多形性黄色星形细胞瘤
Pleomorphic Xanthoastrocytoma(PXA)
概述:
通常为 WHO II 级星形细胞瘤,新的分类中将 PXA 伴间变归入 WHO III 级,常发生于儿童及年轻人,与弥漫性胶质瘤相比预后相对较好。
发病部位: 通常位于大脑半球,以颞叶多见,位置表浅
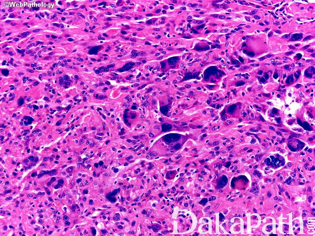
诊断要点:
发生于儿童及年轻人,临床常见癫痫,及脊椎肿瘤相关的运动及感觉功能障碍;
大体:常呈不连续散在分布,肿瘤延软脑膜生长,约 50%的肿瘤出现囊性变;
肿瘤实体成分通常位于蛛网膜下腔,呈簇状或巢状结构,可见多形性及巨细胞以及大的脂质细胞(可以少见或缺如);
可见嗜酸性颗粒小体;
网织纤维围绕单个细胞或细胞簇分布,可见血管周围淋巴细胞浸润,少数病例可见神经节细胞,极少数病例可见黑色素性肿瘤细胞,肿瘤偶见 Rosenthal 纤维;
可类似弥漫性星形细胞瘤的浸润性生长,部分病例可见钙化;
间变性特点:具体分级标准(III 级或 IV 级)尚未确立,但高级别病变显示:细胞丰富、多形性减少、细胞更趋于上皮样而非梭形(与 II 级相比)、核分裂增多(≥ 5/10 HPF)、血管增生及坏死(部分病例)及伴上皮样细胞成分(部分肿瘤)。
组织化学:单个细胞或细胞簇周围网状蛋白特殊染色阳性,嗜酸性颗粒小体 PAS 阳性。

免疫组织化学染色:
部分细胞 GFAP 呈阳性(非全部);神经成分(若有) Synaptophysin 呈阳性;Neurofilament 常呈阴性;CD34 呈阳性;Ki67 的阳性指数依据间变程度而定;小核的胶质细胞 Olig2 呈阳性。
鉴别诊断:
胶质母细胞瘤 :常呈浸润性生长,细胞密度更高,常无束状排列结构,很少嗜酸性颗粒小体,伴有 EGFR 扩增或 IDH1/2 突变;上皮样胶质母细胞瘤常见均匀一致的小圆细胞,多形性不如 WHO III 级的 PXA 明显。
神经节细胞肿瘤 :异形的神经节细胞,非多形性神经胶质成分,部分可见微囊形成,脂质细胞及黄色瘤细胞缺如。
毛细胞性星形细胞瘤伴退行性不典型性 :微囊成分伴黏液基质,致密成分伴双极细胞,多形性不显著,可见多核细胞,纤维性明显,亦见 Rosenthal 纤维及黏液背景,毛样细胞伴双极胞突。
← 胖细胞星形细胞瘤,IDH突变 胶质肉瘤 →