琥珀酸脱氢酶缺陷性肾细胞癌
Succinate Dehydrogenase-Deficient Renal Cell Carcinoma
概述:
肾脏恶性上皮性肿瘤,表现为胞浆嗜酸性空泡状或透明,免疫组织化学染色显示琥珀酸脱氢酶(SDH)缺失。
发病部位: 肾脏
诊断要点:
1,SDH-RCC 罕见,占所有 RCC 的比例为 0.05-0.2%;肿瘤好发于年轻成人(14-76 岁,平均年龄 38 岁,中位年龄 35 岁),男性稍多见,男女比约 1.8:1。
2,临床上肿瘤常为体检偶然发现,有时表现为腹痛;大多数肿瘤局限于器官内,偶尔可以转移作为首发表现。患者及其家属可同时罹患副节瘤,SDH 缺陷的 GIST 或 RCC 等。
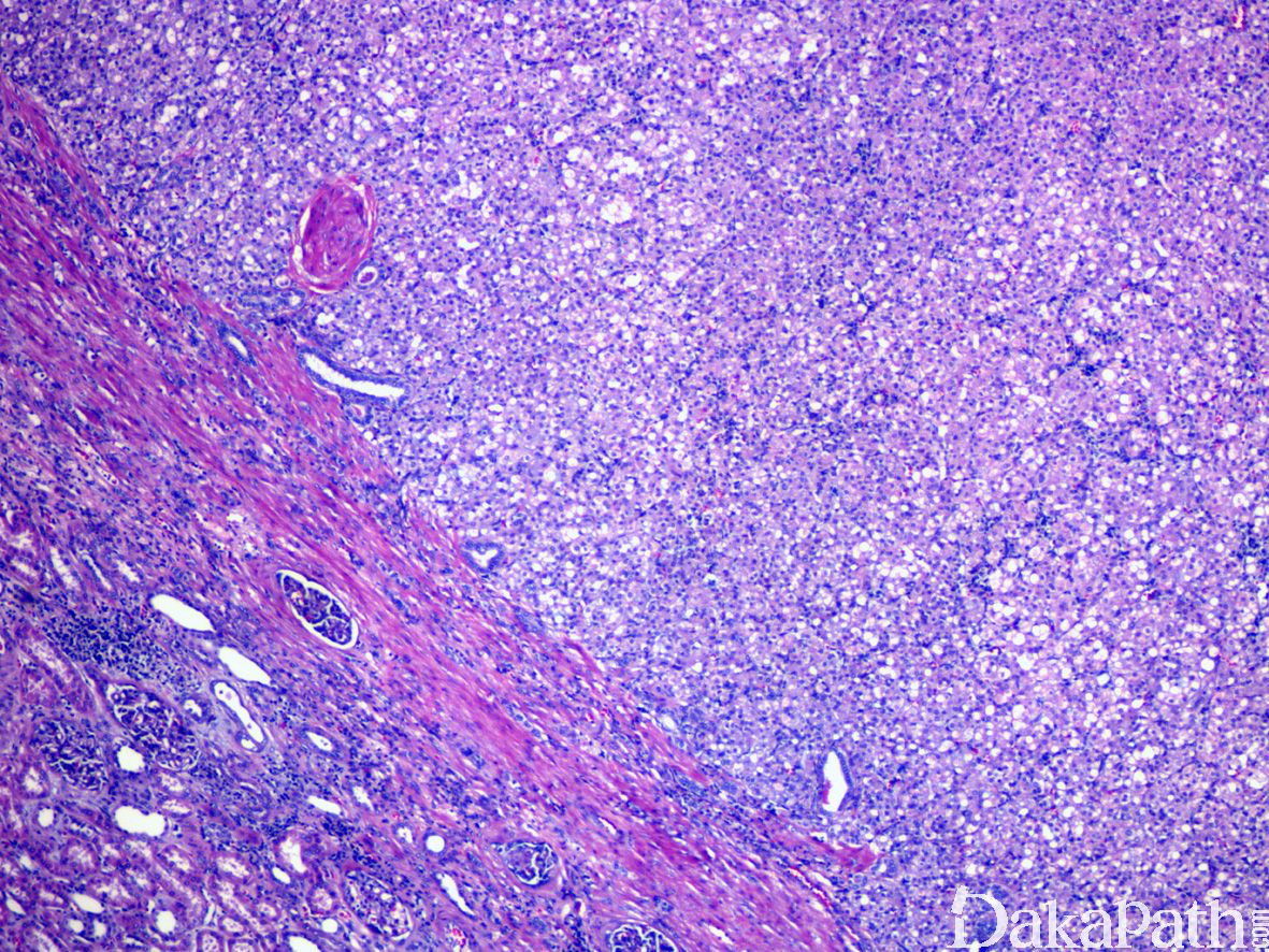
3,大体上,肿瘤通常境界清楚,切面灰红灰白,实性为主常伴有不同程度的囊性变, 30%的病例多灶或双侧发生。
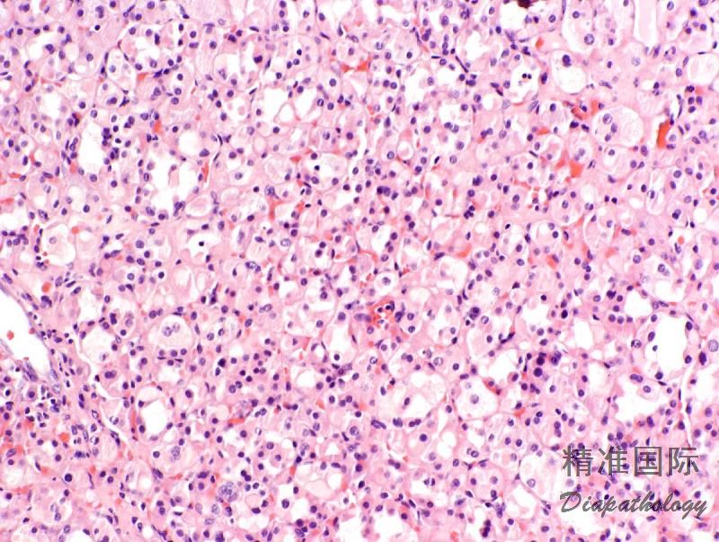
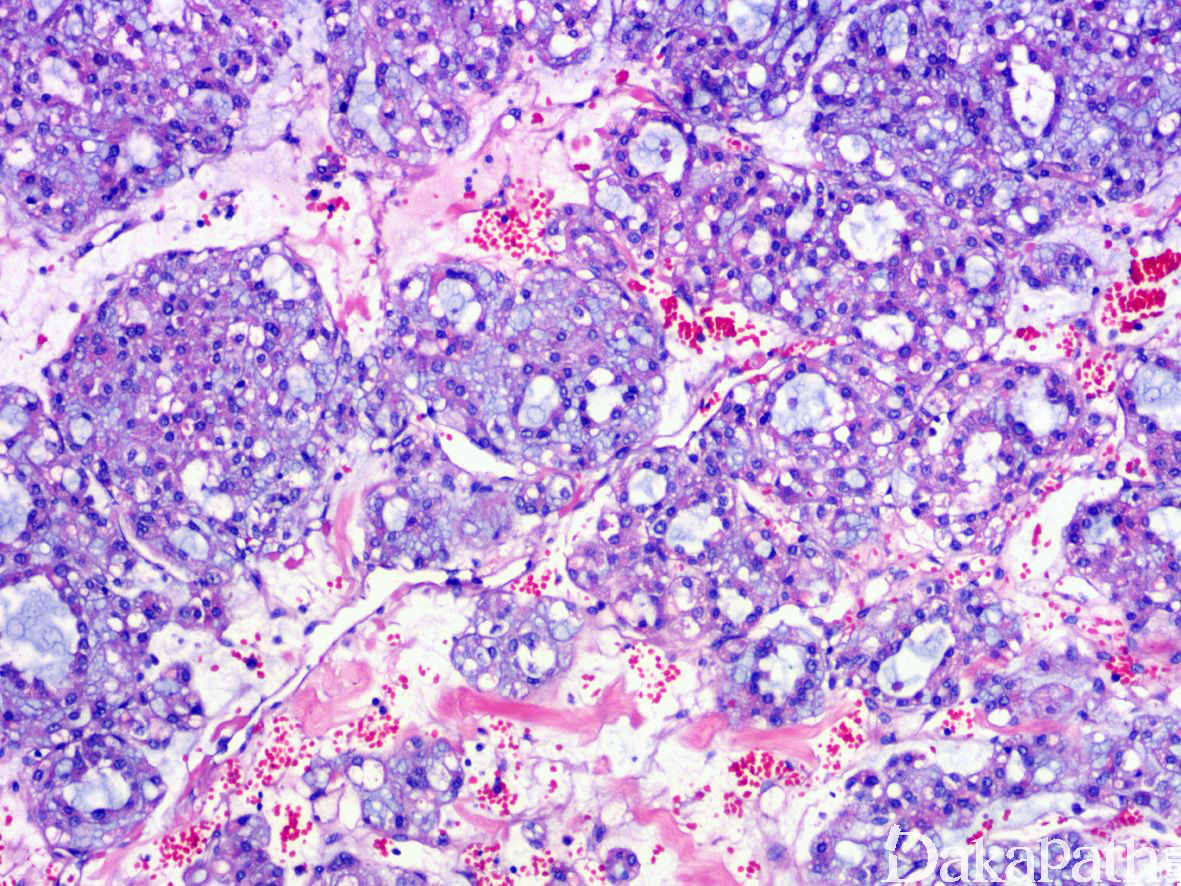
