透明细胞乳头状肾细胞癌
Clear Cell Papillary Renal Cell Carcinoma
概述:
一种温和的透明细胞呈管状、乳头状排列的惰性肾上皮性肿瘤,局灶可见明显的细胞核远离基底膜呈线性排列,并具特征性免疫表型。
发病部位: 肾脏
诊断要点:
发病年龄 18-88 岁,占所有肾肿瘤的 1-4%,是继透明细胞 RCC,乳头状 RCC 以及嫌色细胞 RCC 之后第四常见的 RCC 类型。可散发,也可继发于终末肾及 Von Hippel-Lindau 综合征;
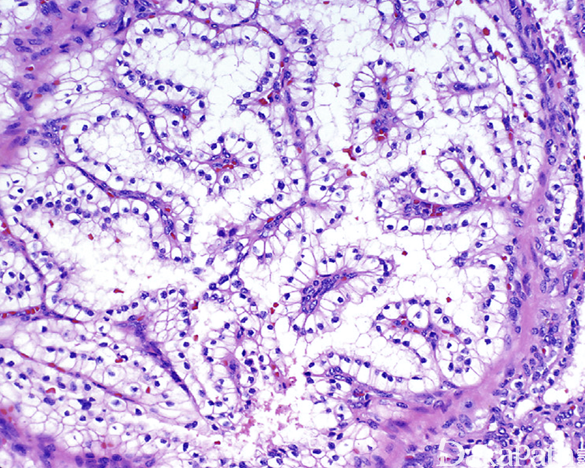
肿瘤常位于肾皮质,一般较小,界清,有包膜,常伴囊性变,偶尔呈多灶性或双侧发生;
镜下瘤细胞呈乳头状、管状、腺泡状、囊性以及实性等多种结构不同比例混合;常见分支小管以及起源于囊肿的分支乳头结构;
肿瘤细胞立方-低柱状,细胞核呈一致的圆形,远离基底膜呈线性排列(类似于“鲨鱼的牙齿”),核仁通常不明显(ISUP 分级 1-2 级核);胞浆透亮;偶尔可见大细胞成分或 IUSP 核分级 3 级的核;
腺腔内常见嗜酸性分泌物;
可见多少不等的纤维性或平滑肌性间质,部分病例以平滑肌成分为主(以前称为血管平滑肌腺瘤样肿瘤);
无坏死,罕见肾周脂肪浸润,无血管侵犯。
偶尔可发生高级别转化或去分化
基于透明细胞乳头状肾细胞癌具有明显较好的预后,特别是好于透明细胞肾细胞癌和乳头状肾细胞癌,因此诊断标准应该严格(要求形态学和免疫表型特点均符合方可诊断)

免疫组织化学染色:
CK7 弥漫阳性,PAX2. PAX8、34βE12 阳性,Carbonic anhydrase IX 杯口状(细胞膜两侧着色而顶端腔面不着色)阳性,cyclind1 常弥漫核阳性,CD10 阴性或灶状阳性,AMACR/P504S 阴性。
分子标记:
无 3p 丢失,无 7 和 17 号染色体三体以及 Y 染色体丢失
鉴别诊断:
透明细胞肾细 胞癌 : 瘤细胞胞浆更丰富,无分支乳头状排列,偶尔可见瘤细胞核远离基底部的线性排列,免疫组化染色弥漫膜表达 CAIX 和 CD10,通常不表达或仅仅偶尔表达 CK7,遗传学可见 3p 缺失;
乳头状肾细胞癌: 以乳头状和管状结构为主,胞浆常常嗜酸性为主,乳头轴心可见泡沫样组织细胞聚集以及砂粒体钙化,常见坏死。免疫组化染色弥漫表达 AMACR/p504s 和 CD10,一般不表达 CAIX;
TFE3 易位性肾细胞癌: 透明细胞和乳头状排列,瘤细胞核仁明显,核级别高,常见砂粒体钙化或色素沉积,免疫组化染色核特征性表达 TFE3,弥漫表达 CD10;
低度恶性潜能多房囊性肾肿瘤: 可与广泛囊性变的透明细胞乳头状肾细胞癌混淆,两者均可弥漫表达 CK7,但与透明细胞乳头状肾细胞癌表达 ck34be12 不同,低度恶性潜能多房囊性肾肿瘤弥漫表达 CD10 和 CAIX;
混合性上皮间质肿瘤: 可与伴有明显平滑肌间质的透明细胞乳头状肾细胞癌混淆,前者可见卵巢样间质,除了表达平滑肌标志之外,常弥漫表达 ER 和 PR。
结节性硬化在相关的乳头状肾细胞癌: 可见透明细胞和乳头状排列,免疫组化染色弥漫表达 CK7 和 CD10 以及 CAIX,胞浆内可见致密而圆形的嗜酸性小球,与结节性硬化症相关可资鉴别。
预后:
无转移及复发报道
治疗:
部分肾脏切除
病例报道:
Clear cell papillary renal cell carcinomaas part of histologically discordant multifocal renal cell carcinoma: Acasereport and review of literature.
参考文献:
Zhou H, Zheng S, Truong L D, et al. Clear cell papillary renal cell carcinoma is the fourth most common histologic type of renal cell carcinoma in 290 consecutive nephrectomies for renal cell carcinoma [J]. Hum Pathol, 2014, 45(1): 59-64.
Williamson S R, Eble J N, Cheng L, et al. Clear cell papillary renal cell carcinoma: differential diagnosis and extended immunohistochemical profile [J]. Mod Pathol, 2013, 26(5): 697-708.
Deml K F, Schildhaus H U, Comperat E, et al. Clear Cell Papillary Renal Cell Carcinoma and Renal Angiomyoadenomatous Tumor: Two Variants of a Morphologic, Immunohistochemical, and Genetic Distinct Entity of Renal Cell Carcinoma [J]. Am J Surg Pathol, 2015, 39(7): 889-901.
Aron M, Chang E, Herrera L, et al. Clear Cell-Papillary Renal Cell Carcinoma of the Kidney Not Associated With End-stage Renal Disease: Clinicopathologic Correlation With Expanded Immunophenotypic and Molecular Characterization of a Large Cohort With Emphasis on Relationship With Renal Angiomyoadenomatous Tumor [J]. Am J Surg Pathol, 2015, 39(7): 873-88.
Fadi Brimo, Chantal Atallah, Gangyong Li & John R Srigley. Cystic clear cell papillary renal cell carcinoma: is it related
to multilocular clear cell cystic neoplasm of low malignant potential?Histopathology. 2016 Apr;68(5):666-72.Do Clear Cell Papillary Renal Cell Carcinomas Have Malignant Potential? Diolombi ML et al. Am J Surg Pathol. (2015)
Dhakal HP, McKenney JK, Khor LY, Reynolds JP, Magi-Galluzzi C, Przybycin CG.Renal Neoplasms With Overlapping Features of Clear Cell Renal Cell Carcinoma and Clear Cell Papillary Renal Cell Carcinoma: A Clinicopathologic Study of 37 Cases From a Single Institution.Am J Surg Pathol. 2016 Feb;40(2):141-54.