蕈样霉菌病
Mycosis Fungoides, MF
概述:
MF 是一种原发性皮肤 T 细胞淋巴瘤,组织学特征为小到中等大小的常具脑回样核形的异性淋巴胞侵润,临床进程表现为斑片、斑块、结节的不同发展阶段。
诊断要点:
为最常见类型皮肤 T 细胞淋巴瘤(占所有原发皮肤淋巴瘤的 50%),主要见于中老年,但年轻成人和儿童也可发病。早期局限于皮肤,特别是避光区域,但随时间可累及全身皮肤广泛区域,晚期侵犯淋巴结和内脏,但罕见侵犯骨髓。
典型临床皮肤表现,早期为偏平的斑片状病灶,进而发展成高出表面的斑块,最后呈现肿瘤结节。
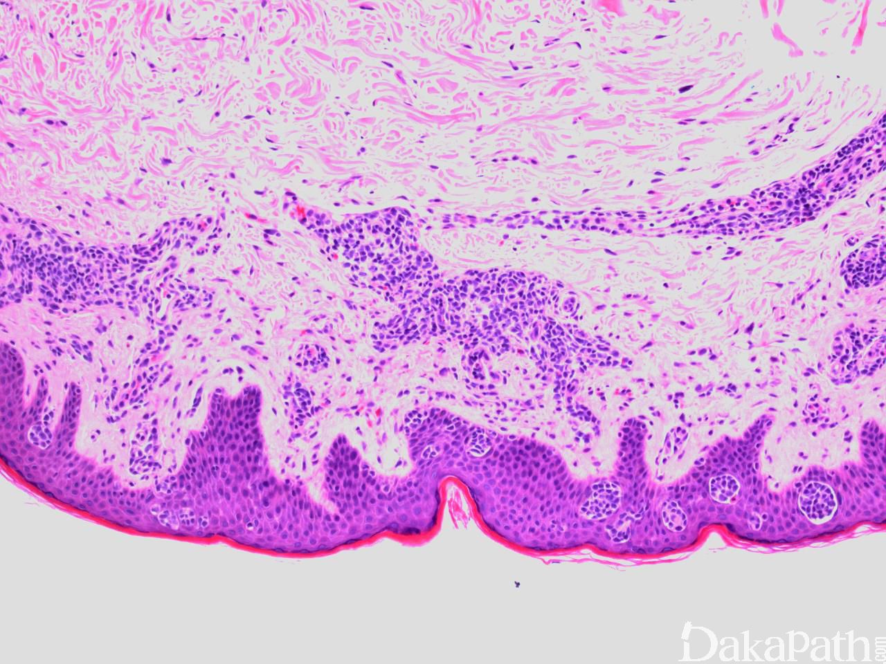
组织学上表现变异大,早期可以只是非特异的浅层血管周围小淋巴细胞侵润,及散在真皮乳头间侵润,可见单个淋巴细胞进入表皮包括基底层(单个或线性),细胞偶有异型性如含脑回样核;随后进展为真皮乳头带状侵润伴显著亲表皮性并形成特征性的 Pautrier 微脓肿,细胞也出现明显的异型性;后期肿瘤细胞在真皮呈现弥漫侵润或形成结节,可出现数量不等大的转化细胞,此时亲表皮性侵润可以不明显或消失。如大细胞超过 25%,则表明已有大细胞转化。
免疫表型:CD3+,CD5+,CD2+,CD4+,βF1+,CD7-,CD26-,CD8-;少数病例 CD8+/CD4- 和/或 TCRgamma+,其临床过程与典型 MF 相似。
TCR 基因克隆性重排。
变异型:
毛囊性蕈样霉菌病( Folliculotropic MF ):多累及头颈部, 常伴有脱发,病灶斑快状。肿瘤细胞(CD4+)主要侵犯毛囊上皮而非表皮,常伴有毛囊粘液性退行性变。预后较普通 MF 斑块期差。
Pagetoid 网状细胞增生症(Pagetoid reticulosis) :临床表现为皮肤斑片或斑块,此诊断只适用于局限性病变(见鉴别诊断)。组织学特征见异形中到大淋巴细胞,主要侵润表皮,表达 CD8,少数表达 CD4,也常 CD30+。肿瘤不扩散至皮外组织或器官,预后好。
肉芽肿性皮肤松弛症(Granulomatous slack skin) :非常罕见,临床过程惰性。主要累及皮肤皱褶部位如腋下和腹股沟。组织学表现为真皮和皮下组织有大量组织细胞和多核巨细胞集结形成肉芽肿样改变,伴小型肿瘤淋巴细胞侵润,可出现侵表皮性。肿瘤细胞 CD3+、CD4+、CD7-,TCR 基因克隆性重排。很多病例与 MF 相关,也有报道合并霍奇金淋巴瘤。

鉴别诊断:
- 皮肤慢性炎症、药物性皮疹、接触性皮炎 :MF 的组织学改变特别是早期组织学改变与这些反应性皮肤疾病有重叠,需加以鉴别。要结合多种因素如淋巴细胞有无异型性(深染的脑回样核)和亲表皮性浸润润,是否伴有嗜酸细胞等炎性细胞,病变大体形态和累及部位及范围,临床病史及病程进展过程等作综合判断。细胞的不正常免疫表型和克隆性 TCR 基因重排支持 MF。
