促结缔组织增生性小圆细胞肿瘤
Desmoplastic Smallround Cell Tumor,DSRCT
概述:
是一种好发于青少年腹腔和盆腔内的高度恶性小圆细胞肿瘤,伴大量纤维结缔组织增生。
发病部位: 腹腔、盆腔、胸膜、睾丸旁、颅内、肝、肺、纵隔、卵巢、鼻窦和胰腺等处
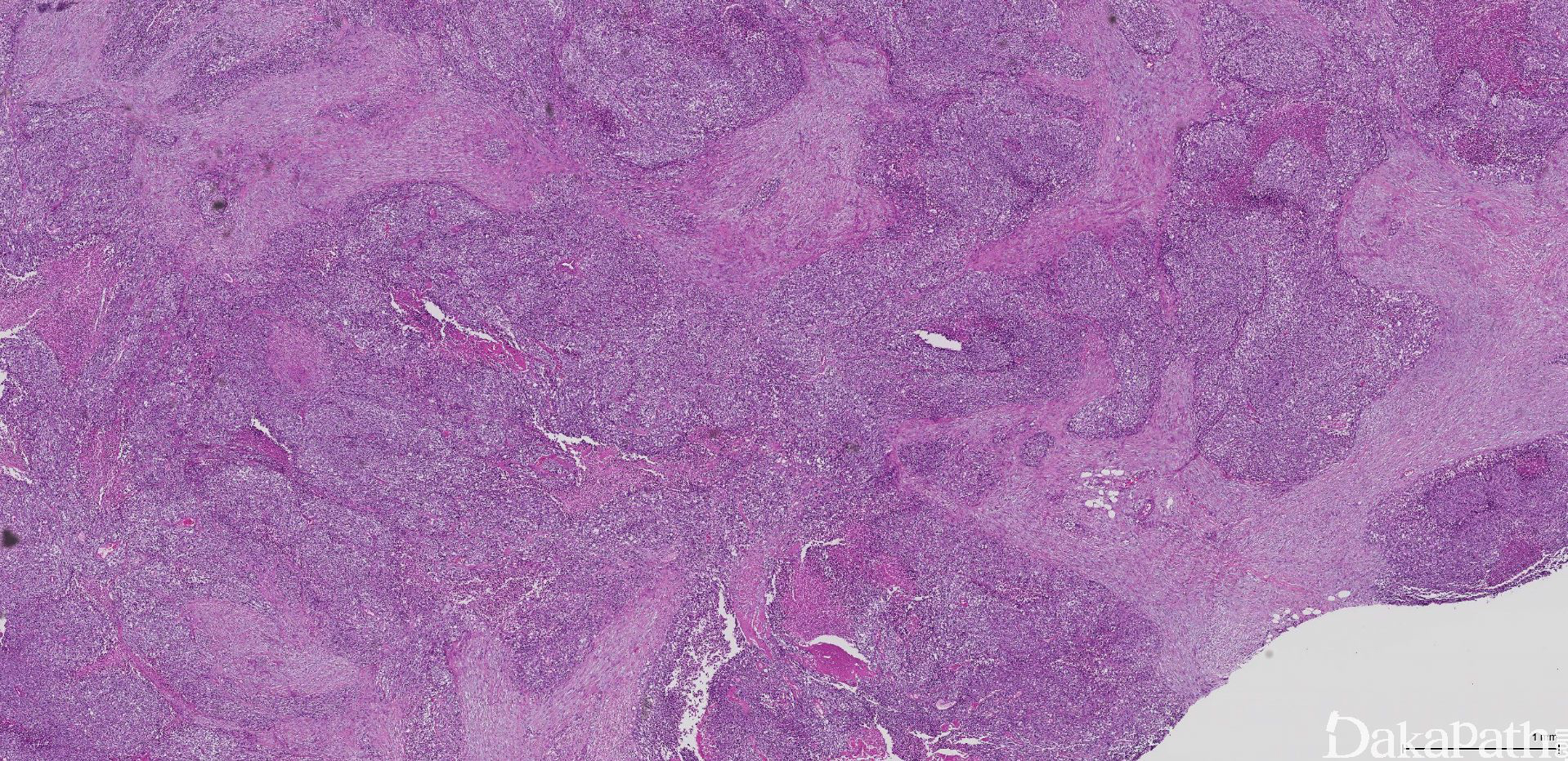
诊断要点:
- 好发于青少年和儿童,男性多见,主要发生于腹腔和盆腔内,大体检查呈多结节状或分叶状,可伴出血、囊性变或坏死灶;
- 恶性小圆细胞肿瘤,瘤细胞排列紧密,并形成大小和形状不一的上皮样细胞巢,瘤细胞巢的周围和瘤细胞巢之间为大量增生的纤维结缔组织。
- 部分大的瘤细胞巢中央可见灶性坏死或伴有囊性变;
- 巢内瘤细胞排列紧密,核呈圆形或卵圆形,深染,核仁不清,核分裂像易见,胞质稀少,胞界不清;
- 瘤细胞巢之间及其周围为大量增生的致密纤维结缔组织,可伴有玻璃(透明)样变性,有时可呈纤维黏液样,其内的梭形细胞多呈平行的束状排列,形态上类似纤维母细胞/肌纤维母细胞;
- 部分病例中,瘤细胞可呈大的结节状或实性片状分布,而纤维性间质不明显,或排列成单排状,类似乳腺的浸润性小叶癌;
- 少数病例内还可出现一些形态变异,如瘤细胞呈透亮空泡状、印戒细胞样或横纹肌样(rhabdoid-like),或瘤细胞呈梭形;有时巢内还可见 Home-Wright 样菊形团,或可见管腔样结构,或呈腺样囊性癌样。个别病例中,瘤细胞可呈大细胞性。

免疫组织化学染色:
三系阳性 AE1/AE3. CAM5.2. EMA、desmin、vimentin 和 NSE、CD56. WT1(C 端)等常阳性, CK 和 desmin 染色有时可表现为核旁逗点状染色;CGA、SYN 和 Leu-7 等部分阳性,CD99 通常阴性或局灶阳性(非特异性的胞浆染色)。
分子标记:
t(11;22)(p13;q12), EWS-WT1 融合基因
鉴别诊断:
