低度恶性潜能多房囊性肾肿瘤
Multilocular cystic renal neoplasm of low malignant potential
同义词(或曾用名): 多囊性肾细胞癌
概述:
完全由囊腔构成的肿瘤,囊腔间隔内有小灶状透明细胞,形态上与低级别透明细胞肾细胞癌不能区别,无复发及转移报道。
发病部位: 肾脏
诊断要点:
占肾细胞癌不足 1%,主要发生于中年(平均年龄约 52 岁),绝大多数无症状为偶然检查发现;影像学上常表现为 Bosniak II 级或 III 级;
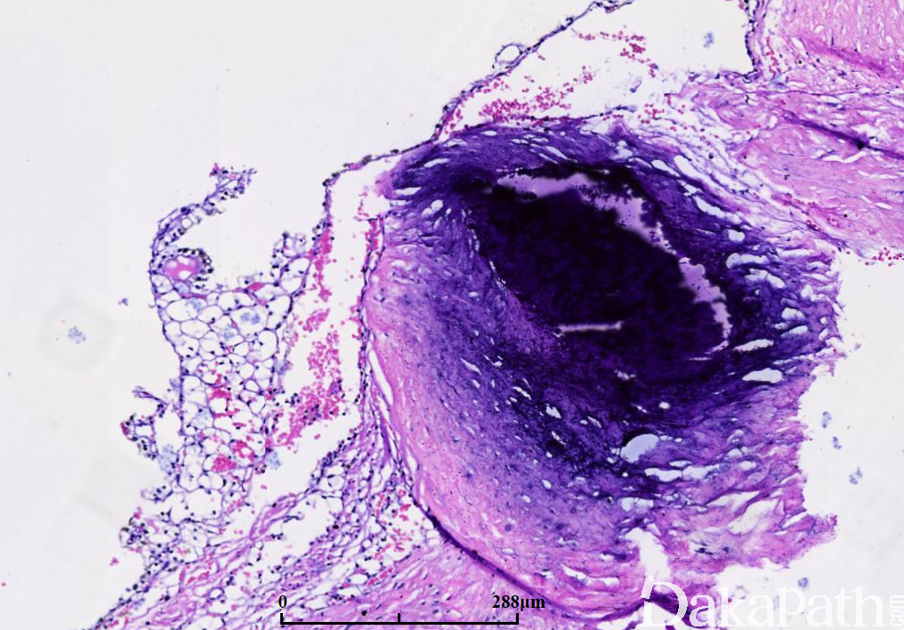
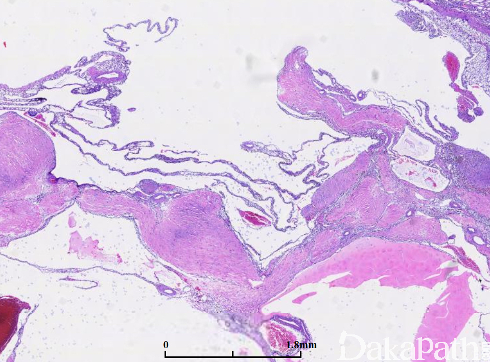
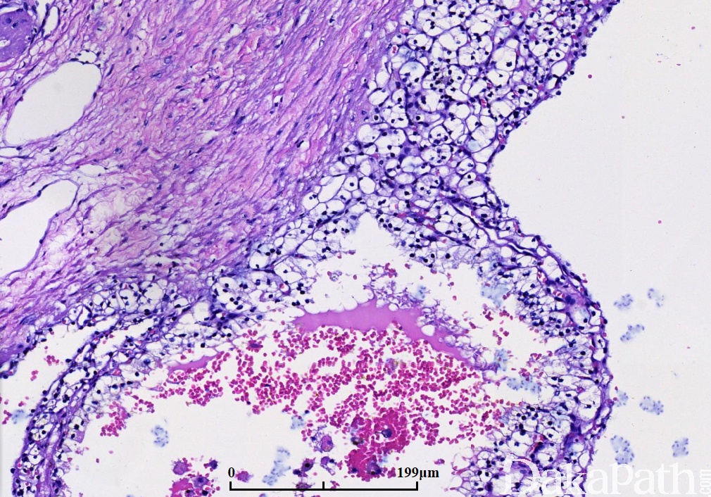
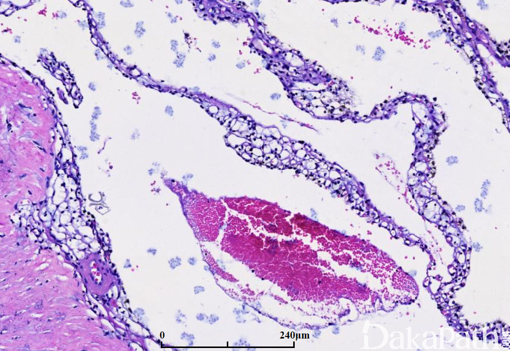
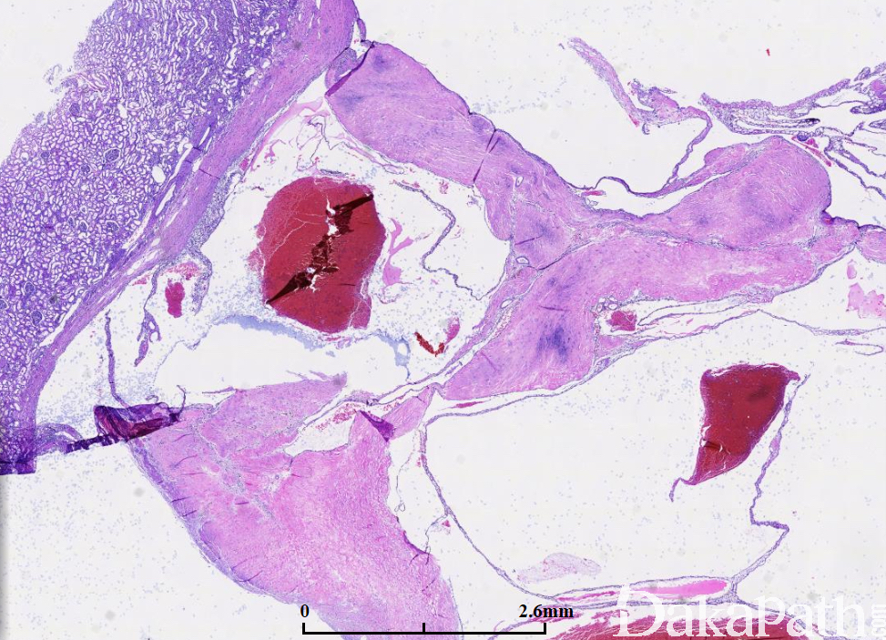
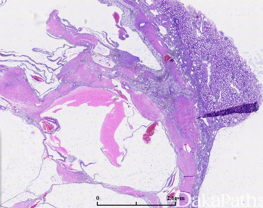
