神经鞘瘤

Schwannoma

同义词(或曾用名): 施万细胞瘤

概述:

是一种有包膜的良性周围神经鞘膜肿瘤,起源于雪旺氏细胞。

发病部位: 头颈部、上下肢曲侧、后腹膜、脊髄后根、桥脑小脑角、中枢神经系统、实质脏器和黏膜内。

诊断要点:

  1. 可发生于任何年龄,最多见于中青年(20-50 岁),好发于头颈部和四肢的屈侧。

  2. 界限清楚,常有薄膜,但发生于中枢神经系统、实质脏器和黏膜内者常无薄膜;

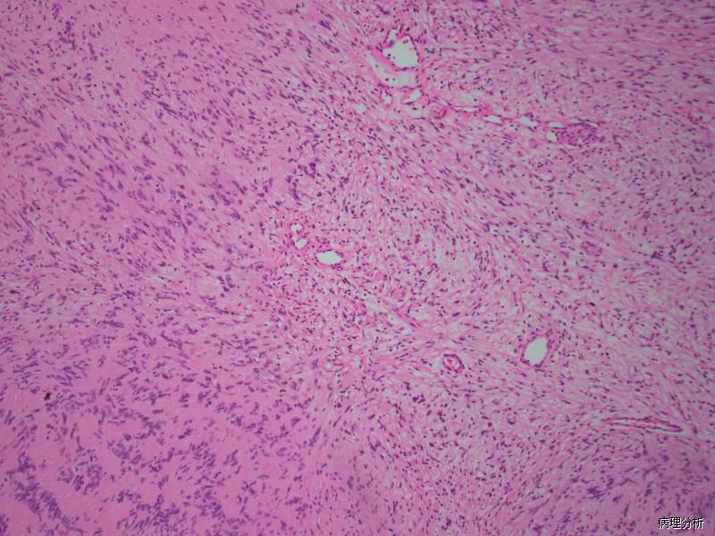
  3. 镜下典型特征是由交替性分布的 Antoni A 区和 Antoni B 区交替分布组成,两区的比例因病例不同而异,两区之间可有移行,也可界限分明;

  4. Antoni A 区由短束状平行排列的梭形施万细胞组成,也称束状区,细胞胞质丰富、淡嗜伊红色,胞界不清,常见栅栏状排列;部分病例可见瘤细胞排列成洋葱皮样或漩涡状结构,或形成 Verocav 小体样结构;

  5. Antoni B 区,由排列疏松、零乱的星芒状施万细胞组成,也称网状区,可有微囊形成;细胞核常圆形或卵圆形,深染,有时可见核内假包涵体;部分病例可见大而不规则的血管,管腔内常见血栓,管壁厚,多伴有程度不一的胶原变性,有时在血管周围可见含铁血黄素性沉着及灶性的泡沫样组织细胞反应;

  6. 偶尔可见少量的核分裂像;

  7. 少数病例还可见到一些大的菊形团,其周围为环层状排列的小圆形施万细胞,形态类似与神经母细胞瘤的瘤细胞,此型也称神经母细胞瘤样神经鞘瘤;

  8. 少数病例间质显著黏液变性,类似神经鞘黏液瘤或其他黏液性软组织肿瘤;

  9. 常见亚型:

变异型 色素型 古老型 束状型 砂砾体型

免疫组织化学染色:

S-100. vimentin、Leu 7 和 PGP9.5 阳性;肿瘤边缘或血管周围纤维母细胞可表达 CD34,EMA 胞膜阳性,NF 阴性;IV 型胶原在单个细胞或小细胞群周围;部分发生于腹膜后、后纵膈、胃肠道的肿瘤 AE1/AE3. GFAP 阳性。

分子标记:

NF2 基因的失活性突变以及 Merlin 蛋白功能的缺失。

鉴别诊断:

1. 神经纤维瘤 :由许旺细胞、成纤维细胞和神经束膜细胞混合而成;缺乏 Antoni A 区;神经鞘瘤的 Antoni B 区与神经纤维瘤相似;CD34 在成纤维细胞混合群体中普遍呈阳性。

2. 恶性周围神经鞘膜瘤 常较大较深;细胞学从单一形态到多形态,核分裂易见;常见肿瘤坏死;S1OO 阴性或灶阳,低级别肿瘤 S100 弥漫阳性。

3 平滑肌瘤: 瘤细胞可呈波浪状,核呈栅栏状排列,胞浆伊红染色较深,常可见肌丝、核较神经鞘瘤更肥大,核两端钝圆,S100 阴性,VG 染色呈淡黄绿色。

预后:

良性,恶变的情形极为罕见。切除不完整时,肿瘤可复发,特别是位于骶部的神经鞘瘤。

治疗:

完整切除。

病例报道:

参考文献:

  1. Luzar B et al: Cutaneous microcystic/reticular schwannoma: a poorly recognized entity. J Cutan Pathol. ePub, 2015

  2. Zong S et al: Treatment results in the differential surgery of intradural extramedullary schwannoma of 110 cases. PLoS One. 8(5):e63867, 2013

  3. Blakeley J: Development of drug treatments for neurofibromatosis type 2-associated vestibular schwannoma. Curr Opin Otolaryngol Head Neck Surg. 20(5):372-9, 2012

  4. Carter JM et al: Epithelioid malignant peripheral nerve sheath tumor arising in a schwannoma, in a patient with "neuroblastoma-like" schwannomatosis and a novel germline SMARCB1 mutation. Am J Surg Pathol. 36(1):154-60, 2012

  5. Harder A et al: Hybrid neurofibroma/schwannoma is overrepresented among schwannomatosis and neurofibromatosis patients. Am J Surg Pathol. 36(5):702-9, 2012

  6. Rezanko T et al: Epithelioid schwannoma of soft tissue: unusual morphological variant causing a diagnostic dilemma. Ann Diagn Pathol. 16(6):521-6, 2012

  7. Voltaggio L et al: Gastric schwannoma: a clinicopathologic study of 51 cases and critical review of the literature. Hum Pathol. 43(5):650-9, 2012

  8. Chetty R: Reticular and microcystic schwannoma: a distinctive tumor of the gastrointestinal tract. Ann Diagn Pathol. 15(3):198-201, 2011

  9. Gaudi S et al: Intravascular schwannoma. Am J Dermatopathol. 33(8):850-4, 2011

  10. Ida CM et al: Primary schwannoma of the bone: a clinicopathologic and radiologic study of 17 cases. Am J Surg Pathol. 35(7):989-97, 2011