软组织多形性玻璃样变血管扩张性肿瘤
Pleomorphic Hyalinizing Angiectatic Tumor of Soft Parts,PHAT
概述:
是一种原发于软组织、含有扩张的玻璃样变的薄壁血管,瘤细胞分化方向未定的肿瘤。
发病部位: 足、踝、小腿最常见,其次为躯干和上肢
诊断要点:
主要见于成年(中位 54 岁),足、踝、小腿最常见,其次为躯干和上肢,通常位于皮下,偶尔可位于肌内,平均直径约 5-6cm;
大体检查界限清楚或伴有弥漫性边界,切面灰白到紫红色;
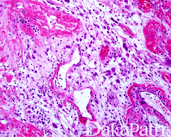
低倍镜下肿瘤无包膜,边界不清,特征性的可见大小不等,成簇分布的扩张性的血管;
血管腔内常见血栓形成,血管壁附着一层厚的嗜伊红色纤维素样坏死性物质;
血管之间可见呈散在片状或束状分布的胖梭形或圆形的瘤细胞,基质纤维性或水肿性;
瘤细胞胞浆丰富,嗜酸性或双嗜性,具有明显的多形性的核,核内常见胞质性假包涵体,有时可见明显的核仁;
核分裂像罕见, 1/50HPF 以下,无非典型核分裂象,无肿瘤性坏死;
血管附近的瘤细胞胞质内可见含铁血黄素沉着,部分肿瘤的周边呈现组织学特征类似于含铁血黄素沉积的纤维脂肪瘤样肿瘤(HFLT),提示两者之间可能存在明显的相关性;
间质可见多少不等的炎症细胞浸润。

免疫组织化学染色:
瘤细胞 vimentin 阳性, CD34 多数病例阳性,少数病例 EMA 阳性,Ki67 < 2%, S-100. actin、desmin、CK、F8 和 CD31 等阴性。
分子标记:
TGFBR3- MGEA5 基因融合
鉴别诊断:
1. 神经鞘瘤 :可见到交替分布的 Antoni A 区和 B 区,瘤细胞 S-100 阳性,CD34 一般为阴性。
2. 未分化多形性肉瘤 :瘤细胞具有明显的异型性,核分裂像易见,并可见肿瘤性坏死。CD34 常阴性。
预后:
约 30-50%可见复发,偶尔可转化为高级别黏液炎性纤维母细胞肉瘤表现出侵袭性
治疗:
局部扩大切除
病例报道:
Illueca C, Machado I, Cruz J, et al. Pleomorphic hyalinizing angiectatic tumor: a report of 3 new cases, 1 with sarcomatous myxofibrosarcoma component and another with unreported soft tissue palpebral location. Appl Immunohistochem Mol Morphol. 2012;20:96–101. 参考文献:
Carter JM, Sukov WR, Montgomery E, Goldblum JR, Billings SD, Fritchie KJ, et al. TGFBR3 and MGEA5 rearrangements in pleomorphic hyalinizing angiectatic tumors and the spectrum of related neoplasms. Am J Surg Pathol 2014;38:1182–992. Folpe AL, Weiss SW. Pleomorphic hyalinizing angiectatic tumor: analysis of 41 cases supporting evolution from a distinctive precursor lesion. Am J Surg Pathol. 2004;28:1417–1425.