乳头状尿路上皮癌伴内翻性生长方式
Papillary Urothelial Carcinoma With An Inverted Growth Pattern
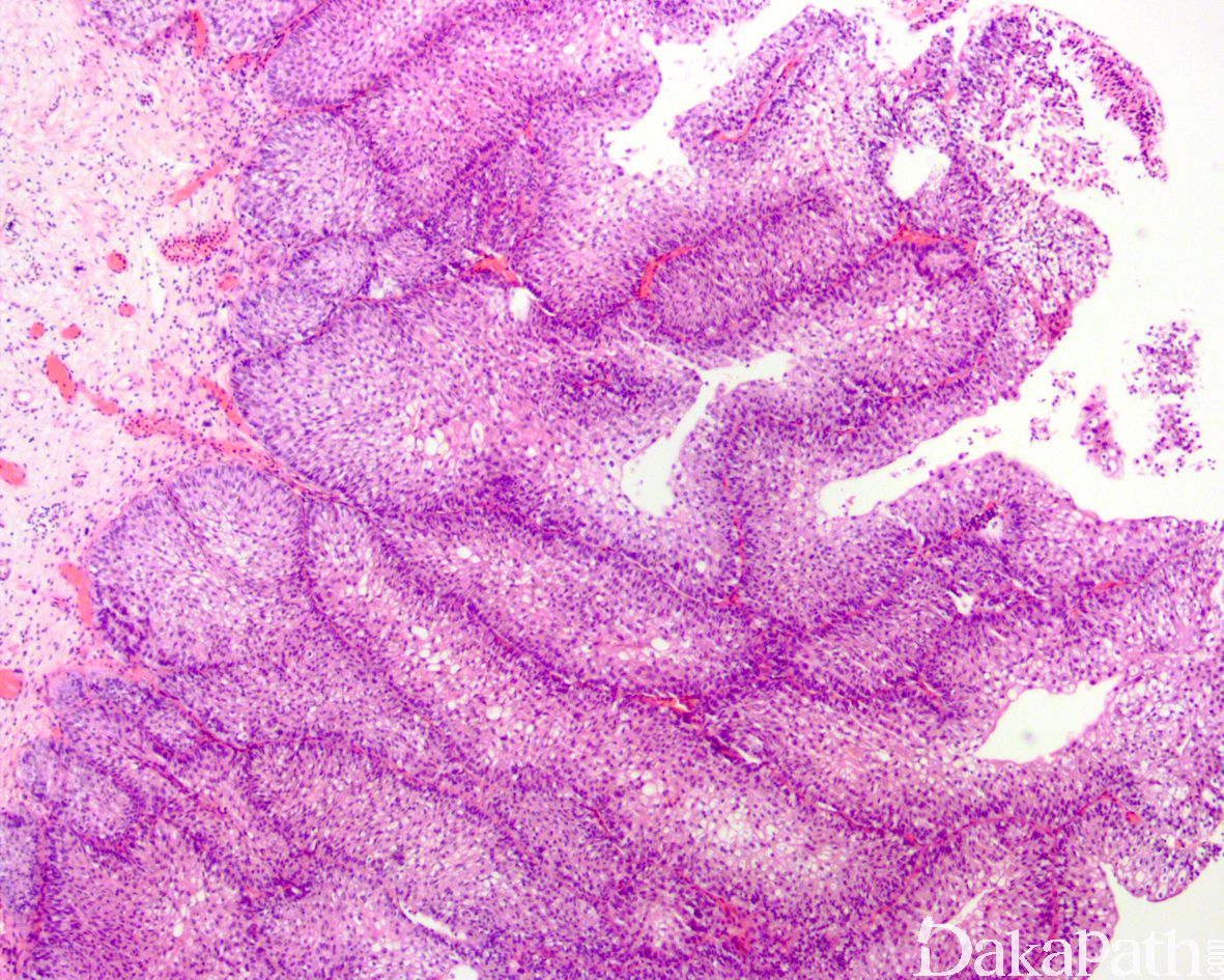
概述:
以内翻性/内生性生长为主的非浸润性乳头状尿路上皮癌
发病部位: 膀胱、输尿管、肾盂、尿道
诊断要点:
- 以内翻性/内生性生长方式为主,伴或者不伴有外生性乳头状结构,瘤细胞形态多数类似低级别尿路上皮癌,少数可为高级别;
- 尿路上皮呈分支乳头状、相互吻合的索状结构内生性生长,部分区域呈融合的膨胀性生长;
- 上皮-间质界面平滑,界面可见纤细的纤维血管轴心;
- 无间质反应及肌层浸润。

免疫组织化学染色:
表达 GATA3,P63,CK5/6 和高分子质量 CK,可表达 P53 和 CK20
分子标记:
FGFR3 突变和 TERT 突变
鉴别诊断:
低度恶性潜能内翻性乳头状瘤 :细胞无明显异型,核分裂像罕见,乳头和巢索偶见融合,无明显融合的膨胀性生长,无外生性生长的乳头。
内翻性乳头状瘤 :尿路上皮呈良性的细胞学特性,核分裂像罕见或缺乏,乳头和巢索无融合,无外生性生长的乳头。
巢状变异型尿路上皮癌:巢状结构较小且紧密排列,呈浸润性生长,无外生性乳头。
预后:
复发率接近 50%,进展率约 10%
治疗:
经尿道肿瘤切除
病例报道:
Bladder tumours in children: An interestingcasereport of TCC with a partialinverted growth pattern.
参考文献:
Jones TD,Zhang S, Lopez-Beltran A, et al. Urothelial Carcinoma With an Inverted Growth Pattern Can be Distinguished From Inverted Papilloma by Fluorescence In Situ Hybridization, Immunohistochemistry, and Morphologic Analysis. Am J Surg Pathol 2007;31:1861–1867