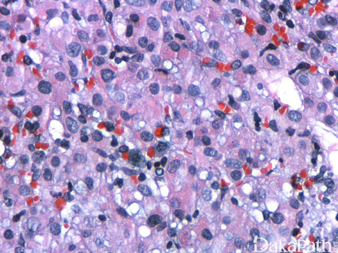
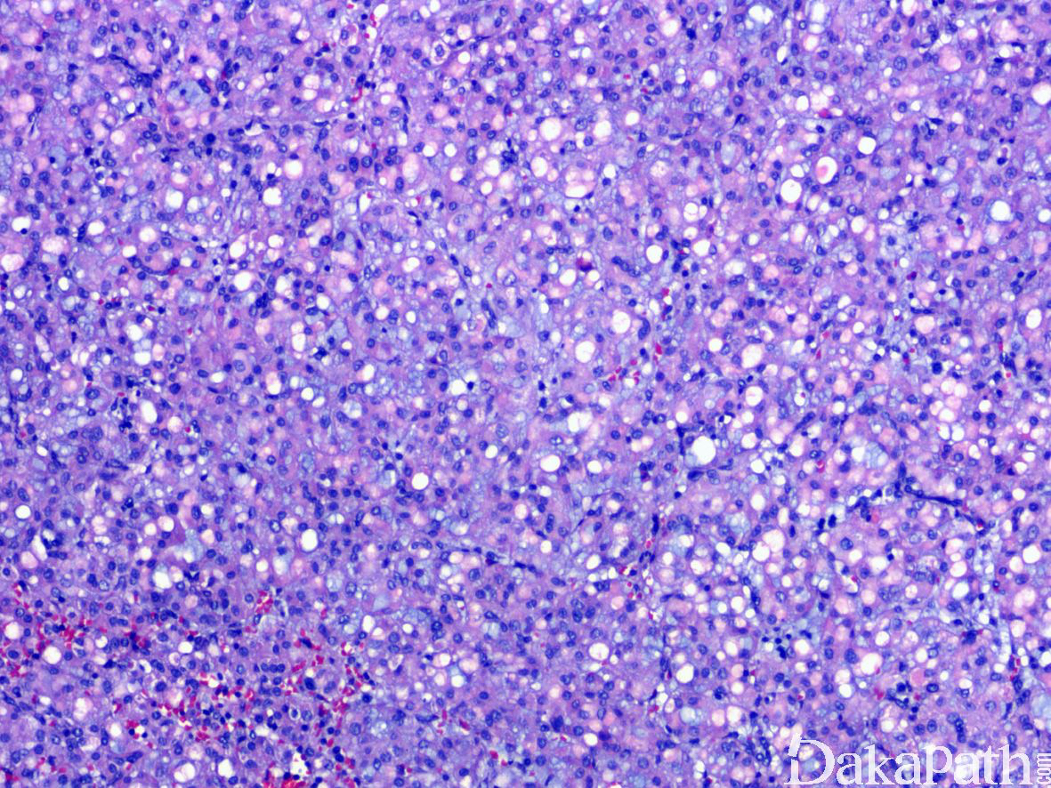
4,形态学上肿瘤一般界限较清楚部分带包膜,整体上呈分叶状或推挤状状生长,周边常见内陷的良性肾小管,常表现为不规则分支和乳头状结构。瘤细胞以实性、巢状排列为主,常见不同程度的微囊或多囊性扩张以及小管形成,偶尔可见乳头状生长结构。瘤细胞胞浆丰富,嗜酸性,SDH-RCC 最具特征性的组织学表现为胞浆内存在半透明的包涵体,内含嗜酸性或浅染的絮状物质,当这一改变显著时可造成肿瘤明显的空泡状低倍观。
5,肿瘤细胞核形态通常较温和,具有神经内分泌样的染色质,Fuhrman 核分级一般为 1 级或 2 级,偶尔可表现为高级别形态或肉瘤样转化。在高级别肿瘤中,SDH-RCC 特征性的胞浆内包涵体可能并不明显,需要广泛的取材仔细的寻找。肿瘤间质一般比较稀少,常见不同程度的水肿或出血,背景内可见较多量的肥大细胞浸润。

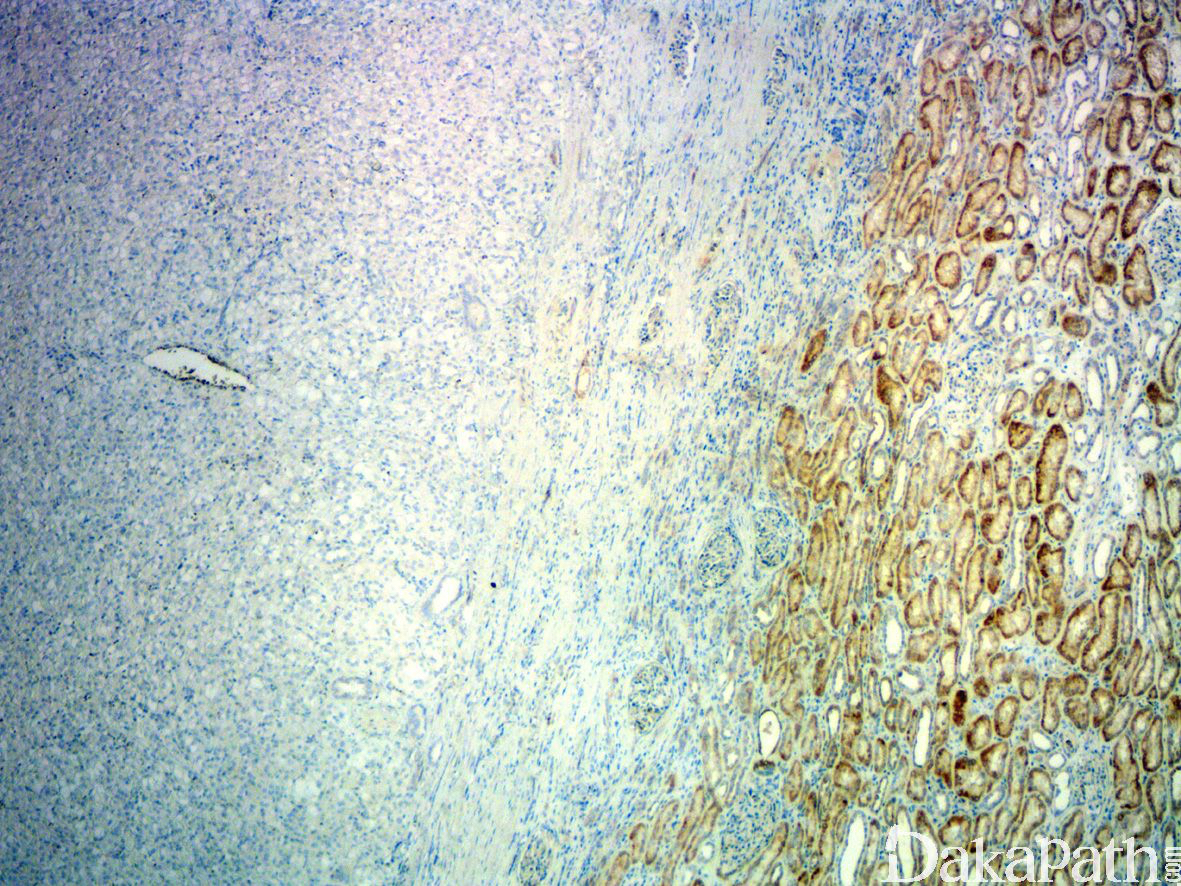
免疫组织化学染色:
