smith SC, Sirohi D, et al. Reappraisal of morphologic differences between renal medullary carcinoma, collecting duct carcinoma, and fumarate hydratase-deficient renal cell carcinoma. Am J Surg Pathol. 2018;42:279–292.