原发性皮肤小/中等 CD4 阳性 T 细胞增生性疾病
Primary Cutaneous CD4 Positive Small/Medium T-Cell Lymphoproliferative Disorder
概述:
此肿瘤主要由小到中等多形淋巴细胞组成,弥漫侵犯真皮。临床一般表型为孤立性皮肤病变,无皮肤斑片病史,呈现良性临床过程(如同皮肤假性淋巴瘤)。2017 年版 WHO 将原名“原发皮肤小/中等 CD4+T 细胞淋巴瘤(Primary cutaneous CD4+ small/medium T-cell lymphoma)”改为“原发皮肤小/中等 CD4+ T 细胞淋巴瘤增生性疾病(Primary cutaneous CD4+ small/medium T-cell lymphoproliferative disorder)”。
发病部位: 皮肤
诊断要点:
少见,成年人发病。通常表现为头颈或躯干上部的斑块或结节,一般为孤立性,少数病例也可多发。 无 MF 特征性的皮肤斑片出现。
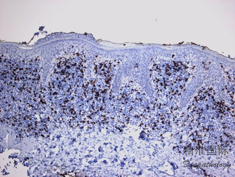
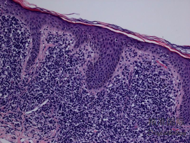
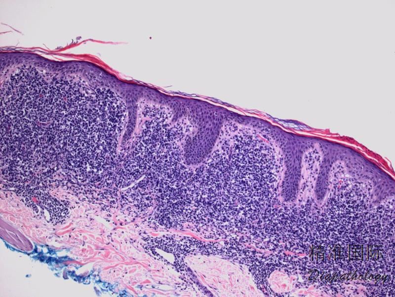
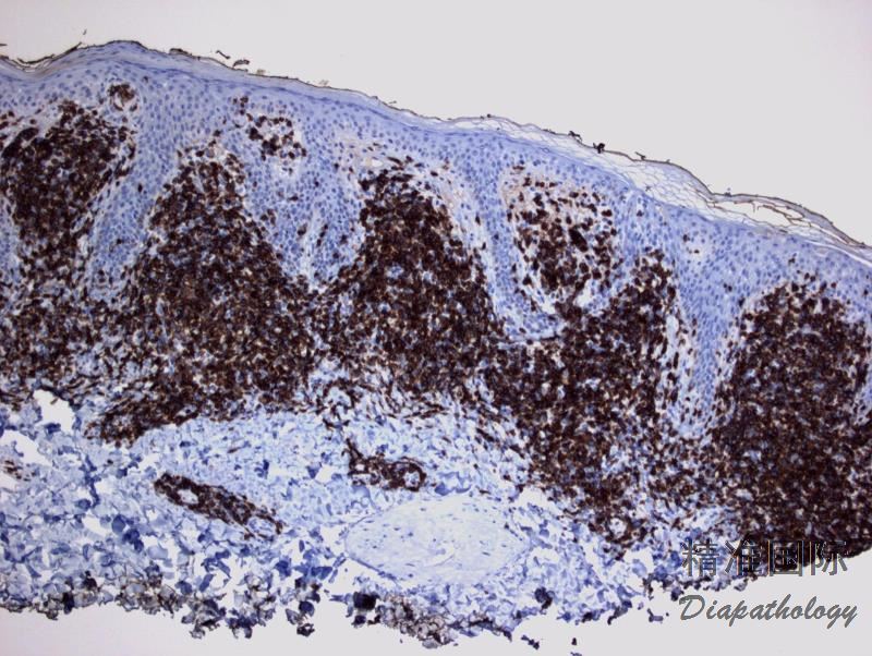
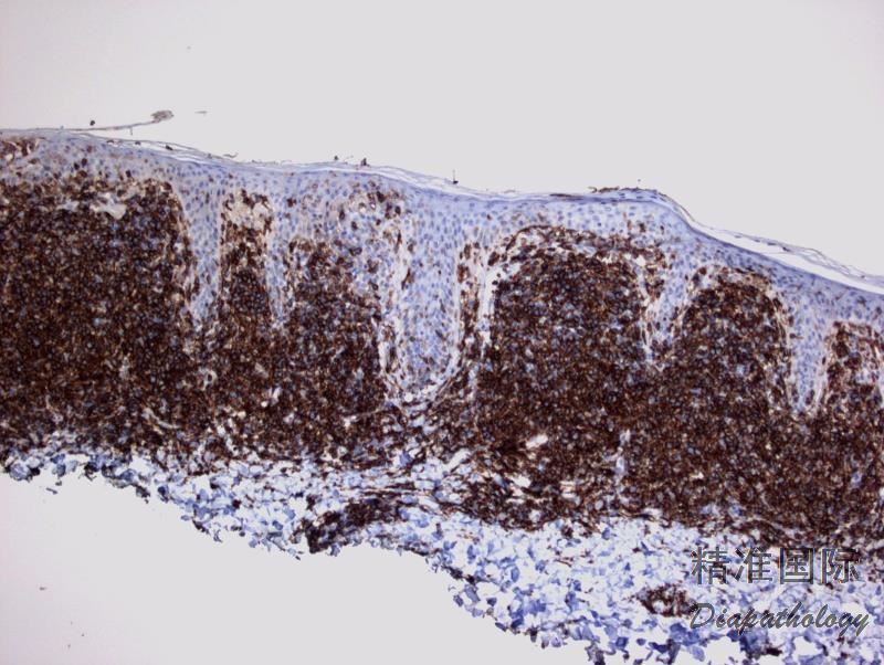
肿瘤主要弥漫侵润真皮,可延及皮下,不侵犯表皮或偶尔局部轻度累及表皮。
肿瘤细胞小到中等,多形,少数病混有大细胞(少于 30%)。常混合 B 细胞、组织细胞(包括多核巨细胞)和少量浆细胞。
