囊性部分退变性透明细胞肾细胞癌
Cystic partially regressed clear cell renal cell carcinoma
同义词(或曾用名): 透明细胞肾细胞癌伴广泛囊性变
概述:
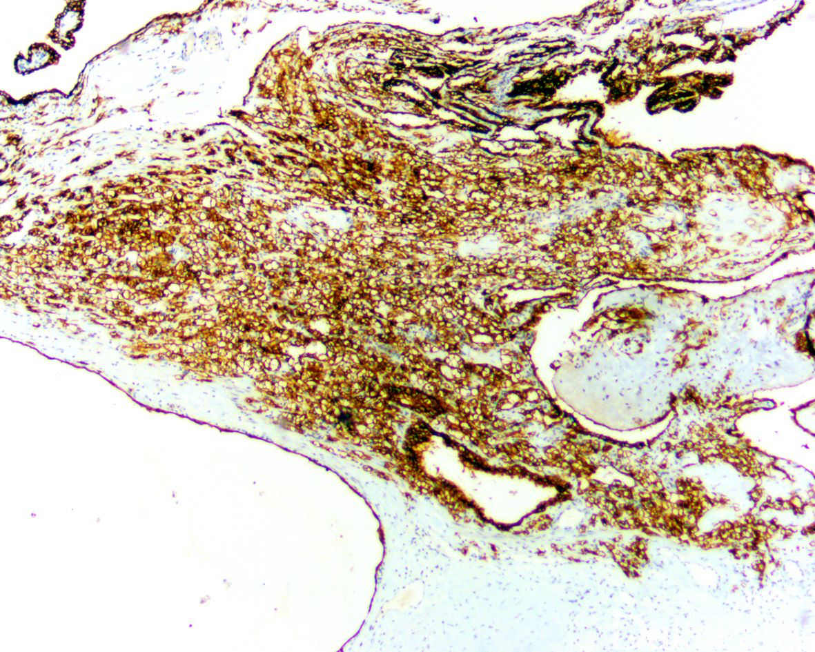
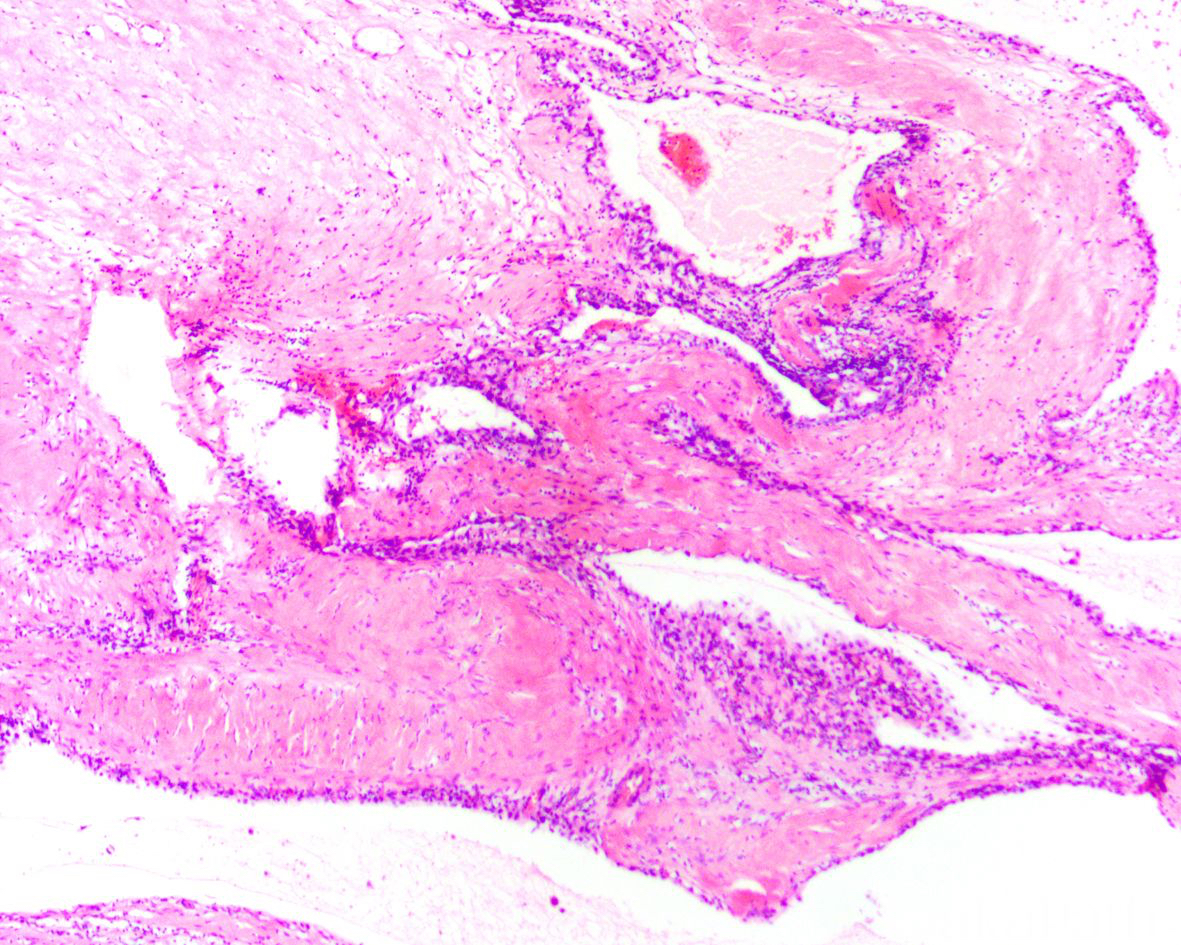
显示广泛囊性变和硬化性间质的透明细胞肾细胞癌
发病部位: 肾脏
诊断要点:
1, 少见,属于透明细胞肾细胞退行性变的一种表现形式;
2,组织学上由多少不等的囊肿、硬化性间质以及实性透明细胞巢组成,以前两者为主;
3,囊肿被覆透明细胞,低倍镜下类似于低度恶性潜能多房囊性透明细胞肾肿瘤;硬化性间质可表现为富于肌纤维母细胞样间质伴含铁血黄素沉积(类似于肉芽组织)或疤痕样少细胞硬化性间质伴丰富的毛细血管网类似于毛细血管瘤,常见慢性炎细胞浸润,部分可见营养不良性钙化或骨化;实性透明细胞巢或单个散在的透明细胞常位于囊肿的间隔内或硬化性间质之中,有时需要免疫组化染色予以识别;
4,透明细胞的核级别多数为 ISUP1 或 2 级,少数为 3 级,无凝固性坏死。

免疫组织化学染色:
透明细胞表达 PAX8,CK7,CK 和 CAIX
分子标记:
同透明细胞肾细胞癌
鉴别诊断:
低度恶性潜能多房囊性透明细胞肾肿瘤:完全由囊肿组成,囊肿被覆透明细胞核级别低(ISUP 核分级 1-2 级),无富于纤维母细胞和疤痕样硬化性间质,无实性透明细胞巢;
广泛囊性坏死型透明细胞肾细胞癌:肿瘤绝大多数表现为凝固性坏死,偶见残存的小灶透明细胞。
预后:
绝大多数分期为 pT1 期,罕见复发和转移
治疗:
部分肾脏切除或肾脏根治切除
参考文献:
Williamson S R , Maclennan G T , Lopez-Beltran A , et al. Cystic partially regressed clear cell renal cell carcinoma: a potential mimic of multilocular cystic renal cell carcinoma[J]. Histopathology, 2013, 63(6):767-779.