管囊性肾细胞癌
tubulocystic renal cell carcinoma, TCRCC
概述:
管状囊性肾细胞癌(tubulocystic renal cell carcinoma, TCRCC)是一种完全由管状和囊性结构构成的肾细胞癌,在 2016 年世界卫生组织(WHO)分类中正式收录为肾细胞癌的一种独立亚型。
发病部位: 肾脏
诊断要点:
罕见,占所有肾细胞癌的比例不到 1%;男女比约 7 比 1,发病年龄 30 ~ 94 岁,平均年龄约 58 岁。
临床表现非特异,常见症状包括腹痛和血尿,约 60%为体检或其它检查偶然发现,偶尔可发生于终末期肾病(ESRD)患者。
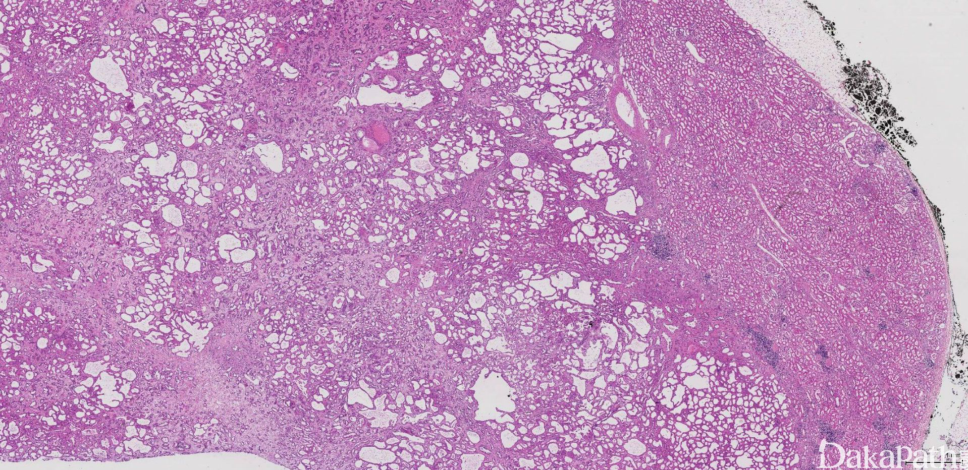
大体检查约 70%的 TCRCC 发生于左肾,通常位于肾皮质或皮髓质交界处,多为单发,肿瘤界限清楚,包膜完整;切面灰白色,呈大小不等的多房囊性,囊壁菲薄,状似“塑胶纸”。瘤体直径 0.7 ~ 17cm(平均约 4.2cm)。
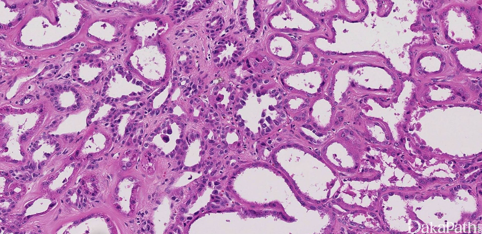
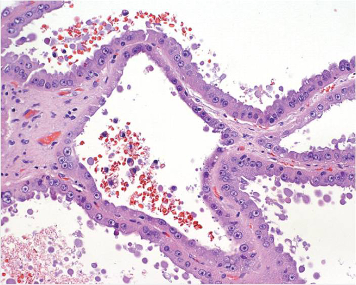
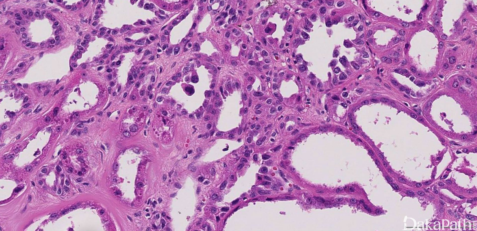
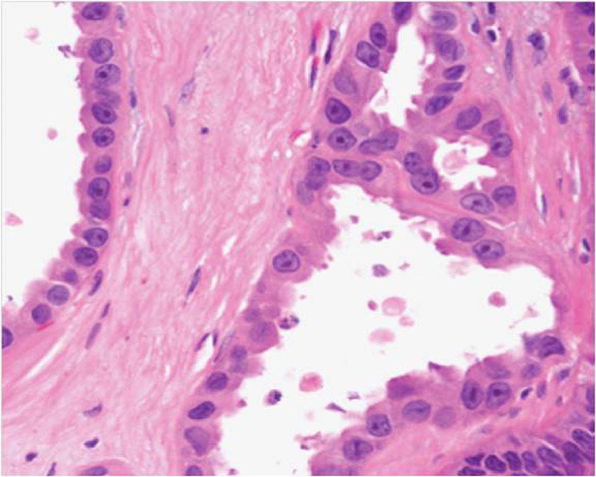
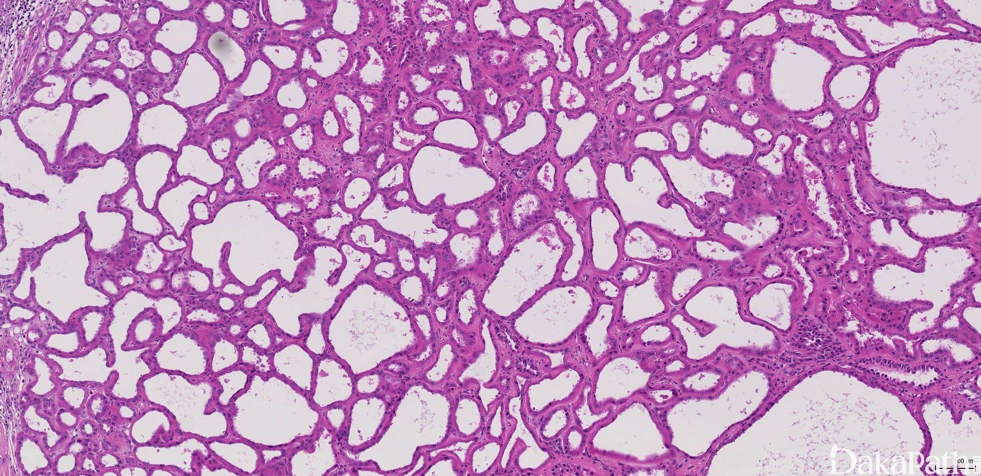
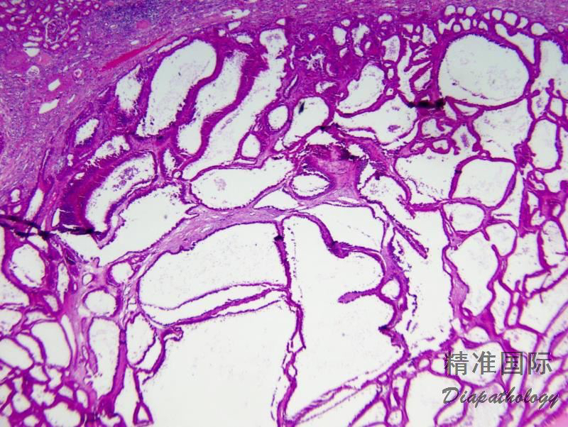
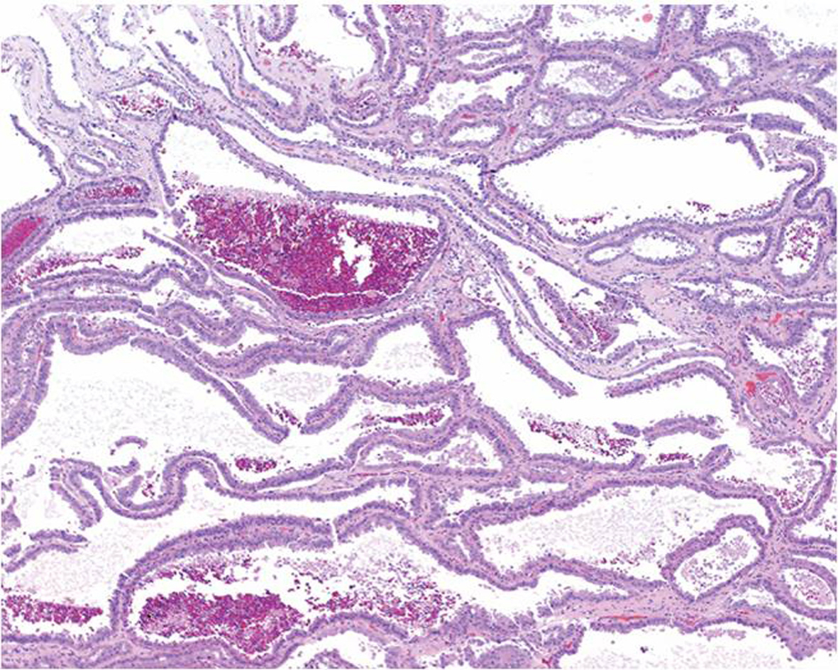
低倍镜下完全由小到中等大的小管和较大的囊肿组成(图 1);被覆瘤细胞单层排列,呈扁平、立方状到柱状、鞋钉样不等(图 2)。管腔或囊腔内容物空,有时可见浅染的嗜酸性分泌物或出血。
