肌内血管瘤
Intramuscular Hemangioma
概述:
是一种发生于骨骼肌内的良性血管瘤,是最常见的深部血管瘤。
发病部位: 好发于大腿,其次是头颈、躯干、上肢,偶尔见于心肌。
诊断要点:
好发于中青年,任何年龄,以 30 岁为多,无明显性别差异;
缓慢生长的肿块,常伴有疼痛,尤其是运动后;
3 好发于大腿,其次是头颈、躯干、上肢,偶尔见于心肌;
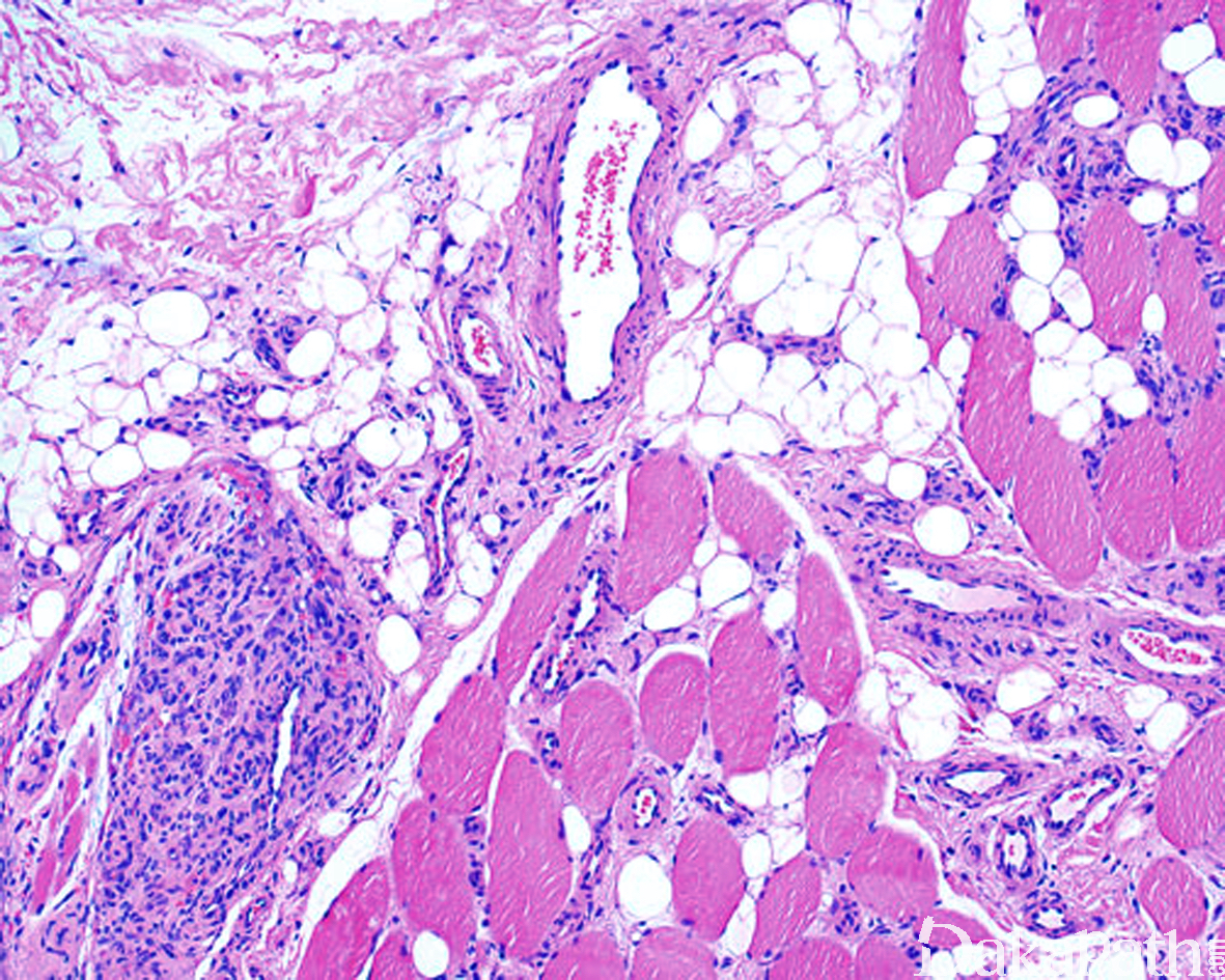
镜下:肌内血管增生,常界限不清, 周围骨骼肌组织常伴有成熟脂肪化生;
血管瘤形态多样,常由厚壁静脉、动脉、毛细血管、扩张的厚壁血管混合组成,也可伴有淋巴管;
可表现为毛细血管型、海绵状血管型或混合型。

免疫组织化学染色:
内皮细胞 CD31. CD34 及 ERG 阳性。
鉴别诊断:
1. 血管肉瘤 : 很少见于深部组织,血管腔相互串通,内皮细胞多层,常伴多形性,核染色深。
2. 血管瘤病 : 常为先天性,病变范围广或多部位发生。
3. 高分化脂肪肉瘤: 主要由脂肪瘤样细胞构成,常见核深染的间质细胞。
预后:
明显复发倾向(30-50%);是否复发主要与肿瘤大小及切缘是否干净有关;尚无转移性病例报道。
治疗:
广泛切除。
参考文献:
Yilmaz S et al: Intramuscular capillary-type hemangioma: radiologic-pathologic correlation. Pediatr Radiol. 44(5):558-65, 2014
Van Abel KM et al: Intramuscular hemangioma of the scalene musculature masquerading as a paraganglioma: a case series. Am J Otolaryngol. 34(2):158-62, 2013
Rossiter JL et al: Intramuscular hemangioma of the head and neck. Otolaryngol Head Neck Surg. 108(1):18-26, 1993
Beham A et al: Intramuscular angioma: a clinicopathological analysis of 74 cases. Histopathology. 18(1):53-9, 1991