肾细胞癌,未分类
Renal Cell Carcinoma,Unclassified
概述:
并非独立的肿瘤类型,当肾细胞癌类型不属于特指的各个类型时,将之归为未分类的肾细胞癌。
发病部位: 肾脏
诊断要点:
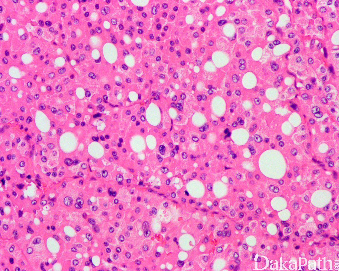
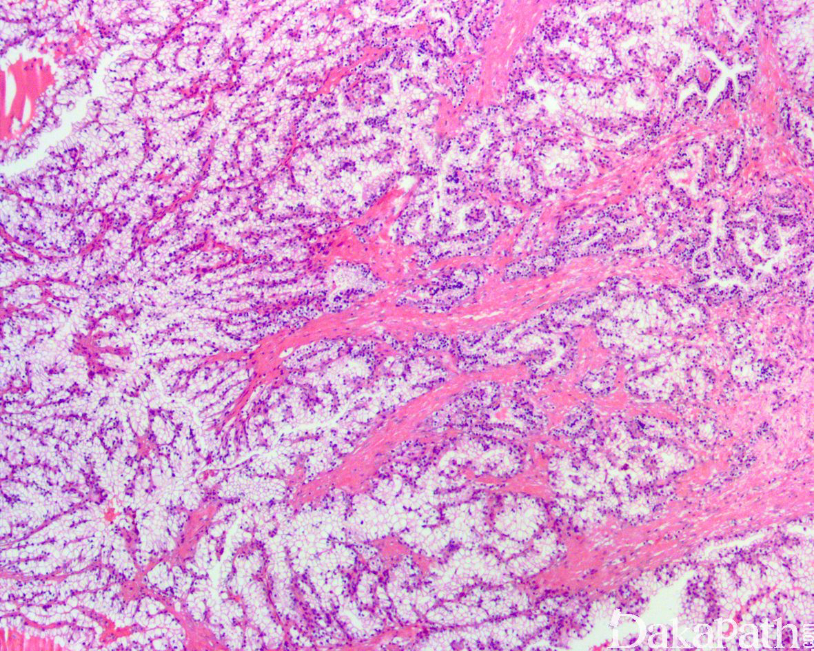
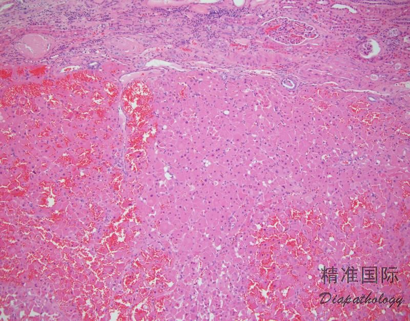
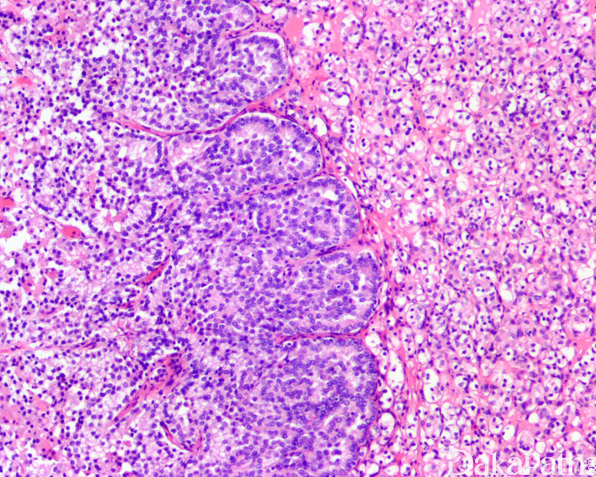
形态学不属于特指的各个类型。
占肾肿瘤 5%以下,发病年龄 21-91 岁,肿瘤常较大,广泛浸润肾脏;
组织学特征不能归类为特定的肾细胞癌类型,该类型包括但不限于:
1)具有两种或两种以上特指类型的肾细胞癌组织形态,伴黏液产生或伴不能识别的上皮细胞类型;
2)低级别或高级别不能分类的嗜酸细胞肿瘤;
3)具有纯的肉瘤样形态,缺乏可识别的上皮成分;
高级别肾细胞癌具有肾髓质表型,无镰刀细胞贫血病;
透明细胞癌样肾细胞癌伴有明显的平滑肌间质;
常见血管淋巴管浸润及坏死
需要除外转移癌及尿路上皮癌;

免疫组织化学染色:
PAX8. PAX2. CD10. RCC 阳性。
预后:
取决于肿瘤的分期和核级别
治疗:
根治性手术切除
病例报道:
Editorial Comment to Local recurrence ofrenal cell carcinomathat simulated multiple renal arteriovenous fistulas after laparoscopic partial nephrectomy: Report of a rarecase.
参考文献:
Unclassified** renal cell carcinoma : diagnostic difficulties and treatment modalities.
Sirohi D, Smith SC, Agarwal N, Maughan BL.
Res Rep Urol. 2018 Nov 15;10:205-217. doi: 10.2147/RRU.S154932. eCollection 2018. Review.
Morphological spectrum of renal cell carcinoma , unclassified : an analysis of 136 cases.
Perrino CM, Grignon DJ, Williamson SR, Idrees MT, Eble JN, Cheng L.
Histopathology. 2018 Jan;72(2):305-319. doi: 10.1111/his.13362. Epub 2017 Oct 24.
← 肾脏小细胞神经内分泌癌 肾脏甲状腺样滤泡癌 →