肝脾 T 细胞淋巴瘤
Hepatosplenic T-Cell Lymphoma, HSTL
概述:
HSTL 是一种侵袭性结外淋巴瘤,系由形态单一、中等大小的细胞毒性 T 细胞增生所致,主要累及脾脏、肝脏和骨髓,呈现独特的窦内浸润方式。大多数病例起源于 γδT 细胞亚群,少数 αβ 表型。细胞遗传学常呈现等臂染色体 7q 异常。
诊断要点:
主要见于年轻成人(中位年龄 35 岁),男性居多。表现为显著脾肿大,肝肿大,但淋巴结不大,伴 B 症状。
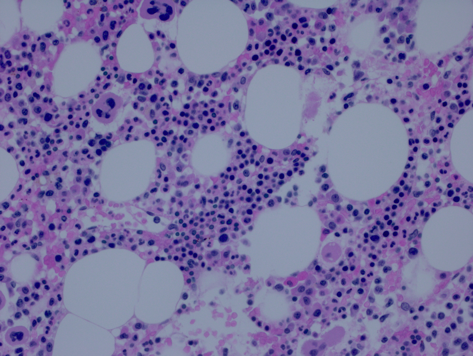
在脾脏,肿瘤细胞弥漫侵润红髓包括脾索和髓窦,白髓减少萎缩;在肝脏,主要侵犯肝窦;在骨髓,借助免疫组化,几乎所有病例都受侵犯,呈特征性的窦内侵润为主。
肿瘤细胞小到中等,形态单一,核圆形至卵圆形,轻度不规则,染色质略微稀疏,核仁不明显。胞质淡染、稀少,涂片或印片显示散在嗜天青颗粒。
免疫表型:CD3+,CD2+,CD7+,CD56+,CD5-,CD4-,CD8-(少数 CD8+),TIA1+,粒酶 B-,βF1-/TCRδ-1+,极少数病例 βF1+/TCRδ-1-,EBER-。
大多数 γδ 型存在 7q 等臂染色体 i(7)(q10)。
TCR 基因克隆性重排。部分病例有 STAT5B 或 STAT3 突变,也可以有 SETD2. INO80. ARID1B 突变。

鉴别诊断:
T 细胞大颗粒淋巴细胞白血病 (T-LGLL):肿瘤细胞分布与 HSTL 有相似之处,脾脏红髓和肝窦侵润。但骨髓侵犯以间质为主,细胞表达 CD3. CD8. CD57. TCRαβ、TIA1. 粒酶B。外周血淋细胞减少。临床过程惰性。
侵袭性 NK 细胞淋巴瘤/白血病 :肿瘤细胞侵犯肝脾及侵袭性临床表现与 HSTL 相似,但骨髓呈间质性浸润,肿瘤细胞为 NK 表型,粒酶 B+、TIA1+、EBER+,缺乏 TCR 表达。
其它部位的(非肝脾)γδT 细胞淋巴瘤 :这些包括原发性皮肤 γδT 细胞淋巴瘤、肠病相关 T 细胞淋巴瘤 (γδ 亚型) 及少数 T-LGLL(γδ 亚型)等。细胞表型均为 Tγδ,但不属于肝脾 T 细胞淋巴瘤(HSTL),发病部位、临床表现和预后各有不同。
脾脏边缘区淋巴瘤 (SMZL):白细胞和淋巴细胞计数通常高,瘤细胞可见浆细胞样分化或极性绒毛。表达泛 B 细胞抗原,不表达 T 细胞抗原。骨髓可呈现局灶浸润,甚至形成虑泡。脾脏主要累及白髓。
B 幼淋巴细胞白血病 (B-PLL):外周血淋细胞显著增高,中等大小核,中央单个显著核仁,胞浆丰富。显著肝脾肿大。表达泛 B 抗原和克隆性轻链。
毛细胞白血病 (HCL):骨髓广泛间质浸润,外周血单核细胞减少,总白细胞减少,少量毛状瘤细胞(胞膜四周均匀突起),无明显核仁。表达泛 B 细胞抗原和 CD11c、CD25. CD103。
脾脏弥漫红髓小 B 细胞淋巴瘤 和:二者均侵犯脾红髓及呈现骨髓窦内侵润。但肿瘤细胞表达泛B细胞抗原,形态也不同于 HSTL 瘤细胞(如胞膜绒毛状突起,无胞浆颗粒)。
T 幼淋巴细胞白血病(T-PLL ) :外周血淋细胞显著增高,中等大小核,中心单个明显核仁,胞浆丰富,无颗粒。除肝脾肿大外,淋巴结也肿大。无窦内侵犯倾向,骨髓呈现广泛间质浸润。表达泛 T 抗原,TCL1+,多数 CD4+/CD8-,部分病例 CD4+/CD8+,CD56-。
预后:
临床表现为侵袭性,中位生存期不到 2 年。