淋巴管型血管肉瘤
Lymphatic-type Angiosarcoma
同义词(或曾用名): 淋巴管肉瘤
概述:
显示淋巴管分化和组织学特征的血管肉瘤,常伴有明显的淋巴细胞浸润
发病部位: 头颈部,上肢,躯干,下肢
诊断要点:
1,好发于老年人,中位年龄 65 岁,男女发病相等;头颈部皮肤和皮下较常见,其次是上肢、躯干和下肢;
2,肿瘤位于浅表真皮或皮下,直径 0.8-8.5cm(平均 3cm),镜下肿瘤的整体上呈推挤状浸润性生长,边界周围和肿瘤内可见较多而致密的淋巴细胞浸润,有时可见生发中心形成;
肿瘤由分支状的血管腔隙被覆鞋钉样立方状内皮组成,内皮细胞核圆形深染,胞浆稀少,核可见折叠、核裂以及核内包涵体;
低倍镜下部分区域类似于网状血管内皮细胞瘤,表现为血管腔隙受压,被覆鞋钉样内皮以及管周纤维化增生,但管腔并不伸展,较短,类似于裂隙状微腺泡;异型性较大的细胞呈圆形
根据瘤细胞的组成和管腔结构的明显程度分为低级别和高级别,低级别肿瘤瘤细胞形态较温和,管腔结构明显,被覆多层瘤细胞;高级别肿瘤瘤细胞圆形,核仁明显,管腔结构不明显以实性生长为主。

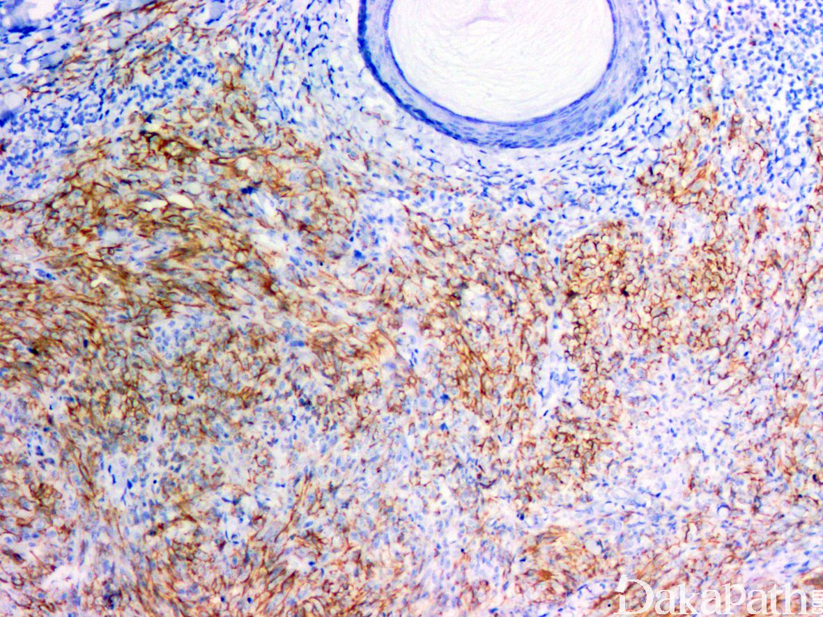
免疫组织化学染色:
表达 CD31 和 ERG,65%表达 CD34;至少表达 D2-40. Prox-1 以及 LYVE-1 三个淋巴管标志物中其中的 1 个;通常弥漫表达 D2-40 和 Prox-1,半数表达 LYVE-1。背景中的淋巴细胞主要是 CD4 和 CD8 阳性的 T 淋巴细胞。
分子标记:
无重现性的分子异常
鉴别诊断:
网状型血管内皮细胞瘤
普通型血管肉瘤
预后:
总体的生物学行为较普通的血管肉瘤好,半数左右局部复发,偶尔死于肿瘤。
治疗:
局部广泛切除伴或不伴有术后辅助放化疗
参考文献:
Anthony P. Martinez, MD,† Mauricio Zapata, MD,‡ Paula E. North, MD, PhD,§ Andrew L. Folpe, MD,∥ and Sharon W. Weiss, MD. Lymphatic-type “Angiosarcoma” With Prominent Lymphocytic Infiltrate. Am J Surg Pathol 2019
← 婴幼儿富于细胞性血管瘤 血管瘤病 →