MiT 家族易位肾细胞癌
MiT Family Translocation Renal Cell Carcinoma
同义词(或曾用名): t(6;11)肾细胞癌,Xp11 肾细胞癌
概述:
这一类肾癌有一染色体 Xp11 易位或 t(6;11),涉及 MIT 家族基因 TFE3 及 TFEB 基因融合。
发病部位: 肾脏
诊断要点:
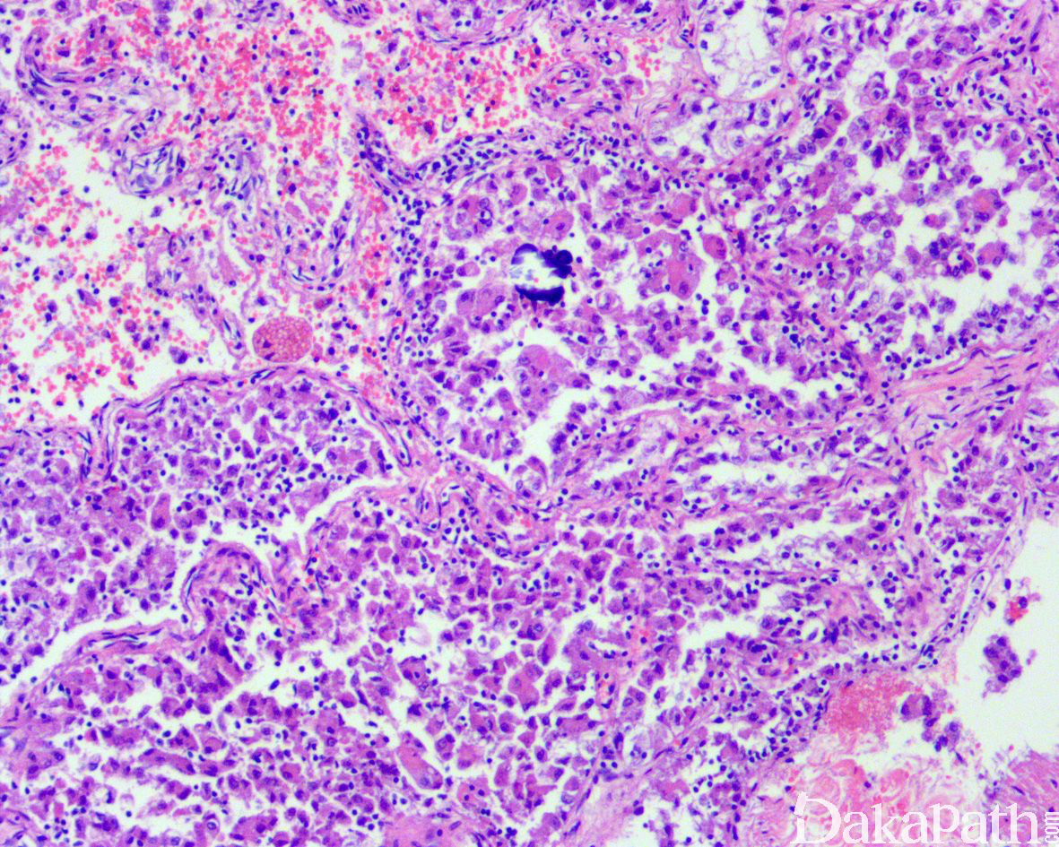
这类肿瘤主要见于儿童和年轻人,肿瘤大体检查无特征性,多呈黄褐色,常伴坏死和出血;
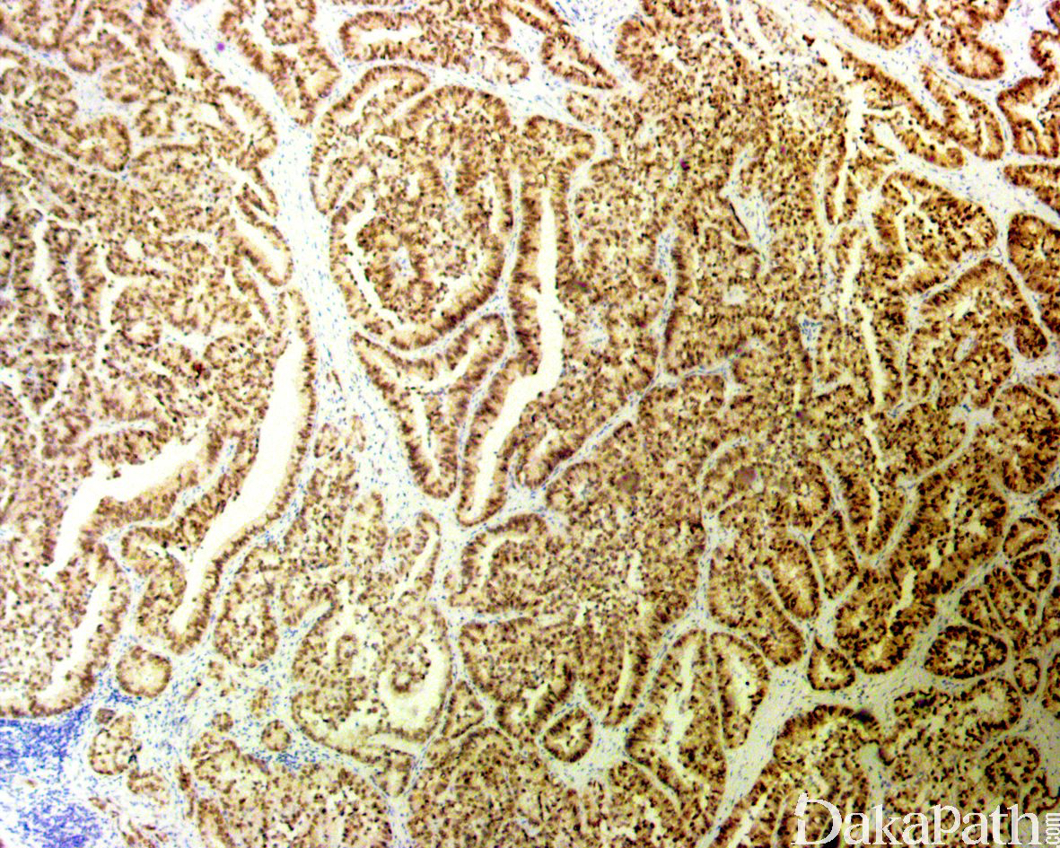
形态学上 Xp11 最具特点的表现是由上皮样透明细胞、嗜酸细胞和丰富砂粒体构成的乳头状结构,也可见到其它肾细胞癌样的组织学形态包括类似于透明细胞肾细胞癌、乳头状肾细胞癌、低度恶性潜能的多囊性肾细胞癌、嗜酸细胞瘤、上皮样血管肌脂肪瘤等组织形态,部分病例可见色素;
t(6;11)肾细胞癌最显著的特征是具双向分化,由大的上皮样细胞和围绕基底膜样物束状排列的小细胞构成,肿瘤周围可见陷入的单个肾小管;
Xp11 与 t(6;11)肾细胞癌形态上有重叠。
免疫组化:PAX8. CD10 阳性,角蛋白及 EMA/MUC1 常阴性或仅局灶阳性,Vimentin 常阴性但可呈弱及局灶阳性;
TFE3 癌常见 CD10. RCC 抗原、AMACR 及 E-cadherin 阳性,而 TFEB 肿瘤中 CD10 及 RCC 常缺如或局灶阳性;
所有 RCCs 的易位 RCC 中 Cathepsin-K 具高度特异性,但敏感性少于 TFE IHC 或 FISH;TFEB 癌及少数 TFE3 肿瘤常见黑色素标记(melan-A (MART-1)及 HMB-45)阳性;Xp11 易位相关性癌中 TFE3 具有高度敏感性及特异性;t(6;11)癌中 TFEB 具有高度敏感性及特异性。