平均直径 4-7cm,大体检查肿瘤有包膜,完全由大小不等的囊腔组成,囊内充以浆液性或血性液体,囊间隔窄偶见钙化,肉眼可见的实性囊壁结节应排除该肿瘤的诊断;
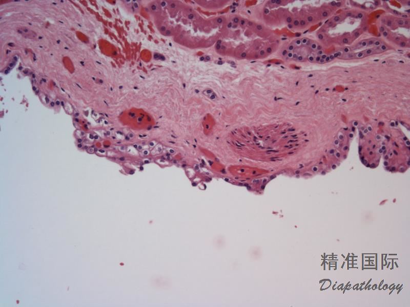
多数囊腔内衬覆单层上皮,细胞胞质透明或淡染,细胞核小而圆,染色质深染而致密,无核仁或小核仁(1-2 级);
有时内衬上皮脱落、消失,偶见内衬复层上皮,或有小乳头;
囊腔间隔由纤维组织构成,常有致密的胶原,部分间隔内可见灶状透明细胞,这些细胞与囊腔的内衬上皮相似,呈小灶状或簇状聚集,不形成大的结节,似组织细胞或淋巴细胞,周围有收缩的人工假象; 6.20%以上病例间隔内有钙化,偶见骨化生;
肿瘤性坏死、血管侵犯及肉瘤样转化应排除该肿瘤的诊断。

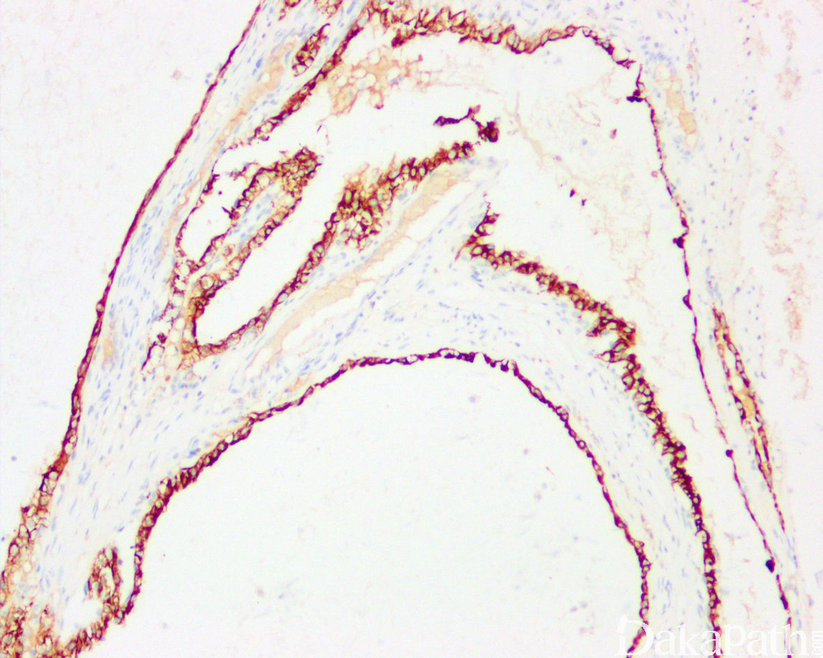
免疫组织化学染色:
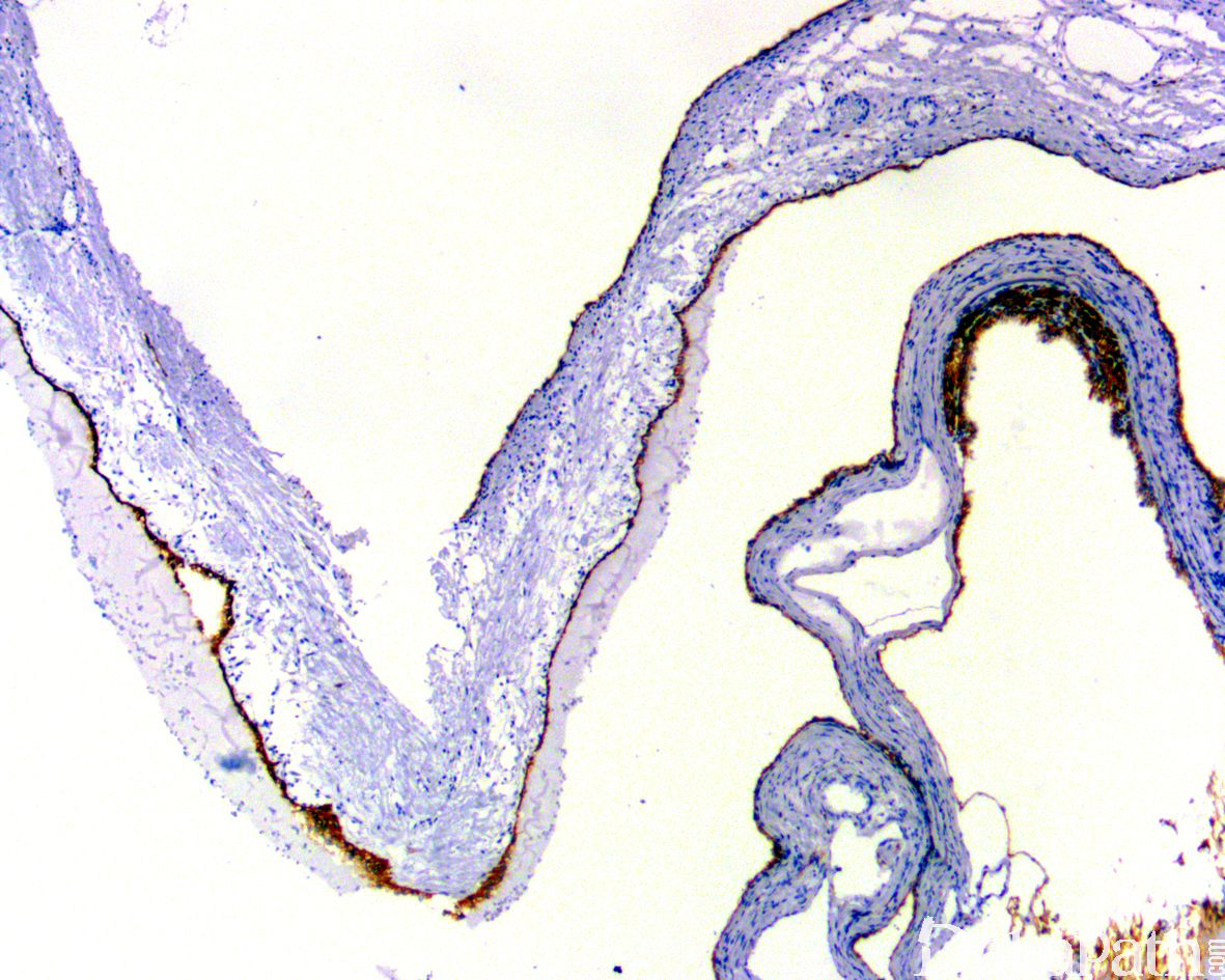
PAX8 和 CAIX 强阳性,CK 和 EMA 阳性,CD10 局灶或弱阳性,CK7 部分阳性,cyclinD1. ck34be12 和组织细胞标记物阴性。
