少突胶质细胞瘤,非特指型
Oligodendroglioma,NOS
概述:
伴少突胶质细胞特点的浸润性胶质瘤,属于 WHO II 级。
发病部位: 常位于大脑半球(额叶多见),但灰质深部、基底节及丘脑少见,颅后窝及脊髓罕见。
诊断要点:
临床表现:可见癫痫及根据部位而定的神经功能缺陷。
大体:可见皮质增厚,肿瘤界限不清。
组织结构:向脑实质浸润性生长;
继发性结构改变:神经周围卫星现象、血管周围及软膜下肿瘤细胞聚集,微囊形成,有时可见器官样结构(多见于 III 级);
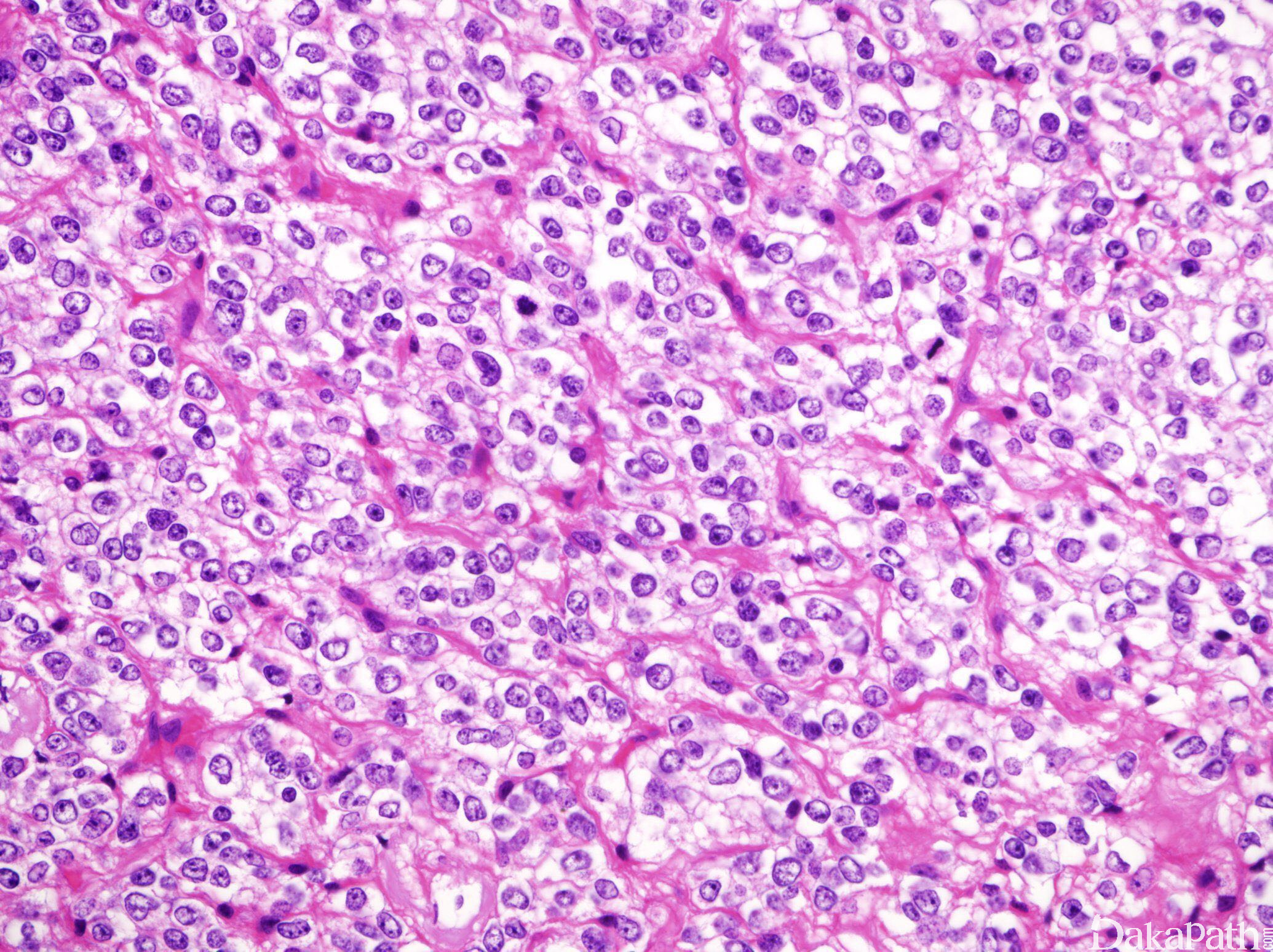
细胞特点:密度可极低至较高,富于细胞的结节常伴核分裂增多。胞浆无色透明(煎蛋样改变),细胞紧密排列,边界清楚。可见光滑的楔形细胞伴顶端玻璃样或纤维性包涵体(胶质纤维性少突胶质细胞),或小的肥胖星形细胞样细胞伴透明纤维性胞浆及短胞突;
血管成分:纤细分支状(铁丝网样)毛细血管;
III 级肿瘤:可见胞浆内强嗜酸性颗粒。胞核呈上皮样改变的胞界清楚的大圆形细胞尤为多见。可见血管肥大/增生,肾小球样血管不常见。常见球形钙化;
少数可见神经元及间叶性分化。
遗传学改变:无 1p/19q 共缺失及 IDH1/IDH2 突变,或未进行遗传学检查或遗传学检查结果不确定

免疫组织化学染色:
突变型 IDH-1 在成人病例中常呈胞核及胞浆阳性,而儿童病例中通常呈阴性。Olig2. Nestine 呈阳性。胶质纤维性细胞和小的肥胖星形细胞样细胞等具有嗜酸性胞浆的细胞 GFAP 常呈阳性。但是 GFAP 阳性并不能作为诊断混合性少突星形细胞瘤的依据。神经细胞分化的区域(尤其是神经纤维网)Synaptophysin 阳性,偶见无神经元分化的肿瘤细胞局灶至阳性。并不显示 P53 强阳性或 ATRX 核缺失。
