鼻窦脑膜瘤
Meningioma Of The Sinonasal Tract
概述:
鼻腔、鼻窦及鼻咽的脑膜上皮细胞的良性肿瘤。
发病部位: 大部分肿瘤鼻腔与鼻窦同时发生,鼻腔独自发生(约 25%),颚窦是最常见的发生部位。
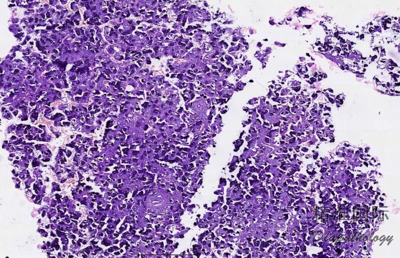
诊断要点:
鼻窦脑膜瘤占鼻窦及鼻咽部肿瘤的 0.2%,20%的脑膜瘤可颅外延伸。发病平均年龄 40-48 岁,女性发病比男性晚十年,男女发病比例 1:1.2。临床主要表现为无痛性肿大、鼻塞、鼻漏、鼻出血及鼻炎、疼痛、头疼、癫痫发作,眼球突出、眶周水肿、视觉改变及眼睑下垂。
大体表现完整的表面黏膜且浸润至骨,示灰褐、灰白,可沙砾感,只稍硬、有弹性,部分表现为息肉样。肿瘤大小 1-8cm(平均 3.5cm)。
组织学中肿瘤细胞浸润性生长,包括周围软组织及骨。肿瘤细胞没有明显边界,形成脑膜上皮性(合胞体样)结节,可见漩涡状结构、沙粒体,上皮样细胞含有圆形或卵圆形核,核染色质均匀一致,核内包涵体(胞浆内陷形成)。
可见过渡型、化生型、沙粒体型及非典型脑膜瘤,但脑膜上皮瘤型脑膜瘤在鼻窦腔中最为常见。

免疫组织化学染色:
- 阳性:EMA、CK、CK7 (灶状、沙粒体周围环状染色)及 CAM5.2。 2) 弱阳性:S100. CEA-M、 Bcl-2. PR。 3) 阴性:GFAP、chromogranin 及 synaptophysin。
鉴别诊断:
血管纤维瘤(Angiofibroma):仅限男性,鼻咽部,间质胶原化,间质细胞星芒状,偶见鹿角样血管。
侵袭性假沙粒体样骨化纤维瘤 (Aggressive Psammomatoid Ossifying Fibroma):患者比较年轻,丰富沙砾小体,可见成骨细胞及破骨细胞,致密或席纹状间质。
嗅觉神经母细胞瘤 (Olfactory Neuroblastoma):发生在筛状板,结节状生长,胞浆稀少的小肿瘤细胞,神经丝背景,菊形团/假玫瑰花环样结构。
恶性黑色素瘤 (Melanoma):组织形态多样,核内浆样包涵体,显著核仁,黑色素标记物阳性。
副神经节瘤 (Paraganglioma):鼻窦部比较少见,巢状分布,胞浆嗜碱性,CgA 副神经节细胞阳性,S100 支持细胞阳性。
← 鼻窦结外NK_T细胞淋巴瘤 鼻窦尤文肉瘤 →