伴有极向反转的乳头状肾肿瘤
Papillary Renal Neoplasm With Reverse Polarity
概述:
一种良性或惰性的乳头状肾肿瘤伴有丰富而纤细的嗜酸性胞浆和反转的、位于细胞顶端的核
发病部位: 肾脏
诊断要点:
罕见,占所有乳头状 RCC 的 4%,多见于中老年人(46-80 岁),无男女好发倾向,肿瘤直径 0.6-3.0cm(平均 1.6cm,中位 1.4cm);
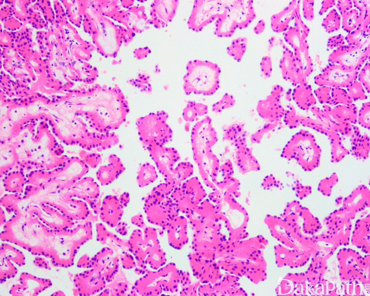
肿瘤界限清楚,大部分具有纤维性包膜;
低倍镜下肿瘤主要由具有纤维血管轴心纤细的乳头状结构组成,伴有多少不等的管状结构;偶尔可见较厚的乳头或纤维血管轴心伴有玻璃样变性,以及囊性扩张的乳头;
乳头被覆单层立方状肿瘤细胞,具有丰富的嗜酸性颗粒状胞浆,部分可见胞浆内空泡,肿瘤细胞具有特征性的核,核位于远离基底膜的瘤细胞的胞浆顶端,乳头或小管腔面平滑;
核大小较一致,无重叠,轮廓规则,偶见核透明、核固缩或轻度不规则,核仁不明显(WHO/ISUP 核分级:1-2 级);
无砂粒体沉积、细胞内含铁血黄素沉积、核分裂象、肿瘤性坏死以及呈簇的泡沫细胞聚集。

免疫组织化学染色:
弥漫表达 GATA3 和 L1CAM,多数不同程度表达 MUC1, CD10,AE1/3 和 CK7,少数可不同程度表达 AMACR,不表达 CD117 和 Vimentin。
分子标记:
90%左右可见 KRAS 基因突变,1/3 分别可见 7 和 17 号染色体三体性,17%男性患者可见 Y 染色体缺失,无 3p 缺失
鉴别诊断:
乳头状肾细胞癌 1 型或 2 型:胞浆稀少或核复层化,无胞浆顶端分布的核,可见砂粒体、含铁血黄素沉积、肿瘤性坏死、呈簇的泡沫细胞聚集等特征可资鉴别。免疫组化染色多表达 VIMENTIN 和 AMACR,不表达 GATA3,无 KRAS 基因突变。
预后:
良性或惰性
治疗:
部分肾脏切除
参考文献:
Am J Surg Pathol. 2019 May 22. doi: 10.1097/PAS.0000000000001288. [Epub ahead of print]
Papillary Renal Neoplasm With Reverse Polarity: A Morphologic, Immunohistochemical, and Molecular Study.
Al-Obaidy KI1, Eble JN1, Cheng L1, Williamson SR2, Sakr WA3, Gupta N2, Idrees MT1, Grignon DJ1. ####
Mod Pathol. 2020 Jan 17. doi: 10.1038/s41379-019-0420-8. [Epub ahead of print]
Recurrent KRAS mutations identified in papillary renal neoplasm with reverse polarity-a comparative study with papillary renal cell carcinoma.
Kim SS1, Cho YM2, Kim GH2, Kee KH3, Kim HS4, Kim KM5, Kim JH6, Choi C7.
← 肾黏液小管状和梭形细胞癌 肾集合管癌 →