鉴别诊断:
弥漫性星形细胞瘤 (II 级):细胞分布不规则,核多形性更明显,核染色深,核仁不清,部分可见胶质纤维性背景,约 25%的病例 P53 核呈弥漫阳性,肿瘤细胞核 ATRX 缺失,无 1p/19q 共缺失。
胚胎发育不良性神经上皮肿瘤 :漂浮的神经元,结节内特异的胶质神经元成分,无神经周围卫星现象,常无 1p/19q 共缺失,无 IDH-1 突变。
透明细胞性室管膜瘤 : 血管周围假菊形团,常伴有核沟或核裂,部分病例 EMA 微管结构呈阳性,Olig2 及 IDH-1 呈阴性。
神经细胞性肿瘤 :常发生于脑室内,无浸润性生长,可见纤细的神经毡结构,有时可见菊形团(此结构仅偶尔出现于少突胶质细胞瘤),synaptophysin 弥漫阳性,Olig2 阴性或仅局灶阳性,无 IDH-1 突变,且无 1p/19 共缺失。
富于巨噬细胞病变
脱髓鞘疾病:边界清楚,血管周围慢性炎细胞浸润,巨噬细胞胞浆呈泡沫样、非透明颗粒状,PAS(+), CD68(+), HAM56(+),Olig2(-)及 IDH1 (-),可见多核星形细胞。
梗死:亦可见巨噬细胞,胞浆呈泡沫样、非透明颗粒状,PAS(+), CD68(+), HAM56(+), IDH-1(-),急性期可见缺血性红色神经元,内皮细胞肥厚及增生。
← 毛细胞性星形细胞瘤 间变性少突胶质细胞瘤 →