原发性皮肤 γ/δT 细胞淋巴瘤
Primary Cutaneous γ/δT Cell Lymphoma,PCGD-TCL
概述:
PCGD-TCL 是一种成熟 γ/δT 细胞淋巴瘤,具有细胞毒表型,通常侵犯全身皮肤,临床病程为侵袭性。
发病部位: 全身皮肤特别是四肢
诊断要点:
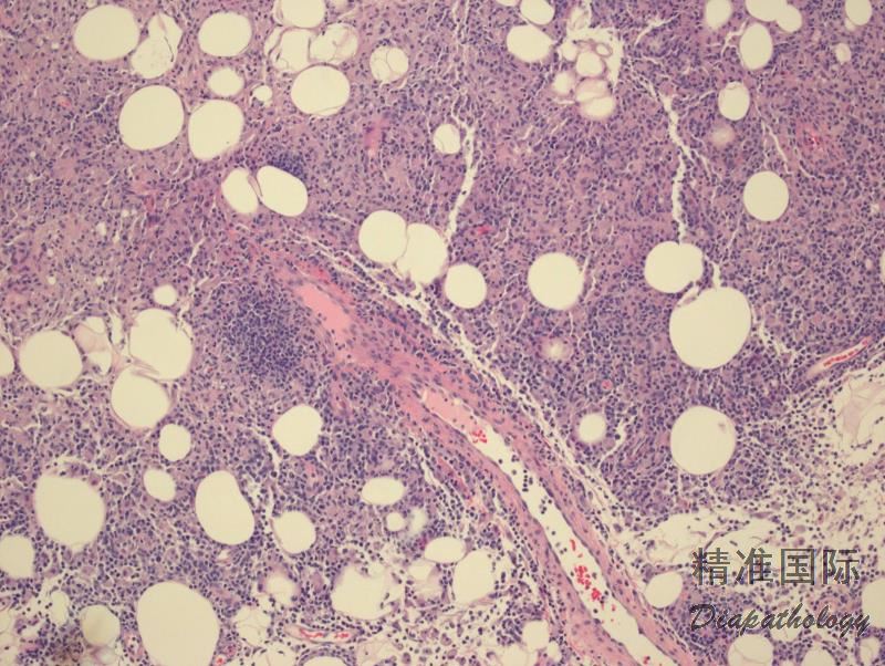
少见(占所有皮肤 T 淋巴西部瘤的 1%),成年人发病。通常累及全身皮肤特别是四肢。根据侵犯皮肤的深浅,表现为斑片、斑块和结节。侵犯粘膜等皮外组织常见,但累及淋巴结、脾脏或骨髓少见。侵袭性临床表现,常有 B 症状,或并发嗜血细胞增多症。
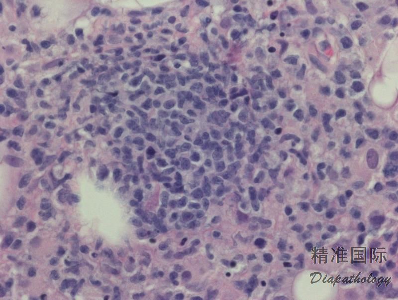
组织学上肿瘤细胞有 3 种浸润模式:亲表皮性,真皮和皮下。同一患者的不同部位或同一活检标本常见一种或多种侵润模式。表皮浸润可以是轻度或十分明显甚至呈现 Pagetoid 分布。皮下浸润时肿瘤细胞环绕脂肪细胞生长与 α/β 型 SPTCL 的相似,但同时有真皮和表皮浸润。常见血管浸润、细胞凋亡及坏死。
肿瘤细胞中到大,粗块状染色质,也少见有母细胞样泡状核, 核仁不显著。
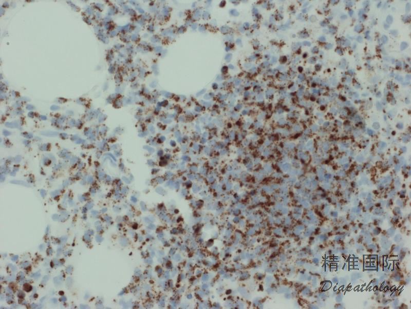
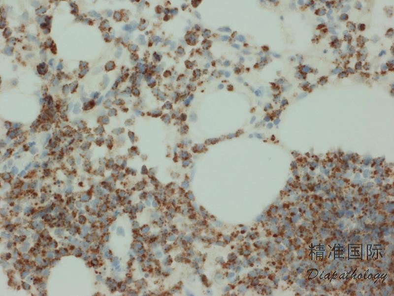
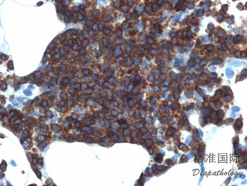
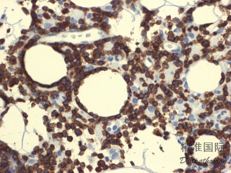
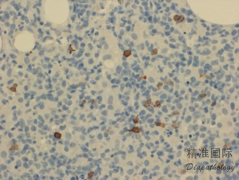
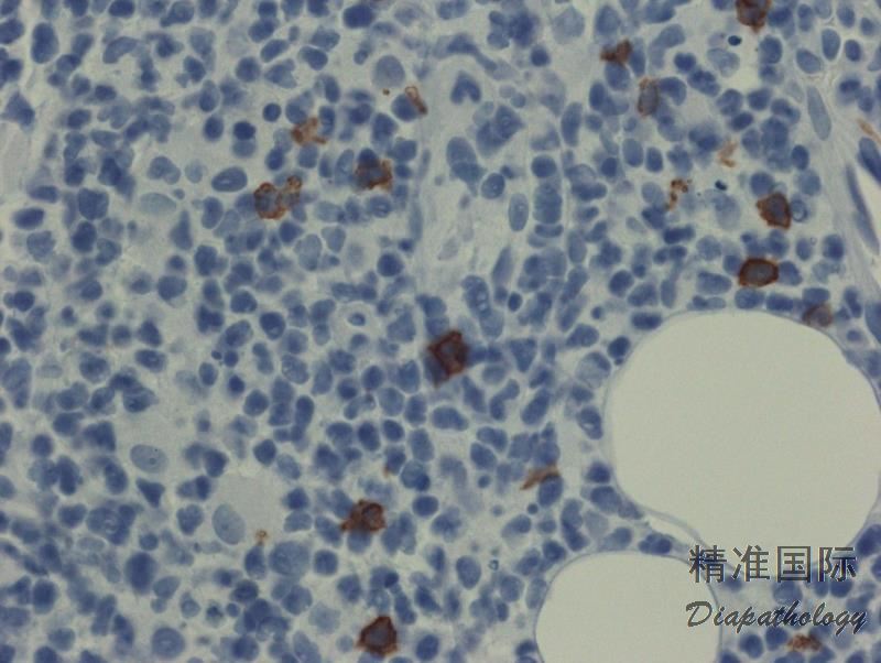
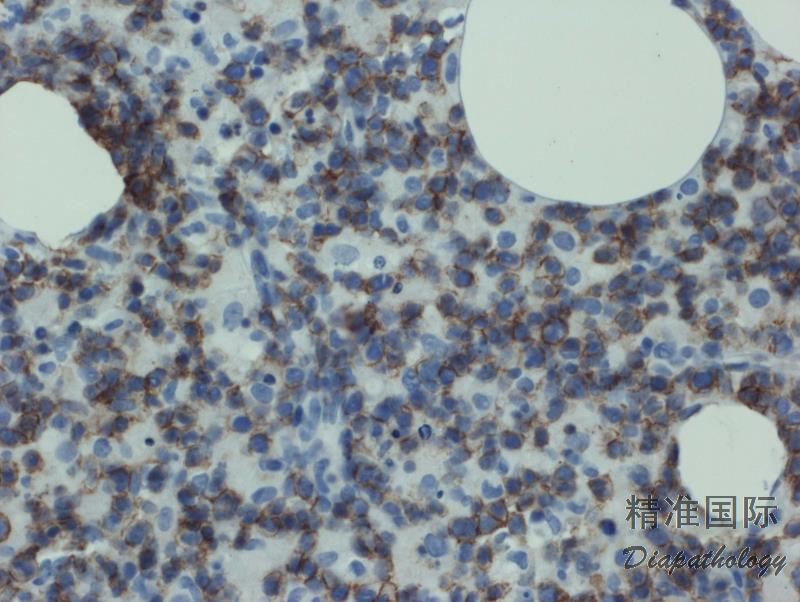
免疫表型:肿瘤细胞 CD3+、CD2+、CD56+、细胞毒分子+、TCR-δ1+、 βF1-、CD4-、CD8-(少数+)、CD5-,有的病例可 TCR-δ1+、 βF1+,EBER-。