分子标记:
与透明细胞细胞肾细胞癌相似存在 3p 丢失
鉴别诊断:
管囊性肾细胞癌 :被覆是高核级的嗜酸性瘤细胞
囊性结构为主的 透明细胞乳头状肾细胞癌:多见囊内的乳头状突起,CK7 和 ck34be12 弥漫阳性,CD10 阴性,CAIX 杯口状阳性;
囊性肾瘤:绝大多数见于围绝经期女性,囊肿被覆立方状上皮,间隔可见致密的卵巢样间质表达 ER 和 PR
肾细胞癌坏死囊性变:存在实性的膨胀性透明细胞结节;
良性肾皮质多房囊肿:不形成包膜完整的肿块,囊壁被覆细胞不表达 CAIX。
预后:
良性,完全切除无复发和转移潜能
治疗:
部分肾脏切除
病例报道:
Menon P, Rao KLN, Saxena AK, et al. Multilocular cystic renal cell carcinoma in a child. J Pediatr Surg 2004;39:e14-e16. 参考文献:
Williamson SR, Halat S, Eb1e JN, et al. Multilocular cystic renal cell carcinoma similarities and differences in immunoprofile with clear cell renal cell carcinoma. Am J Surg Pathol 2012;36:1425-1433. Halat S, Eb1e JN, Grignon DJ, et al. Multilocular cystic renal cell carcinoma is a subtype of clear cell renal cell carcinoma. Mod Pathol 2010;23:931-936. Suzigan S, L()pez Beltran A, Montironi R, et al. Multilocular cystic renal cell carcinoma, a report of 45 cases of a kidney tumor of low malignant potential. Am J Clin Pathol 2006; 125:217-222.