肾脏小细胞神经内分泌癌
Renal Small Cell Neuroendocrine Carcinoma
同义词(或曾用名): 小细胞癌;高级别神经内分泌癌
概述:
发生于肾实质、与肺小细胞癌具有相似的组织学、免疫表型特征,
发病部位: 肾脏
诊断要点:
罕见,多发生于中老年患者,肿瘤较大,几乎均伴有广泛的坏死;
病变弥漫浸润肾实质,由形态一致的小细胞组成,成弥漫片状、巢状、梁状或实性伴有小管和菊型团形成,间质稀少;
瘤细胞质稀少,核大小一致,圆形或卵圆形至短梭形,含有细颗粒状染色质和不明显的核仁,核分裂像多见;

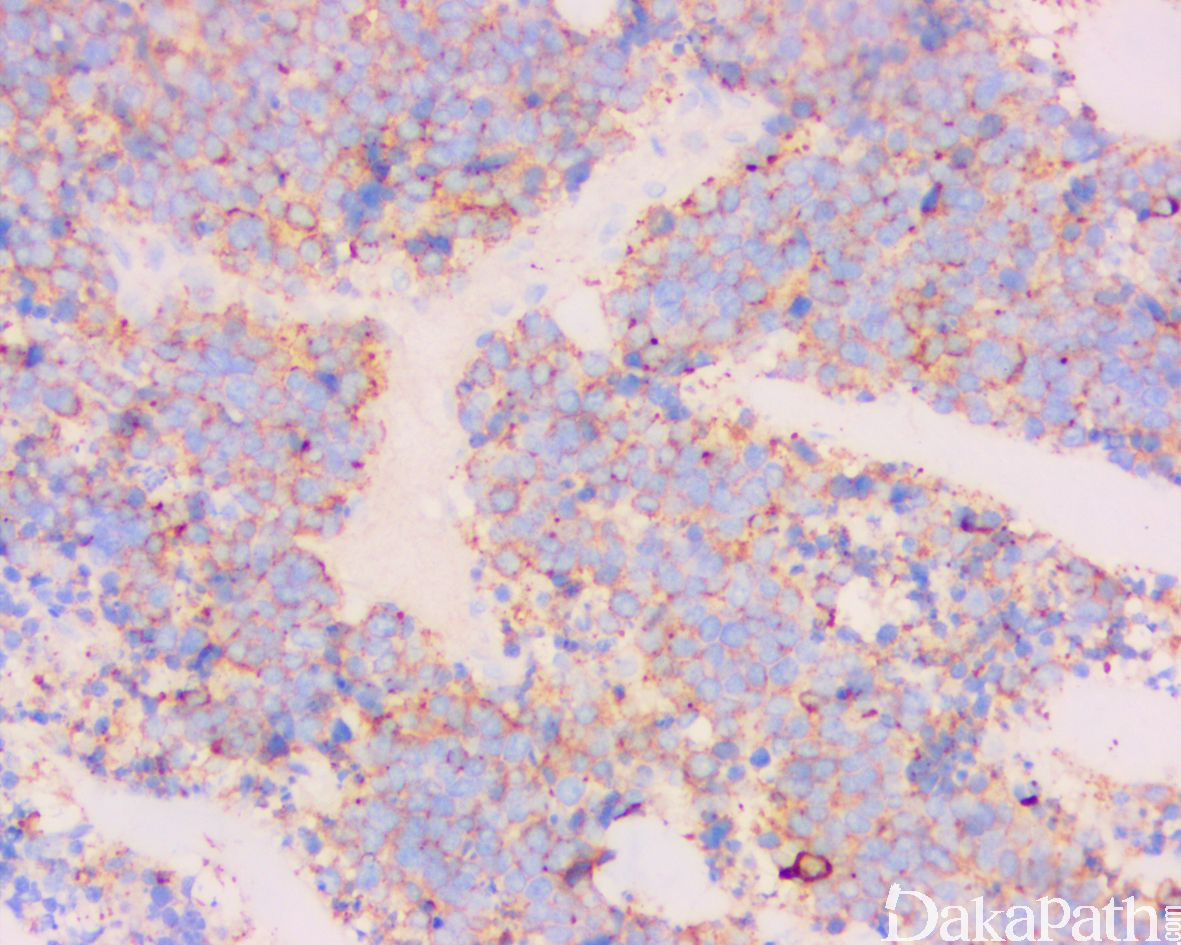
免疫组织化学染色:
CKpan 常逗点状阳性,CgA、SYN、CD56. CD99 常阳性,部分可表达 TTF1,而 PAX8. GATA3. CK7,CK20, LCA, WT1 通常阴性。
鉴别诊断:
诊断原发于肾脏小细胞癌需要除外其他部位转移的小细胞癌以及肾盂尿路上皮原发的小细胞癌,肾盂尿路原发的小细胞癌常混有不同比例的尿路上皮癌成分,后者可为尿路上皮原位癌或浸润性尿路上皮癌;
肾脏尤文肉瘤/原始神经外胚层肿瘤(PNET):通常发生于年轻成人,瘤细胞较小细胞癌具有相对较多的胞浆,PAS 染色常显示胞浆内糖原沉积,免疫组化染色弥漫表达 CD99,异质性的表达 SYN,通常不表达 Cga, 偶尔可表达 CKpan, 遗传学上存在特征性的 EWSR1 基因重排;
肾母细胞瘤:多发生于婴幼儿,通常由未分化的胚基、间充质和上皮性小管或不成熟的肾小球组成,免疫组化染色表达 WT1;
预后:
高度侵袭性,常见远处转移,多数患者在短期内死于肿瘤
治疗:
根治性肾脏切除伴术后辅助化疗
病例报道:
La Rosa S, Bernasconi B, Micello D, Finzi G, Capella C. Primary small cell neuroendocrine carcinoma of kidney: morphological, immunohistochemical, ultrastructural, and cytogenetic study of a case and review of the literature. Endocr Pathol 2009;20:24-34. --------
参考文献:
Si Q , Dancer J , Stanton M L , et al. Small cell carcinoma of the kidney: a clinicopathologic study of 14 cases[J]. Human Pathology, 2011, 42(11):0-1798.