反应性血管内皮瘤病
Reactive Angioendotheliomatosis,RAE
同义词(或曾用名): 增生性系统性血管瘤病、弥漫性真皮血管瘤病、肾小球样血管瘤样血管瘤病、血管内组织细胞增生
概述:
是一种发生于皮肤的血管反应性增生。
发病部位: 病变多累及肢体、面部和躯干
诊断要点:
- 多见于中老年人(47-88 岁,中位年龄 65 岁),无性别好发倾向,75%伴有系统性疾病如肾衰竭、肝衰竭、心脏病、风湿性关节炎等,40%患者与医源性的免疫缺陷相关;病变多累及肢体、面部和躯干、呈多灶性的红斑、紫癜性丘疹、瘀斑或斑块,可伴有溃疡形成;
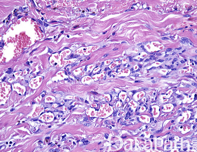
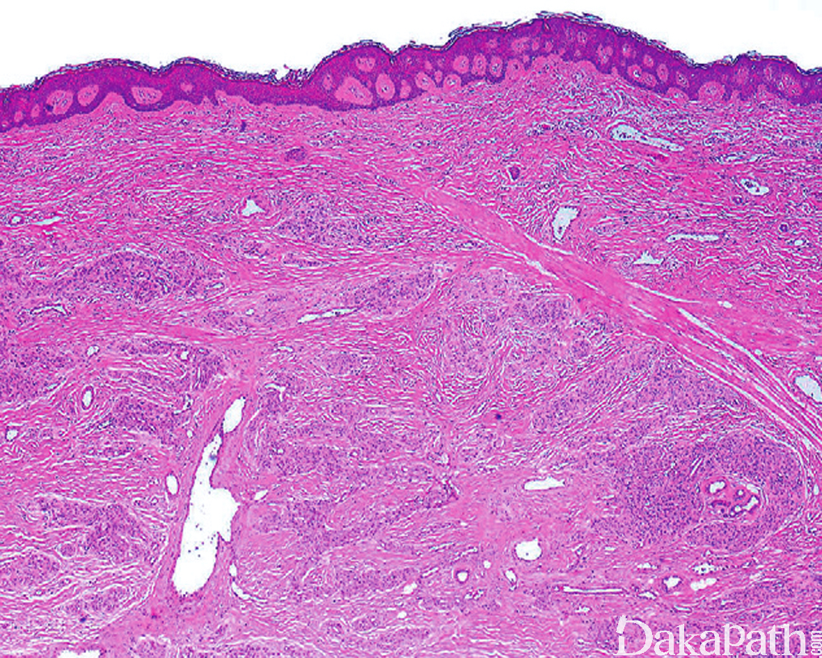
- 病变边界不清,主要累及真皮,偶见扩散入皮下组织内,由簇状增生的毛细血管组成,呈弥漫型、小叶状和弥漫-小叶混合型分布;
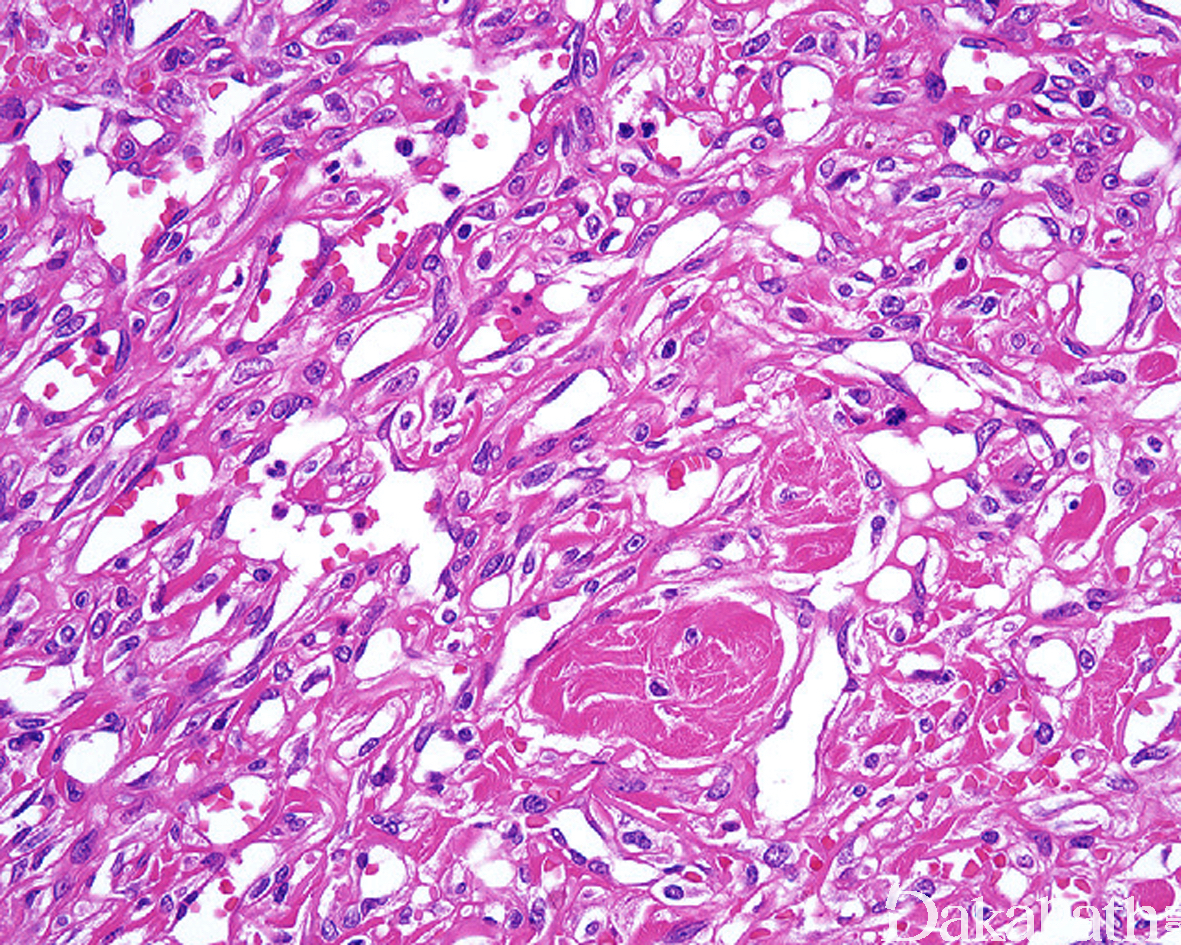
- 簇状增生的毛细血管排列紧密,内皮无明显的异型性,无复层内皮细胞增生表现,部分病例内皮可呈上皮样,内皮的周围均可见增生的周皮细胞;
- 少数病例中可见扩张的海绵状血管;
- 少数病例血管分割胶原纤维,但血管腔内无乳头状突起;
- 血管内常见纤维素性血栓形成,可伴机化,血管周围可见灶性的红细胞渗出;
