婴幼儿富于细胞性血管瘤
Cellular Hemangioma of Infancy
同义词(或曾用名): 草莓痣、幼年型血管瘤、婴幼儿良性血管内皮瘤
概述:
是一种不成熟的毛细血管瘤。
发病部位: 头颈部
诊断要点:
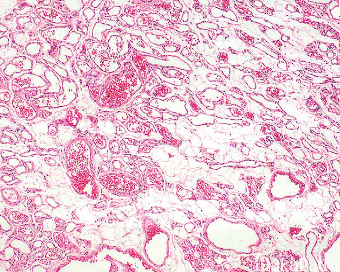
主要见于婴幼儿,可发生于躯体的任何部位,以头颈部多见,病变位于皮肤和浅表软组织,偶可累及深部软组织;
早期病变呈模糊的小叶状或实性结构排列,可累及皮下脂肪或骨骼肌;小叶或实性结节由胖梭形内皮细胞形成管腔结构不明显的大量毛细血管,毛细血管周围可见明显肌周皮细胞增生,在小叶的周围至少局灶可见管腔结构明显的血管形成;内皮细胞可见活跃的核分裂像;间质稀少,可见明显的肥大细胞。
当病变渐趋成熟及血流贯通时,内皮细胞变扁平,血管结构较为明显,血管周可见增厚的基底膜样物质沉积;间质疏松水肿或由纤维脂肪组织取代;类似成年型的毛细血管瘤;
约 10%的病例中可见病变累及甚至于神经内生长,不应误认为是恶性。

免疫组织化学染色:
内皮细胞弥漫表达 CD31. CD34. Fli-1 以及 GLUT-1 等
鉴别诊断:
肌周细胞瘤/肌纤维瘤:双相型结构,血管外皮瘤样结构,肌周细胞围绕血管呈洋葱皮样或同心圆状排列;
化脓性肉芽肿:常见于口腔和妊娠期,表皮溃疡形成,小叶之间水肿和中性粒细胞浸润;内皮细胞不表达 GLUT-1。
预后:
良性,部分可自发消退。
治疗:
较小的病变观察;较大的病变可采用手术、激光切除或内科治疗
参考文献:
North PE, Waner M, Mizeracki A, et al. GLUT1: a newly discovered immunohistochemical marker for juvenile hemangiomas. Hum Pathol. 2000;31:11–22.