窦岸细胞血管瘤
Littoral Cell Angioma,LCA
概述:
是一种发生于脾脏的特殊类型血管瘤,由 Falk 等于 1991 年首先描述.
发病部位: 主要发生于脾脏
诊断要点:
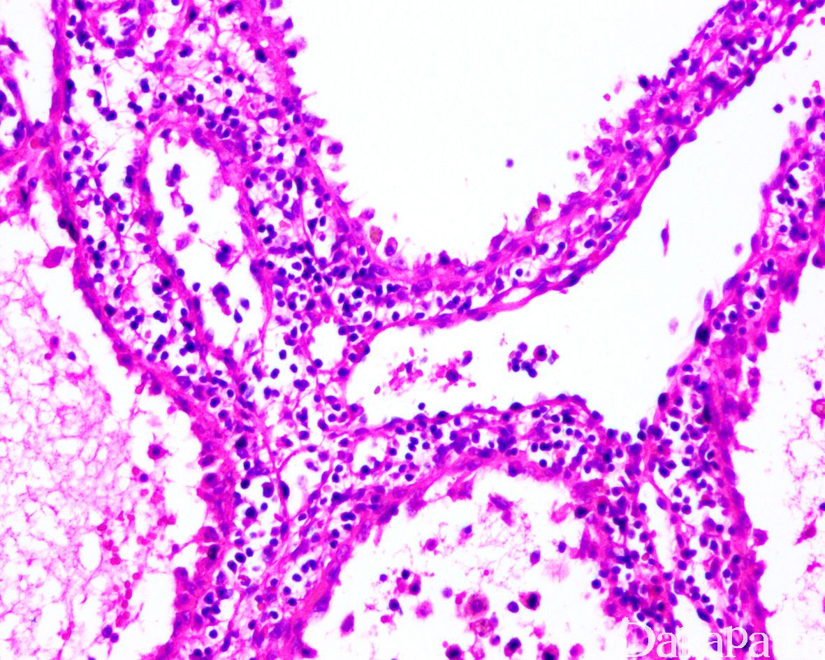
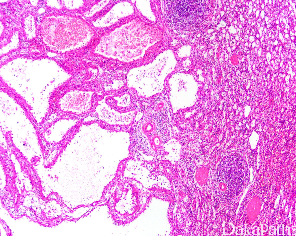
- 可发生于任何年龄,部分可伴发内脏器官的恶性肿瘤;大体上常呈多发或单发的结节状,界限清楚,位于脾脏红髓;
- 结节大小不一,由形态一致的血管互相吻合成网状,似脾窦;
- 血管腔不规则,部分囊状扩张伴突向血管腔的具纤维性间质轴心的乳头结构,其表面衬覆单层内皮细胞;
- 内皮扁平或高柱状,常脱落至血管腔内,常见吞噬红细胞现象或含铁血黄素,可呈泡沫样;
- 部分内皮细胞胞质内充满 0.5 ~ 2μm 大小的嗜伊红色小球的窦岸细胞,为该血管瘤的特征性细胞,电镜下,这些小球由溶酶体和线粒体聚集形成;
- 内皮细胞一般无异型,核分裂很少或无,少数病例中,瘤细胞可出现明显的异型性.核分裂活跃,可称为窦岸细胞血管肉瘤

免疫组织化学染色:
内皮细胞表达 LYVE-1,ERG, CD31. F8,偶可表达 CD34,大多数还表达 CD68. CD163. α1-AT、lysozvme 和 cathepsin-D,不表达 D2-40 和 CD8
鉴别诊断:
血管肉瘤 :常为多结节性,伴有出血、囊性变和坏死,部分病例中还可见实性区域;内皮细胞有异型性,可见核分裂像,CD34 常阳性
预后:
良性
治疗:
手术切除
病例报道:
Littoral-cell angioma of the spleen: a case report.
Liu D, Chen Z, Wang T, Zhang B, Zhou H, Li Q.
Cancer Biol Med. 2017 May;14(2):194-195. doi: 10.20892/j.issn.2095-3941.2016.0094. 参考文献:
Peckova K, Michal M, Hadravsky L, Suster S, Damjanov I, Miesbauerova M, Kazakov DV, Vernerova Z, Michal M.
Histopathology. 2016 Nov;69(5):762-774. doi: 10.1111/his.13026. Epub 2016 Aug 19.