- 原发性皮肤小/中 CD4+ T 细胞增生性疾病 (Primary Cutaneous CD4+ Small/Medium T-Cell Lymphoproliferative disorder):大多数病例表现为孤立性皮肤斑块或结节,但不形成斑片,一般在头颈部或上身。中小细胞弥漫或结节状浸润真皮层且有累及皮下组织倾向,偶尔局部进入表皮(如有明显亲表皮性,需考虑 MF)。细胞 CD3+、CD4+、CD8-,常混有相对丰富的反应性 CD20+ B 细胞。
- 原发性皮肤 CD8+ 侵袭性亲表皮细胞毒 T 细胞淋巴瘤 (Primary Cutaneous CD8+ Aggressive Epidermotropic Cytotoxic T-Cell Lymphoma):临床表现为侵袭性过程,肿瘤常侵犯全身皮肤,并累及内脏,但淋巴结通常不大。组织学变异大,肿瘤细胞小到中等或中到大,具高度的亲表皮性,同时呈现真皮带状或结节状浸润,表皮常有溃疡坏死。常破坏皮肤附件结构并呈现血管中心性浸润。肿瘤细胞 CD3+、CD8+、细胞毒抗原+、CD7+/-、CD4-、CD5-。
- 外周 T 细胞淋巴瘤,非特指 (PTCL,NOS):累及皮肤时,表现为斑块或肿瘤结节。组织学表现肿瘤细胞主要弥漫或结节性侵犯真皮,形态大小不定,可混有少量炎性细胞,有时很难与后期 MF 相鉴别(特别是也有表皮侵犯时)。如皮肤别的部位同时存在典型的斑片状病变或患者有淋巴节 T 细胞淋巴瘤病史则有助鉴别。
- 原发性皮肤间变性大细胞淋巴瘤 (ALCL):常表现为孤立性皮肤结节伴溃疡,异型大肿瘤细胞弥漫侵润,CD30 均匀一致强阳性,CD4 常阳性,但 CD5 和 CD3 通常阴性。MF 伴大细胞转化时也 CD30+,如皮肤别的部位同时存在典型的斑片状病变则有助鉴别。
- 淋巴瘤样丘疹病,B 型 (Lymphomatoid Populosis, Type B):肿瘤细胞呈现亲表皮浸润,细胞小型,胞核脑回样异型,这些特征与 MF 相似。但在低倍镜下淋巴细胞浸润范围常成楔形,更重要的是临床表现为同时存在丘疹、丘疹性坏死、结节这些不同阶段的皮肤病变,单个病变会存在数周至数月然后自行消失,留下浅表疤痕。
- 原发性皮肤 γ/δT 细胞淋巴瘤 (Primary Cutaneous γ/δT Cell Lymphoma):临床表现为侵袭性,肿瘤主要侵犯四肢可也累及全身皮肤和内脏(很少侵犯淋巴结、脾脏和骨髓)。肿瘤细胞可浸润表皮、真皮或皮下,表达 CD3. CD56. CD2. TCRδ,不表达 CD4. CD8(少数+)、CD5. βF1。