上皮样血管内皮细胞瘤
Epithelioid Hemangioendothelioma,EHE
概述:
上皮样血管内皮细胞瘤(EHE)是一种具有转移潜能的低度恶性血管肿瘤,由短索状和巢状排列的上皮样内皮细胞组成,其内可见原始管腔形成,基质呈黏液透明样。
发病部位: 肢端深部软组织,皮肤,内脏器官包括肝,肺,和骨。
诊断要点:
EHE 可发生于成年的任何年龄,罕见于儿童,好发于四肢深部软组织和内脏实质器官(如肝,骨,肺等),发生于肝,骨,肺者通常表现为多灶性,但需临床病理联系排除软组织隐匿性的原发灶转移可能;
大体上界限不清,灰红,可见出血性静脉栓子,大小从不足 1cm 至 10cm(平均约 2.5cm);
镜下肿瘤通常累及小静脉的血管壁和血管腔(有时可见血管腔内形成乳头状凸起),可见局灶或广泛的间质退行性变包括出血、囊性变、玻璃样变性和钙化等。上皮样或短梭形瘤细胞呈单个细胞,小簇状,交织的条索状,或偶尔呈实行片状生长,位于丰富的软骨黏液性基质之中;
瘤细胞胞浆丰富,浅染嗜酸性呈玻璃样,核通常较小可见纤细的核仁,有时可见较大的异型性核,瘤细胞可见多少不等的胞浆内空泡,类似于原始血管腔形成,其内有时可见红细胞,提示 EHE 的诊断线索,核分裂象通常较少(< 2 个/10HPF),少数病例可见明显的实性片状生长,丰富的瘤细胞核稀少的间质,活跃的核分裂象伴肿瘤性坏死,又称为“恶性”EHE(实际上是一种误称,因所有的 EHE 均定义为恶性肿瘤)
组织学亚型包括伴有 YAP1-TFE3 融合的 EHE,通常见于年轻成人,与经典型 EHE 不同,肿瘤内可见形成完好的血管腔隙形成,瘤细胞具有丰富的嗜酸性胞浆和轻度异型性的核。

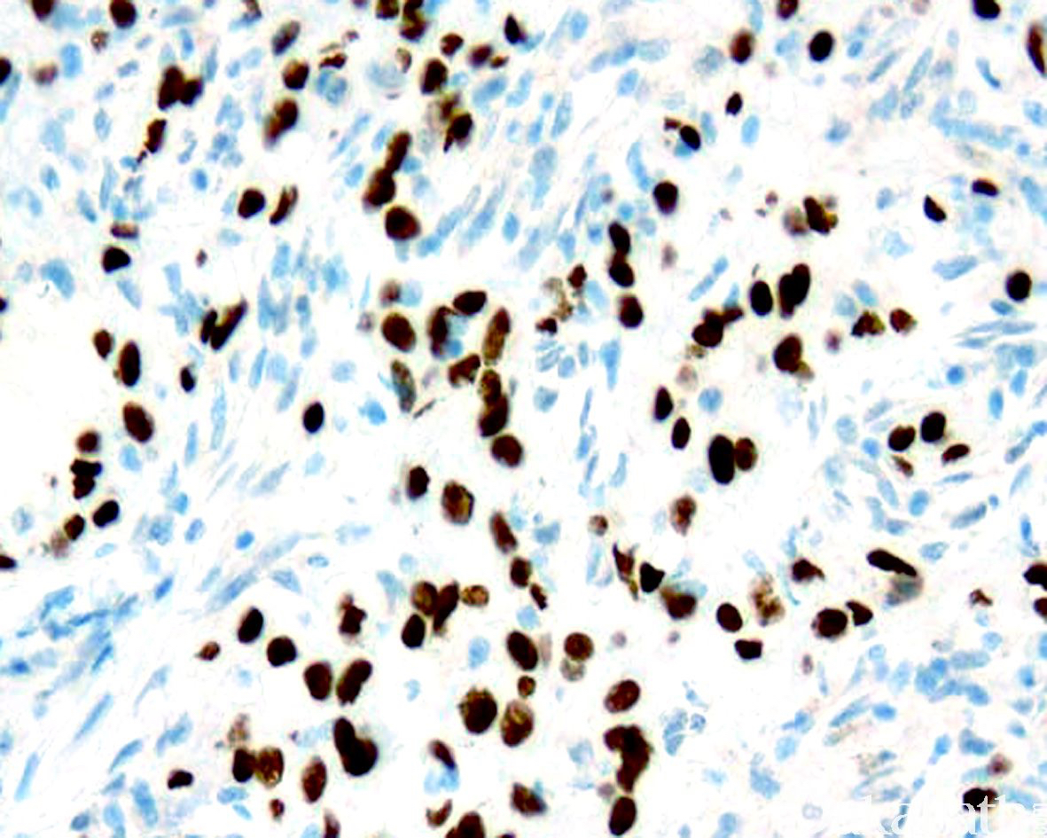
免疫组织化学染色:
肿瘤细胞表达 ERG,CD34,CD31,Fli-1(诊断 EHE 至少需要 1 个以上的血管内皮细胞标志物阳性),约 25%的 EHE 表达 CK(局灶或弥漫),一般不表达 EMA,部分可表达 D2-40, 约半数可表达 SMA;伴有 WWTR1-CAMTA1 基因融合的 EHE(约 85%-90%)弥漫核表达 CAMTA1, 伴有 YAP1-TFE3 基因融合的 EHE(< 5%)弥漫核表达 TFE3,但 TFE3 阳性对于诊断 YAP1-TFE3 融合的 EHE 并不特异,需要 FISH 证实,因少数伴有 WWTR1-CAMTA1 基因融合的 EHE 亦可表达 TFE3