免疫表型:肿瘤细胞 CD3+、CD4+、βF1+、PD1+、CXCL13. CD30-、CD8-(散在+),常混合有 CD20+ B 细胞(有时量较多);BCL6+/-,CD10-;Ki67 5%(最高不超过 20%);EBER-
TCR 基因克隆性重排。

免疫组织化学染色:
肿瘤细胞 CD3+、CD4+、βF1+、PD1+、CD30-、CD8-(散在+),常混合有 CD20+ B 细胞(有时量较多)。
鉴别诊断:
- 反应性皮肤淋巴细胞增生 :形态学上有时很难鉴别,需综合病史、临床表现、免疫和分子生物学作出诊断。如下因素支持肿瘤性病变:不存在导致皮肤病变的病史(如用药)、孤立病变持续不消退、T 细胞相关抗原丢失、TCR 基因克隆性重排。
- 蕈样霉菌病 (MF):肿瘤细胞亲表皮性浸润,脑回样核,临床呈现典型的斑片、斑块和结节病变发展过程。
- 母细胞性浆细胞样树突细胞肿瘤 (BPDCN):常累及皮肤,呈现弥漫真皮浸润并延至皮下,但细胞为单形性,核染色质细腻,除表达 CD4 和 CD56 外,还表达 CD123 和 TCL1。常累及血液系统,临床呈现强侵袭性。
- 外周 T 淋巴细胞瘤累及皮肤 :肿瘤细胞异型性更明显,临床表现为侵袭性或有系统淋巴瘤。
- 原发皮肤边缘区淋巴瘤(PCMZL) :临床表现可与原发皮肤小/中等 CD4+ T 细胞增生性疾病相似。当原发皮肤小/中等 CD4+ T 细胞增生性疾病混有较多 B 细胞时,需与 PCMZL 鉴别。PCMZL 的 B 细胞常呈片状,有时共表达 CD43,或有桨细胞样分化并表达限制性轻链。克隆性 Ig 基因重排有助诊断。
预后:
预后极佳。行局部治疗,很少复发。