瘤细胞胞浆丰富嗜酸性,核圆形或不规则,常见较明显的核仁(ISUP 核分级:3 级,图 3)。
小管或囊肿之间为薄壁的少细胞纤维性间质,一般无炎症浸润或水肿变性。
有时在典型的 TCRCC 组织学背景中可混有少量的乳头状肾细胞癌成分。
罕见的情况下,TCRCC 可伴有局灶的肉瘤样分化或出现类似于集合管癌的低分化癌灶,这一类肿瘤不应诊断为 TCRCC,目前看来多数可能是遗传性平滑肌瘤病和肾细胞癌综合征相关的肾细胞癌(HLRCC-RCC)。
超微结构:多数瘤细胞含有丰富的微绒毛和刷状缘,类似于近曲小管上皮。少数瘤细胞可见短的、稀疏的微绒毛以及复杂的胞质连接,类似于集合管的插入细胞。
遗传学特征::TCRCC 常见 7 和 17 号染色体获得以及 Y 染色体丢失,提示其与乳头状肾细胞癌的密切关系。

免疫组织化学染色:
TCRCC 一致性的表达 PAX8. 波形蛋白、低分子质量 CK(包括 CK8. CK18. CK19 等)以及微清蛋白。90%以上表达 CD10 和 AMACR(图 4);不同程度的表达 CK7,常为弱或局灶表达。肿瘤同时还可表达 kidney-specific cadherin (KSC) 以及 PAX2,通常不表达高分子质量 CK(34βE12)。
鉴别诊断:
1. 多囊性肾细胞癌 : 为透明细胞肾细胞癌的一种组织学变异型,囊肿被覆为低核级的透明细胞或浅染的组织细胞,囊肿间隔亦可见簇状的透明细胞。
2. 囊性肾瘤 (CN):与 TCRCC 相似,CN 常见多房囊肿和被覆的鞋钉样瘤细胞;与 TCRCC 不同,CN 几乎总是发生于围绝经期女性,囊壁厚薄不均,常见短梭形编织状的卵巢样间质,免疫组化染色表达雌、孕激素受体以及 WT1。
