上皮样血管瘤
Epithelioid Hemangioma,EH
同义词(或曾用名): 血管淋巴组织增生伴嗜酸性粒细胞增多症、组织细胞样血管瘤
概述:
是一种内皮细胞呈上皮样的良性血管肿瘤。
发病部位: 好发于头颈部,前额、耳周和头皮。
诊断要点:
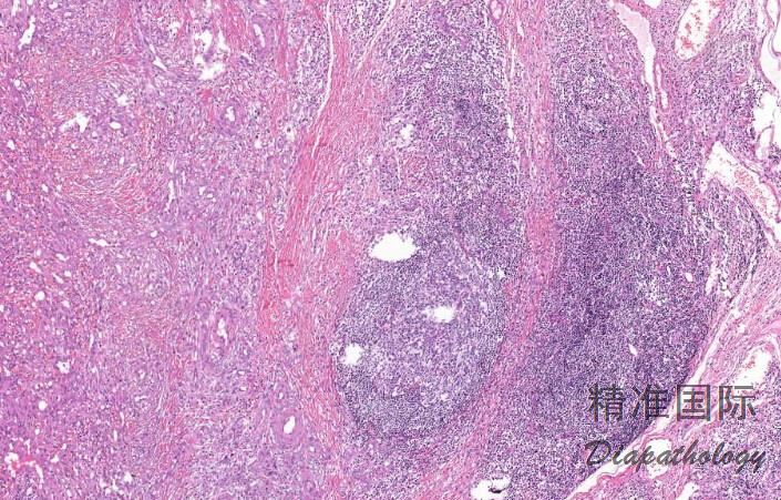
部分病例有外伤史,好发于头颈部,前额、耳周和头皮,为单发的皮下小结节或暗红色丘疹样病变;
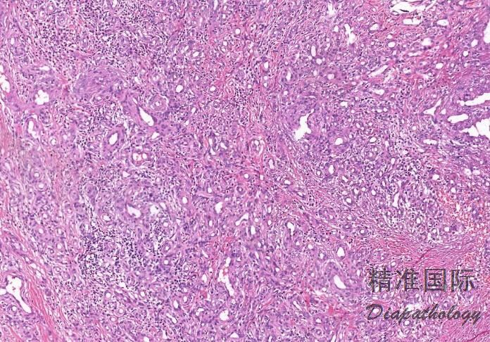
病变由略呈分叶状的成簇毛细血管型小血管组成;
多数血管衬以胞质丰富、深嗜伊红色的上皮样内皮细胞,可钉突样突向腔内;
上皮样内皮细胞还可在管腔内生长,形成类似乳头状血管内皮增生(Masson 假血管肉瘤)结构;
增生血管的周围可见淋巴细胞、嗜酸性粒细胞、肥大细胞和浆细胞等慢性炎症细胞浸润;
无坏死,核分裂不常见。

免疫组织化学染色:
内皮细胞 CD31. ERG,CD34 和 F8 阳性,CK 可局灶阳性。
分子标记:
FOS, FOSB, FOSL1, FOSL2 基因重排,ZFP36-FOSB and WWTR1-FOSB 融合,FOS-VIM and FOS-LMNA 融合。
鉴别诊断:
1. Kimura 病: 亚洲人群特有;与淋巴结肿大,外周血嗜酸性粒细胞增多,血清 IGE 升高有关;缺乏上皮样内皮细胞。
2. 上皮样血管内皮瘤: 间质黏液透明样,肿瘤细胞短梭形或呈小巢状排列,瘤细胞呈圆形、多边形,胞质丰富,常见胞质内管腔或空泡形成,管腔或空泡内含单个或多个红细胞,有时可在血管内形成乳头状结构。
3. 血管瘤样纤维组织细胞瘤: 纤维性假包膜,外周可见淋巴鞘,组织细胞片状增生,间质见充满血液的空腔;CD34(-),CD31(-),ERG(-)。
预后:
良性,约 30%的病例可发生局部复发。
治疗:
局部完整切除。
参考文献:
Huang SC et al: Frequent FOS gene rearrangements in epithelioid hemangioma: a molecular study of 58 cases with morphologic reappraisal. Am J Surg Pathol. 39(10):1313-21, 2015
Antonescu CR et al: ZFP36-FOSB fusion defines a subset of epithelioid hemangioma with atypical features. Genes Chromosomes Cancer. 53(11):951-9, 2014
Boyaci B et al: Epithelioid hemangioma of the spine: a case series of six patients and review of the literature. Spine J. 13(12):e7-13, 2013
Errani C et al: Epithelioid hemangioma of bone and soft tissue: a reappraisal of a controversial entity. Clin Orthop Relat Res. 470(5):1498-506, 2012