肾嫌色细胞癌
Chromophobe Renal Cell Carcinoma,CRCC
概述:
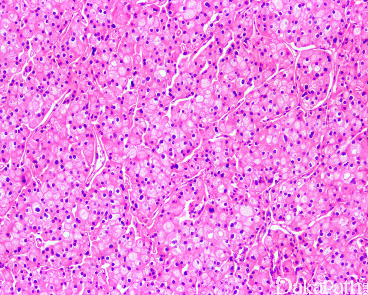
嫌色性肾细胞癌的癌细胞大而浅染,细胞膜非常清楚,核皱褶伴核周空晕。
发病部位: 肾脏
诊断要点:
占肾细胞癌的 5-7%,从儿童到老人均可发病,发病高峰为 51-60 岁,大体检查表现为边界清楚的实性肿物,无包膜,表面略呈分叶状,切面棕黄色,部分可见中央疤痕;
肿瘤边界清楚,无包膜,周围可见内陷的良性肾小管,瘤细胞特征性排列成实性片状,隔以不完全的玻璃样变血管间隔;其他结构包括小的巢状、微囊性、梁状,偶尔局灶呈乳头状,少数病例可见管状结构;
细胞典型特征是体积大,包膜清楚,胞浆网状淡染;
部分病例呈嗜酸细胞变异型,表现为以具嗜酸性颗粒状胞浆的小细胞为主,这两种细胞常混合存在,嗜酸性细胞排列在细胞巢或片中央,淡染细胞排列在周围;
细胞核常显示清楚的不规则皱褶(葡萄干样),染色质粗,常见双核和核周空晕;
圆形核细胞伴有神经内分泌染色质特征也不少见,特别是嗜酸细胞变异型病例;
间质可见含铁血黄素和砂粒体沉积,2-8%的病例可见肉瘤样转化,表现为典型的嫌色细胞肾细胞癌突然过渡为高级别梭形细胞肉瘤,横纹肌样特征以及骨肉瘤特征;
嗜酸细胞为主的嫌色细胞肾细胞癌组织学上可能类似嗜酸细胞腺瘤,少数肿瘤可显示具有杂合性的嗜酸细胞腺瘤和嫌色细胞肾细胞癌特征,又称为杂合性嗜酸细胞/嫌色细胞肾肿瘤,常见于 Birt-Hogg-Dube 综合征和嗜酸细胞增生的临床或组织学背景中,少数为散发性。

免疫组织化学染色:
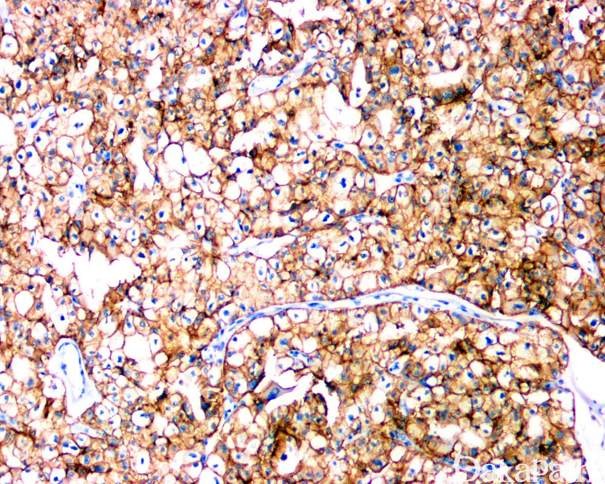
PAX8. CD117. parvabumin、E-cadherin、CK7 阳性(CK7 在嗜酸细胞嫌色细胞肾细胞癌中可能仅为局灶阳性),部分病例表达 GATA3,偶尔可表达神经内分泌标志物如 Syn 等,胶体铁弥漫胞浆染色。SDHB 表达无缺失。vimentin、CD10 膜、CA9 阴性(CD10 可表现为胞浆染色阳性)。
分子标记:
Y,1,2,6,10,13,17 和 21 号染色体缺失,12%可见 TERT 重排
鉴别诊断:
SDH 缺陷型肾细胞癌:
预后:
较好,5 年总体生存率 78%-100%;高病理分期(≥pT3 期)、肉瘤样转化、肿瘤性坏死以及小血管浸润时提示预后不良的独立特征。
Paner 等提出的 ChRCC 分级系统:1 级:无核拥挤和间变;2 级:地图状的核拥挤(10 倍镜下存在地图状的高核/浆密度比,40 倍镜下可见核互相接触)和存在核多形性(核大小差异 3 倍以上,可见明显的核染色质不规则);3 级:存在核间变(多叶核,瘤巨细胞)或肉瘤样转化。该分级系统与患者的分期和预后存在明显的相关性
治疗:
根治不部分肾脏切除
病例报道:
[Solitary Bladder Metastasis ofChromophobe Renal Cell Carcinoma: Report of aCase].
参考文献:
[1] Moch H, Humphrey P A, Ulbright T M, et al. WHO Classification of Tumours of the Urinary System and Male Genital Organ [M]. Lyon: IARC, 2016. [2] Amin M B, Paner G P, Alvarado-Cabrero I, et al. Chromophobe renal cell carcinoma: histomorphologic characteristics and evaluation of conventional pathologic prognostic parameters in 145 cases [J]. Am J Surg Pathol, 2008, 32(12): 1822-34. 10.1097/PAS.0b013e3181831e68
[3] Przybycin C G, Cronin A M, Darvishian F, et al. Chromophobe renal cell carcinoma: a clinicopathologic study of 203 tumors in 200 patients with primary resection at a single institution [J]. Am J Surg Pathol, 2011, 35(7): 962-70. 10.1097/PAS.0b013e31821a455d
[4]Paner G P, Amin M B, Alvarado-Cabrero I, et al. A novel tumor grading scheme for chromophobe renal cell carcinoma: prognostic utility and comparison with Fuhrman nuclear grade [J]. Am J Surg Pathol, 2010, 34(9): 1233-40. 10.1097/PAS.0b013e3181e96f2a
← MiT家族易位肾细胞癌 肾乳头状腺瘤 →