- 大多数病例间质内可见含铁血黄素性沉着及慢性炎症细胞浸润,真皮的间质常见筋膜炎样反应性增生。

免疫组织化学染色:
内皮细胞 CD31. VWF 阳性,CD34 常灶性阳性,SMA 标记内皮细胞周围的肌周皮细胞,约 40%的病例中内皮细胞核表达 HHV8。
鉴别诊断:
1. Kaposi 肉瘤: 内含较多梭形细胞成分及裂隙样的血管腔隙和嗜伊红色小体,间质内的浆细胞浸润明显以及 CD34 弥漫阳性等可与反应性血管增生鉴别。
2. 杆菌性血管瘤病: 中可见明显的中心粒细胞浸润,并可见粉红色颗粒状物质,Warthin-Starry 染色可见巴尔通体。
- 簇状血管瘤:簇状血管周围可见偏心性挤压的淋巴管裂隙。
预后:
良性,部分病例可自发退变
治疗:
类固醇激素治疗
病例报道:
Reactive angioendotheliomatosis** presenting as cellulitis.
Rozenblat M, Pessach Y, Gat A, Bergman R, Sprecher E, Goldberg I.
Clin Exp Dermatol. 2013 Oct;38(7):748-50. doi: 10.1111/ced.12119. Epub 2013 Mar 15. 参考文献:
McMenamin ME, Fletcher CD.
Am J Surg Pathol. 2002 Jun;26(6):685-97.