分子标记:
85%-90%存在 WWTR1-CAMTA1 基因融合,< 5%存在 YAP1-TFE3 基因融合
鉴别诊断:
1. 转移性低分化腺癌:无明显的血管壁和血管腔内生长趋势,一般表现为明显的细胞异型性和活跃的核分裂象,不同于 EHE,免疫组化染色不表达血管内皮细胞标志物;
2. 上皮样肉瘤:多为多结节状生长,结节中央可见纤维素样坏死或地图样坏死,无 EHE 可见的粉染的玻璃样嗜酸性胞浆,上皮样肉瘤可见胞浆内空泡类似于 EHE,但空泡变一般不如 EHE 明显,无胞浆内红细胞,间质罕见黏液软骨样,免疫组化染色上皮样肉瘤通常较弥漫 CK, 半数表达 CD34, 少数可表达 ERG 和 FLI-1,但一般不表达 CD31 和 CAMTA1 或 TFE3, 95%以上可见特征性的 INI-1 表达缺失;
3,其他鉴别诊断包括:高级别黏液脂肪肉瘤,骨外黏液样软骨肉瘤,腺瘤样瘤,上皮样肉瘤,假肌源性血管内皮细胞瘤,上皮样血管瘤等,仔细的形态学观察 EHE 的特征性组织学特点,辅以免疫组化染色尤其是 CAMTA1 可助于 EHE 与上述相似肿瘤的鉴别诊断。
预后:
低度恶性。皮肤的 EHE 预后较好,局部复发率低,无转移和死亡的报道。10-15%的深部软组织 EHE 患者可见肿瘤复发,20%-30%患者转移(50%的转移为区域淋巴结,其余包括肺,骨,肝等部位),15%死于肿瘤。如前所述的组织学标准定义的“恶性”EHE 较普通型 EHE 的预后差,“恶性”EHE 的转移率和死亡率分别为 50%和 30%,而普通型 EHE 的转移率和死亡率分别为 17%和 3%。
治疗:
宜将肿瘤完整切除,并保证切缘阴性,必要时辅以放疗和化疗。
参考文献:
[1] Hornick, JL. Practical soft tissue pathology : a diagnostic approach. 2nd Edition[M]. Philadelphia, PA : Elsevier, 2019. [2] Goldblum J R, Folpe A L, Weiss S W. Enzinger and Weiss's soft tissue tumors [M]. Philadelphia: Saunders, 2014. [3] 王坚,朱雄增. 软组织肿瘤病理学(第 2 版)[M]. 北京:人民卫生出版社,2017.
← 假肌源性血管内皮细胞瘤 杆菌性血管瘤病 →