TCR 基因克隆性重排。部分病例有 STAT5B 突变,也罕有 STAT3 突变。

免疫组织化学染色:
肿瘤细胞 CD3+、CD2+、CD56+、细胞毒分子+、TCR-δ1+、 βF1-、CD4-、CD8-(少数+)、CD5-。
鉴别诊断:
- 母细胞性浆细胞样树突细胞肿瘤 (BPDCN):常累及皮肤,呈现弥漫真皮侵润并延至皮下,但通常不累及表皮,无血管浸润和坏死。细胞核染色质细腻,除表达 CD4 和 CD56 外,还表达 CD123 和 TCL1。
- 皮下脂膜炎样 T 细胞淋巴瘤 (SPTCL):主要累及皮下,无亲表皮现象。 肿瘤细胞 CD3+、CD8+、细胞毒分子+、βF1+,但 TCR-δ-、CD56-。临床相对惰性。以前的皮下脂膜炎 T 细胞淋巴瘤 gamma/delta 型,现已分出,包括在原发性皮肤 γ/δT 细胞淋巴瘤这一类中。
- 原发性皮肤 CD8+ 侵袭性亲表皮细胞毒 T 细胞淋巴瘤 (Primary Cutaneous CD8+ Aggressive Epidermotropic Cytotoxic T-Cell Lymphoma):肿瘤细胞具亲表皮性,同时呈现真皮带状或结节状浸润,常破坏皮肤附件结构并呈现血管中心性浸润。临床表现为侵袭性过程。肿瘤细胞 CD8+、CD3+ 、βF1+,但 CD56-、TCR-δ-。
- 外周 T 细胞淋巴瘤,非特指型 (PTCL,NOS):累及皮肤时,表现为斑块或肿瘤结节。组织学表现肿瘤细胞主要弥漫或结节性侵犯真皮,形态大小不定,可混有少量炎性细胞。患者有淋巴节 T 细胞淋巴瘤病史有助鉴别。
- 蕈样霉菌病 (Mycosis Fungoides): 慢性,临床表现为典型的皮肤斑片、斑块、结节的慢性进展过程。肿瘤浸润真皮,具亲表皮性。细胞一般小到中等,常有脑回样核;CD3+,CD4+/CD8- (极少数 CD8+/CD4-),CD56-,βF1+。
- 狼疮性脂膜炎 :累及真皮及皮下,无亲表皮性。浸润细胞为淋巴细胞混合组织细胞及浆细胞,皮下组织常有黏液物质沉积。免疫表型为混合 CD4 和 CD8 T 细胞,CD56 和 TCR-δ 阴性。患者有自身免疫病史。
预后:
对放化疗不敏感,预后不良,中位生存期 15 个月。