1 .骨外 EWS /pPNET :瘤细胞 AE-1/AE3. EMA、desmin、NSE 和 WT1 阴性, CD99 强阳性; EWS-FLI-1 融合基因阳性, EWS-WT1 为阴性。
2. 胚胎性或腺泡状横纹肌样肉瘤 多发生于空腔器官和四肢;肿瘤内可见形态和大小不一的横纹肌母细胞,MSA、MyoD-1 和 myogenin 等常阳性,AE-1/AE3 和 NSE 阴性;多数病例伴 t(2;13)(q35;q14),PAX3-7-FKHR。
3. 滑膜肉瘤 :多发生在大关节附近,desmin 阴性,90%以上的病例可检测出 SYT-SSX 1/2。
4. 神经母细胞瘤: 多发生在 5 岁以下的婴幼儿,间质富含神经纤维网,可见菊形团形成,AE1/AE3. desmin 和 WT1 阴性。
预后:
预后差、高度侵袭性;5 年总体生存率约 15%
治疗:
手术+术后辅助放疗
参考文献:
Lae M E , Roche P C , Jin L , et al. Desmoplastic small round cell tumor: a clinicopathologic, immunohistochemical, and molecular study of 32 tumors.[J]. American Journal of Surgical Pathology, 2002, 26(7):823-835. Arnold, Michael A , Schoenfield, et al. Diagnostic Pitfalls of Differentiating Desmoplastic Small Round Cell Tumor (DSRCT) From Wilms Tumor (WT): Overlapping Morphologic and Immunohistochemical Features[J]. American Journal of Surgical Pathology, 2014, 38(9):1220-1226.