鼻窦黏膜恶性黑色素瘤
Malignant Mucosal Melanoma(MMM)Of Sinonasal Tract
概述:
神经嵴肿瘤起源于黑色素细胞及表现黑色素分化。
发病部位: 15-20%的黑色素瘤发生在头颈部,80%位于皮肤,眼睛起源占恶性黏膜黑色素瘤大部分,鼻窦仅次之,鼻中隔前段 > 上颌窦。
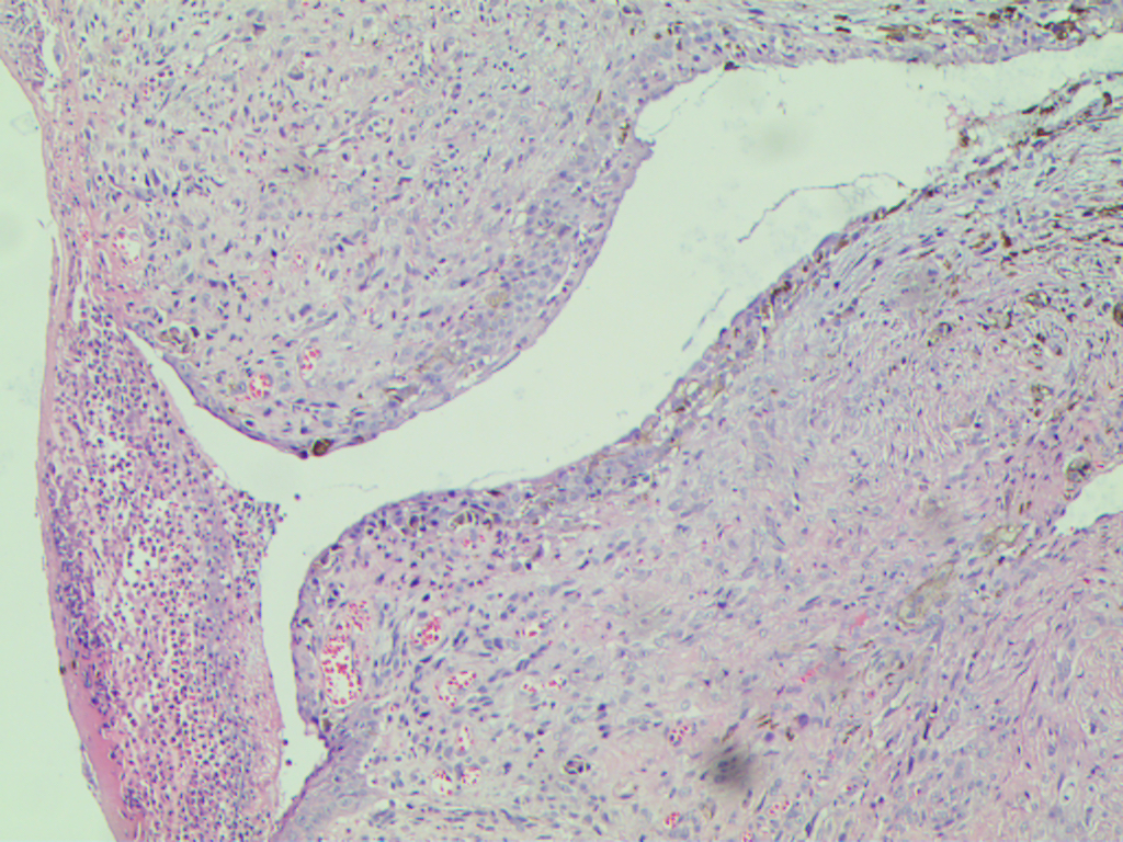
诊断要点:
发病年龄范围比较广,多见于 50-80 岁。男女发病机率均等。临床主要表现为鼻塞、鼻出血及溢液,息肉样。
大体大部分呈息肉样,灰白、棕色或黑色,常见表面溃疡及糜烂。肿瘤平均 2-3cm。
组织学上千变万化,交界区及及表皮浸润可提示肿瘤原发,常见表面溃疡,骨及软组织浸润。
生长方式多种,可呈上皮样、实性、器官样、片状、巢状及乳头状结构,束状、交叉簇状、席纹状及血管外皮瘤样,脑膜上皮样;
细胞形态多样:未分化、上皮样、小细胞、浆样细胞、横纹肌样及巨细胞样均有可能见到;核空泡样,但有时染色深,可见显著的、不规则的嗜酸性大核仁;常见核内浆样包涵体;核分裂像易见,并可见非典型核分裂像;肿瘤细胞常含有色素;常可见坏死;
少数病例可见促结缔组织增生性纤维化;外周神经浸润提示预后差。

免疫组织化学染色:
S100. HMB-45. Melan-A、SOX10. microphthalmia transcription factor (MIFT)、tyrosinase 及 vimentin 均阳性; 74%的病例 P16 表达缺失。
鉴别诊断:
嗅神经母细胞瘤**(Olfactory Neuroblastoma):叶状结构,纤丝样基质,可见菊形团及假菊形团,CD56, chromogranin, synaptophysin 呈阳性,支持细胞 S100 阳性。
鼻窦未分化癌 (Sinonasal Undifferentiated Carcinoma):细胞角蛋白弥漫强阳性及黑色素标记阴性。
横纹肌肉瘤 (Rhabdomyosarcoma):趋于年轻患者,巢状、腺泡样与恶黑比较相似,横纹的出现有助于诊断,Desmin, MYOD1, myogenin, SMA, MSA, CD56 常阳性,黑色素标记阴性。
脑膜瘤 (Meningioma):鼻窦的脑膜瘤一般继发于颅内脑膜瘤,脑膜上皮样生长模式,梭形细胞伴核内浆样包涵体。EMA, CK7 呈阳性; SOX10, S100 一般呈阴性。
平滑肌肉瘤 (Leiomyosarcoma):束状结构,常常与坏死及核分裂像高有关,核周空泡及雪茄样杆状核,肌源性标记呈阳性;黑色素标记阴性。
双表型鼻窦肉瘤 (Biphenotypic Sinonasal Sarcoma):边界欠清,浸润性生长,丰富梭形肿瘤细胞伴有上皮内陷,核分裂像偏少。S100, SMA, MSA 呈阳性; 而 SOX10, HMB45, Melan-A, tyrosinase 呈阴性。
浆细胞骨髓瘤 (Plasma Cell Myeloma):浆样细胞片状增生,核周空晕,圆形核呈钟表盘样染色质分布。CD138, CD79a, κ 或 λ, 及其他造血相关标记阳性。
婴儿黑色素性神经外胚层瘤 (Melanotic Neuroectodermal Tumor of Infancy):新生儿期的肿瘤,常影响腭骨,伴有小细胞及大细胞的双相肿瘤,黑色素易见。
转移性黑色素瘤 (Metastatic Melanoma)交界区及 Paget 样扩散可帮助排除转移可能,需要结合临床及放射学综合考虑。
间叶性软骨肉瘤 (Mesenchymal Chondrosarcoma)小的、未分化细胞形态表现,可见软骨形态,S100 软骨肿瘤细胞呈阳性;而 HMB-45, tyrosinase, Melan-A 均呈阴性。
← 鼻窦间叶性软骨肉瘤 鼻窦未分化多形性肉瘤 →