诊断 SDH-RCC 需要存在 SDHB 的免疫染色丢失,在判读 SDHB 免疫组化表达时需要与周围的正常组织作比较,只有周围组织对照阳性且肿瘤细胞完全阴性时才能判读为 SDHB 表达丢失。罕见的情况下,当 SDH-RCC 与 SDHA 基因突变相关时,肿瘤除了 SDHB 表达缺失之外,SDHA 免疫组化表达也缺失。SDH-RCC 弥漫表达 PAX-8 和肾特异性粘附蛋白,仅 30%表达广谱 CK,不表达 CK7,C-KIT, E-cadherin, 波形蛋白,CD10 等
分子标记:
SDH 基因突变(SDHB 最常见,75%,其次是 SDHC,SDHD,SDHA)
鉴别诊断:
SDH-RCC 需要与嗜酸细胞性嫌色型 RCC,嗜酸细胞腺瘤以及杂交瘤等肿瘤鉴别诊断,仔细的形态学观察寻找特征性的胞浆内半透明絮状包涵体,再辅以 SDHB 的免疫组化标记通常可将 SDH-RCC 与这些形态学类似的肿瘤区分开来
预后:
大多数的(75%)SDH-RCC 为低核级,缺乏凝固性坏死,肿瘤局限于器官内,长期预后较好,转移率约 11%;少数(25%)为高核级肿瘤,常见凝固性坏死,长期预后较差,转移率可达 70%
治疗:
手术切除治疗,SDH-RCC 的患者临床上需要长期随访,并随时监控是否存在与 SDH 突变相关的其它肿瘤(如副节瘤,2 型 GIST,垂体腺瘤等)
病例报道:
Review ofsuccinatedehydrogenase-deficientrenal cell carcinomawith focus on clinical and pathobiological aspects.
参考文献:
[1] Gill AJ. Succinate dehydrogenase (SDH) and mitochondrial driven neoplasia[J]. Pathology. 2012;44:285-292. [2] Gill AJ, Pachter NS, Chou A, et al. Renal tumors associated with germline SDHB mutation show distinctive morphology[J]. Am J Surg Pathol. 2011;35:1578-1585. [3] Gill AJ, Hes O, Papathomas T, et al. Succinate dehydrogenase (SDH)-deficient renal carcinoma: a morphologically distinct entity: a clinicopathologic series of 36 tumors from 27 patients[J]. Am J Surg Pathol. 2014;38:1588-1602. [4] Williamson SR, Eble JN, Amin MB, et al. Succinate dehydrogenase deficient renal cell carcinoma: detailed characterization of 11 tumors defining a unique subtype of renal cell carcinoma[J]. Mod Pathol. 2014;28:80-94. [5] 赵明,杨泽然,张欣,张大宏,何向蕾. 琥珀酸脱氢酶 B 缺陷相关的肾细胞癌一例. 中华病理学杂志 . 2016;45(11):799-800.
← 肾髓质癌