复合性血管内皮细瘤
Composite Hemangioendothelioma
概述:
是一种呈局部侵袭性、罕见转移的血管性肿瘤,组织学上由良性、中间性和恶性成分混合组成。
发病部位: 好发于肢体的远端,特别是手足部位,部分病例可位于头颈部和内脏器官。
诊断要点:
- 多发生于成年人,偶可发生于婴幼儿,好发于肢体的远端,部分病例可位于头颈部和内脏器官;
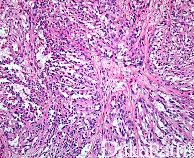
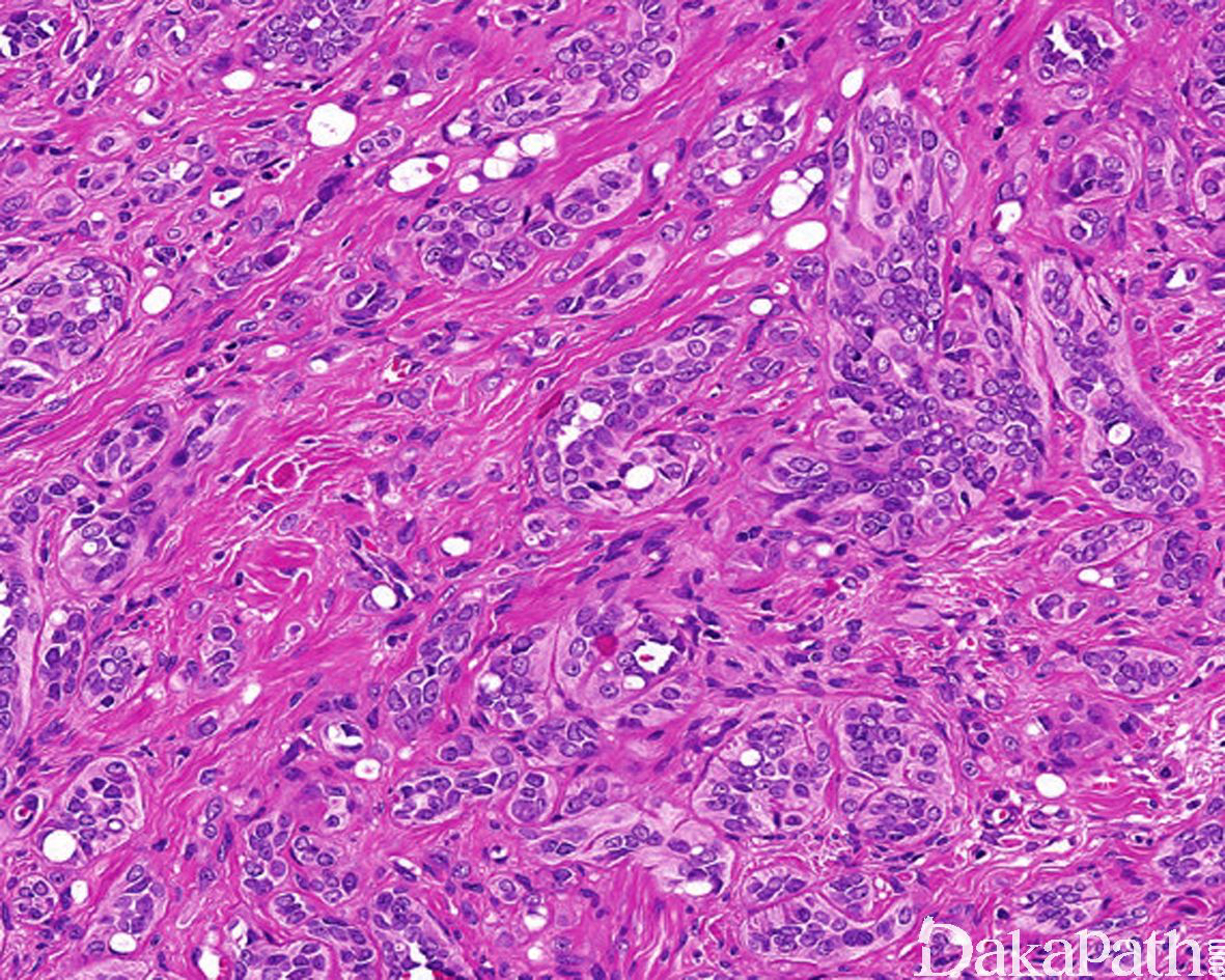
- 肿瘤位于真皮深层或皮下,呈浸润性生长;
- 镜下良性血管瘤、中间型血管内皮瘤和血管肉瘤成分混合组成,三者比例多少不等;
- 良性血管瘤成分可表现为梭形细胞血管瘤、动静脉畸形和局限性淋巴管瘤;
- 中间型血管内皮瘤成分包括上皮样血管内皮瘤和网状血管内皮瘤;
- 血管肉瘤成分常由分支状或交通状的肿瘤性血管组成,内衬的内皮细胞有一定的异型性,可见少量核分裂像,罕见坏死;
- 部分肿瘤内可见大量空泡状的内皮细胞,呈假脂肪母细胞形态。

免疫组织化学染色:
内皮细胞 ERG、FLI-1. CD31. CD34. F8,部分可表达神经内分泌标志物(Syn, CD56, CgA 等),不表达 HHV8. D2-40. 角蛋白,EMA、SMA、CAMTA1。
分子标记:
无
鉴别诊断:
多态性血管内皮细胞瘤:主要发生于淋巴结内,通常由网状型血管内皮细胞瘤样区域和实性的内皮细胞组成,瘤细胞异型性轻微,核分裂象稀少。
预后:
常见复发,罕见转;表达神经内分泌标志物的复合型血管内皮细胞瘤侵袭性更强。
治疗:
手术扩大切除并随访
病例报道:
Bhat A, Chowdappa V. Composite Hemangioendothelioma: Report of a Rare Case[J]. Journal of Clinical & Diagnostic Research Jcdr, 2016, 10(10):ED01. 参考文献:
Shang L S, Fisher C, Thway K. Composite hemangioendothelioma: clinical and histologic features of an enigmatic entity[J]. Advances in Anatomic Pathology, 2015, 22(4):254-259. Perry K D, Allbraheemi A, Rubin B P, et al. Composite hemangioendothelioma with neuroendocrine marker expression: an aggressive variant.[J]. Modern Pathology An Official Journal of the United States & Canadian Academy of Pathology Inc, 2017, 30(11):1589.
← 滑膜血管瘤 假肌源性血管内皮细胞瘤 →