3. 嗜酸细胞腺瘤: 罕见的情况下嗜酸细胞腺瘤可表现为明显的管囊状特征,易与 TCRCC 混淆。与 TCRCC 不同,管囊状嗜酸细胞腺瘤瘤细胞核级别将对较低,一般无鞋钉样细胞衬里,间质为水肿性而非纤维性,常见局灶典型的嗜酸细胞岛状结构,免疫组化染色一般不表达波形蛋白和 CD10,强表达 CD117。
4. 获得性囊性肾病相关性肾细胞癌(ACD-RCC): 该肿瘤常见于终末期肾病,组织学构型多样,可部分伴有管囊状和管乳头状结构与 TCRCC 混淆,与 TCRCC 不同,ACD-RCC 常见细胞内和细胞外的圆形空腔使得肿瘤呈现一种筛状的低倍观,此外肿瘤内还可见特征性的草酸钙结晶物沉积。
预后:
手术切除为主,辅助治疗价值尚待进一步明确。大多数 TCRCC 表现为惰性生物学行为,约 10%出现复发或转移,转移常见部位包括骨、肝、肺和盆腔淋巴结。
参考文献:
[1] 赵明, 滕晓东, 孙柯, 等. 新近认识的肾细胞癌 [J]. 中华病理学杂志, 2013, 42(7): 478-82. [2] 赵明, 李昌水, 滕晓东. 介绍国际泌尿病理协会 2012 肾肿瘤的专家共识 [J]. 中华病理学杂志, 2014, 43(3): 207-11. [3] 赵明,余晶晶,马杰,等. 肾脏管囊状嗜酸细胞腺瘤临床病理分析. 中华病理学杂志. 2016, 45(9):644-5. [4] Moch H, Humphrey P A, Ulbright T M, et al. WHO Classification of Tumours of the Urinary System and Male Genital Organ [M]. Lyon: IARC, 2016. [5] 赵明, 何向蕾, 滕晓东. 成人囊性肾肿瘤的诊断和鉴别诊断 [J]. 中华病理学杂志, 2015, 44(11): 815-20.
← 嗜酸性实性和囊性肾细胞癌 肾嗜酸细胞瘤 →