急性原单和单核细胞白血病
Acute Monoblastic/Monocytic Leukemia
概述:
急性原单和单核细胞白血病以单核系增殖为特征,原单核细胞和幼单核细胞总计数 ≥20%,单核系细胞总和 ≥80%。类似于 FAB 形态学分类的 M5。不满足 AML 伴重现性遗传学异常、AML 伴骨髓增生异常相关改变和治疗相关 AML 的诊断标准。
诊断要点:
- 占 AML 的不到 5%,急性原单核细胞白血病可在任何年龄发病,但较常见于年轻人;而急性单核细胞白血病多见于成人(中位年龄 49 岁)。常见的表现有出血、髓外组织包块及累及中枢神经系统。
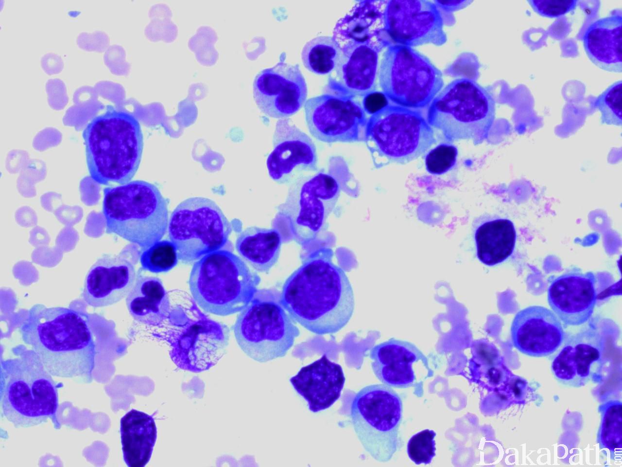
- 细胞形态学:单核系增殖,包括原单核细胞、幼单核细胞和(异常)单核细胞。原单核细胞核大圆形含显著核仁、胞质丰富噬碱、可有少量散在颗粒,幼单核细胞核轮廓较不规则或有轻微折叠、染色质较疏松、核仁小不明显、胞质含细小颗粒,异常单核细胞核明显不规则和折叠、染色质较致密、胞质含颗粒较多。Auer 小体罕见,即使有,通常是在原始粒细胞中。
- 骨髓原始细胞成分(原单核细胞和幼单核细胞) 总和 ≥20%,单核系细胞总和 ≥80%。如增殖以原单核为主 (≥80%),则为急性原单核细胞白血病;如以幼单核细胞为主,则为急性单核细胞白血病。
- 骨髓活检见细胞密度增高,原单核细胞胞体大、分化差、胞质丰富、核仁可能显著,幼单细胞核常不规则或有分叶倾向。
- 免疫表型和细胞化学:流式见不同强度表达 CD13. CD33(常强表达)、CD15. CD65,常表达至少 2 种以上单核细胞分化抗原 CD14. CD4. CD11b、CD11c、CD64. CD68. CD36,30%病例 CD34 阳性,CD117 常阳性,几乎所有的病例表达 HLA-DR,MPO 可表达于急性单核而原单则多为阴性,25-40%病例表达 CD7 和/或 CD56。免疫组化 CD68. CD163 常阳性且特异性好,lysozyme 常阳性但特异性差,MPO 常阴性。细胞化学染色 NSE 常强阳性,但 10-20%原单核病例阴性,对这些病例需借助免疫组化才能诊断。
- 遗传学:多数病例可见非特异性的细胞遗传学改变。伴 t(8;16);(p11.2;p13.3)的病例常并发嗜血细胞增多症。

鉴别诊断:
- 急性髓系白血病不伴成熟 :原始细胞形态有时类似原单核细胞,但缺乏幼单核和异常单核成分,CD34 常阳性,通常不表达单核系抗原。
- 急性粒-单核细胞白血病 :粒、单核系同时增殖,原始细胞除原单、幼单核外,还有原始粒细胞;单核成分低于 80%。细胞化学和免疫学证实有粒、单两种肿瘤细胞成分。
- 急性幼粒细胞白血病 (微小颗粒亚型) :细胞核常有折叠分叶,胞质颗粒不明显,与幼单核有相似之处。但仔细寻找,总是能发现含 Auer 小体的细胞 (甚至多个或捆状),MPO 强阳性,FISH 检测有 t(15;17)。
- 软组织肉瘤或淋巴瘤 :急性原单和单核细胞白血病侵犯髓外组织形成包块可类似软组织肉瘤或淋巴瘤,形态学和免疫组化有助鉴别。