免疫组织化学染色:
PAX8. CD10 阳性,角蛋白及 EMA/MUC1 常阴性或仅局灶阳性,Vimentin 常阴性但可呈弱及局灶阳性;TFE3 癌常见 CD10. RCC 抗原、AMACR 及 E-cadherin 阳性,CAIX 一般阴性;而 TFEB 肿瘤中 CD10 及 RCC 常缺如或局灶阳性;所有 RCCs 的易位 RCC 中 Cathepsin-K 具高度特异性,但敏感性少于 TFE IHC 或 FISH
分子标记:
TFE3 或 TFEB 基因重排
鉴别诊断:
高级别透明细胞肾细胞癌:罕见乳头状结构,免疫组化染色弥漫表达 CAIX,不表达 TFE3 和 TFEB,无 TFE3 或 TFEB 重排。
上皮样血管平滑肌脂肪瘤:不表达 PAX8。
TFE3 重排的上皮样血管平滑肌脂肪瘤:与 MiT 肾细胞癌存在形态学和免疫表型的重叠,均可表达黑色素标志物和 TFE3,但上皮样血管平滑肌脂肪瘤不表达 PAX2 和 PAX8,不表达 CK 和 EMA 可资鉴别。
预后:
发生在成年人的染色体易位性肾细胞癌预后较差,常见淋巴结和远处转移;发生于青少年的染色体易位性肾细胞癌预后相对较好。
治疗:
手术切除
病例报道:
MiTfamilytranslocation renal cell carcinoma.
参考文献:
Argani P. MiT family translocation renal cell carcinoma. Semin Diagn Pathol. 2015;32(2):103–113.